今日の手術はガミースマイルを治すために歯冠長延長手術でした。
患者様は、歯の形、歯ぐきの大きさを気になさっているので、歯列矯正やセットバック手術、上唇挙筋群の短縮手術はしないで、歯冠長延長術の単独療法を行いました。
カンファークリニックの歯冠長延長術は税込11万円です。追加費用は一切ございません。
前歯の歯ぐきが見える部分6本から10本くらいの範囲です。
先日、ご来院を頂いた患者様には安すぎて怪しいと言われてしまいました。
この費用には、歯槽骨整形も含んでいます。
手術後には、患者様から、「すごく!しっかりとした治療、手術をしているのだから、一般的な相場の費用にしてもらえれば、怪しくないのに、、、」とお褒めのお言葉をいただきました。
私なりには、保険も適応できないし、この費用でも申し訳ないと思っている手術費用です。
カンファークリニックの歯冠長延長術は再発しません。もしも気が変わって、もう少し大きくしたいというときも、タッチアップ費用だけで追加の処置が可能です。
本日の患者様の術前の状態です。
歯の形はそれなりに大きく、歯ぐきの形も整っているように見えます。
早速、検査をしてみます。
たくさんの歯ぐきが被っているようです。
このくらいの被さり方です。
反対側の前歯です。
こちらの歯も、もう少し大きくできそうです。
犬歯の状態も調べてみます。
再発しないためのポイント:診断をしっかりと行うこと
しっかりと診察して、問題点を抽出することが歯冠長延長術には大切です。
歯並びや噛み合わせ、歯の大きさ、歯ぐきの長さや厚み、歯周ポケットの検査が大切です。歯茎の盛り上がりも検査します。
前歯と犬歯に挟まれている2番目の歯です。
この歯も歯ぐきの形、ガミースマイルの改善にはとても大切な歯です。
反対側の歯を検査します。
再発しないためのポイント:検査をしっかりと行う。
専用の器具を使用して、歯と歯ぐきの関係、歯ぐきの厚みやポケットの深さを丁寧に審査します。必要な歯ぐきと不要な歯ぐきの見極めがポイントです。検査用の専用器具を歯と歯ぐきの間に入れて、歯ぐきの厚みや深さの検査を行います。
歯ぐきの深さや厚み、形やバランスの位置関係を確認して、専用の器具で切除予定位置のマーキング部位をピッタリと測定して、正確な切除範囲を決めます。
犬歯は歯ぐきの厚みが薄い部分と厚い部分があり、取りすぎると八重歯のようになってしまうので、細心の注意が必要です。
患者様のご希望の4番目の歯です。
知覚過敏になりやすい歯なので、切除範囲の決定には、歯ぐきの厚みや歯の形、歯の神経の走行、歯の大きさや口角が上がったときの歯の見え方などを総合的に判断します。
歯冠長延長術の範囲が決定しました。検査した歯ぐきと切除予定の範囲がピッタリと合っています。
検査が終わり、範囲が決定した時点で一度患者様にご確認を頂いています。
もう少しいっぱい取りたい‼︎
もう少し少なめ‼︎などなど、
ご希望をおっしゃってください。
ポイント:患者様のご希望に治療方法や内容を合わせる
患者様のご希望に合わせた治療を最優先にして、患者様のご希望に添える技術力があります。
遠慮なくお申し付けください。
まずは1本の歯ぐきの整形をしてみます。隣の歯と比べた違いがわかりますね。
今回の患者様は、切除治療中を怖くてみたくないとのことで、『先生におまかせ!』ご希望により、1本1本お見せして確認をしないで、すべての歯を一気に処置をしました。
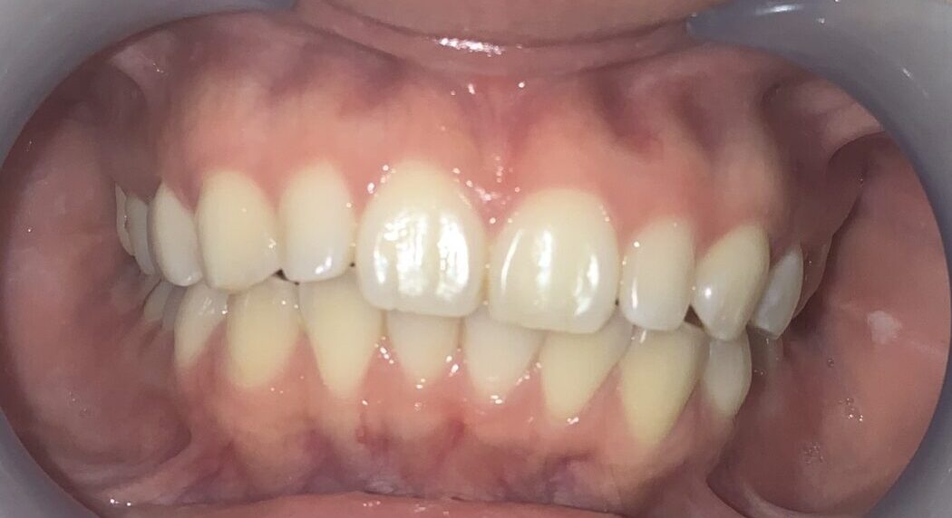
このような結果になりました。患者様は大満足をしてくださいました。
歯ぐきの形、歯の大きさ、笑ったときの歯の見え方や歯ぐきの位置、形が全て整いました。
治療のポイントを復習します。
1、局部の麻酔だけで効果が出る手術です。
歯冠長延長手術は、局部の麻酔処置でできるとても気軽な治療でありながら、絶大な効果が期待できる、画期的な治療です。
しかも体への負担や、歯への負担、歯ぐきの負担がありません。
2、健康的にも優れた状態に治すことができます。
この治療は、ガミースマイルが改善するだけでなく、歯と歯茎の解剖学的な形態やバランスが整って、歯磨きもしやすくなり、プラークコントロールがしやすく、虫歯になりにくくなり、歯石が溜まりにくくなるので、歯周病の予防としても役立ちます。
良いことが多い、メリットが多い手術です。
3、デメリットのない手術です。
歯冠長延長術はデメリットがありません。
簡単な手術なのに、歯ぐきの面積、形、色を整えることは、デメリットがない点も大きな利点です。
あえて言えば、保険適応ができないから手術費用が高い点がデメリットです。
治療する歯の本数は患者様のご希望に合わせて行っています。
注文をしてくださればアドバイスをしながら、治療方針を決めています。






























