口ごぼ -
ごぼ口セットバック手術
||| ページ内目次
ごぼ口、突き出た口元、
アゴ先の梅干し皺
口元は顔の品格を大きく左右します。
突き出てしまっている口もとはあご先が後退して見えるだけでなく、
口を閉じたときにアゴ先にしわが出来てしまいます。
また、大きな口もとは上品には見えないのが実情です。
さらに、口元が出ていると、相対的に鼻が低く見えてしまいます。いわゆる美人とは、鼻が高く目がパッチリとした顔立ちの人が多いようです。他のパーツがどれだけ美しくても、口元が出ている(横からも正面からも)とすべてを台無しにしてしまう可能性があります。
このような場合は上下のアゴを後退させて、オトガイと呼ばれるアゴ先を前に出してエステティックラインを整えます。口の中からの手術で完璧なフェイスラインを形成します。
ごぼ口セットバック手術という方法です。
出っ歯やごぼ口は、「歯」が原因の場合と「骨」が原因の場合があります。
また、一言で出っ歯やごぼ口と言っても、その原因が上の骨だけの場合と上下の骨の場合があります。
口ごぼ方法
治す方法には下記手術を行い、整った口元に改善できます。
- 歯が原因の場合は歯の治療
- 骨が原因で上の骨だけの原因の場合は、上顎分節骨切り後退術(上の手術だけ)
- 骨が原因で上下の骨が原因の場合は上下顎分節骨切り後退術(上下セットの手術)
矯正では通常1~2年がかかりますが、カンファークリニックのごぼ口セットバック手術なら、
1時間の手術で出っ歯を治すことができます。
上下顎前突(口ごぼ)について

口ごぼ、ごぼ口、上下顎前突の改善をご希望の患者様は、ご相談が初めての患者様のほか、他院にて歯列矯正治療中や歯列矯正の治療終了後、抜歯をした歯列矯正の終了後も対応をしています。
概要

上下顎前突(ごぼ口)は上顎の後退、突出、下顎の突出、後退など複合した骨格性の見た目や、かみ合わせ異常を総称しています。
そして、上下セットバック手術は顔面の非対称、上下あごの骨の形態異常、変形、咬合平面(嚙み合わせ)の不調和、上下あごの複合的な変形症の改善治療法です。
その原因には、歯が原因、歯槽骨(歯を直接支える骨)が原因、顎骨が原因のほか、口周りの筋肉の機能異常による変形、支持靭帯の異常による発育不全、あご運動機能異常による過剰発達、顎関節運動異常による変位など原因も様々であり、単なる美容外科的な手術ではありません。歯槽骨や顎骨の位置異常の場合には、見た目の改善を含め、上下あごの骨の外科的な移動術(セットバック手術)が最適な手術です。
セットバック手術では、あごの骨の位置異常の改善だけでなく、顔のパーツを含めたバランスを重視した治療計画が大切です。また、外科的な手術だけでなく、歯が原因の場合の上下顎前突(口ごぼ)に対しては、ごぼ口改善専用の顎顔面美容歯列矯正治療をおすすめしています。
口ごぼ症状は、
おひとりで悩まずに
当院へご相談ください
上下顎前歯の突出(サル顔)、歯軸傾斜(出っ歯)により、口裂の閉鎖不全(口が閉じにくい)、梅干しじわ(あごのしわ)が顔に生じていても、口腔機能としての食べる、飲み込む、会話することや、表情を作る、笑顔になる、口角を挙上する、嚥下、摂食などの日常生活に支障がない場合はたくさんあります。
しかし、多くの患者様は見た目の障害として美容的障害、審美的障害をとても気にされています。患者様の中には精神的障害を繰り返し精神科、心療内科への受診や入退院を繰り返す患者様もいらっしゃいます。精神安定剤の服用を続けたり、またPMS(月経前症候群)としての症状を併発、継発し婦人科で低用量ピルの服用をなさっている患者様もいらっしゃいます。特に女性はお顔のコンプレックスが日々のストレスとなることが多いようです。
口ごぼ症状を改善することは難しくありません。まずはご相談にご来院ください。
診断
口ごぼの診断や治療は、歯列矯正治療の延長線として行われるべき治療ではありません。
つまり、原因に対しての治療方針が大切です。手術は様々な症状に応用が利きますが、万能ではありません。外科的な手術をおこなわない方法が、患者様にとって良い治療である場合も少なくありません。
上下あごの歯並び、上下歯槽の付け根の骨、上下あごの位置関係を頭蓋顎顔面の中で、口もとを中心とした骨やあごと、皮膚や筋肉、支持靭帯、脂肪などの軟組織の配置やバランスを考えて、目、鼻、唇、オトガイ、頬部、こめかみ、おでこなどの顔のパーツとのバランスを判断、診断し、治療方針を選択することが大切です。
この際に上下の歯並びと嚙み合わせは、食べたり、かんだり、会話したり、飲み込んだり、日常生活における機能的に重要な判断要素といえます。見た目が治っても、機能面が悪化してしまった状態では、治療とは言えません。ごぼ口は、歯の不正、歯並びの不正の治療のみで改善する場合から、歯槽骨や顎骨などのセットバック手術をおこなう方がきれいに治る場合など、頭蓋顎顔面のバランスとの観点で判断することが大切です。
口ごぼセットバックは機能面を最大限に維持しながら、形態形成をおこなう手術です。機能面や整容面は患者様の状態により、様々な症状があるといえます。そこで、一般的な歯並び矯正診療のように、上下の歯並び、嚙み合わせ関係のみで判断すべきではありません。お顔全体を観察し、見た目と嚙み合わせのバランスを考えて、治療方針や手術術式を評価、判断、診断することが重要といえます。
顔貌審査の要点
口ごぼ症状の審査、診断は上下の顎のバランスが大切です。
まず、正貌(正面から見たところ)と側貌(横から見たところ、横顔)の顔面形態の特徴を把握しましょう。
正貌評価(正面からみた診察)
- 顔の形状
- 静止時での左右の対称性と可動時の左右の対称性
- 下顎可動時の顔面の形態変化、側方変位の有無
- 顎関節運動における左右の対称性
- 口唇の形状、閉鎖状況、オトガイ唇溝の有無
- 目の下の引き連れ状態、涙袋の有無
- 口角可動時と鼻翼(小鼻)の変化
- 笑った時のほうれい線の有無
- 口腔周囲筋の緊張状態
側貌評価(横顔の診察)
- 前頭部、鼻根、鼻尖、上下口唇、オトガイ最突出に至る側面形態
- 頭蓋に対するオトガイ(メントン)のバランス
- 下顎角の開大、大きさ、角度
- E-Line
上顎の審査
上の前歯の表側(唇側)とANS(前鼻棘)の位置関係がとても重要です。
上顎骨の改善治療には、上顎前突、骨格性出っ歯、二級咬合、上下のかみ合わせ、歯の軸傾斜、3級咬合、上下歯軸傾斜の角度、一級咬合、鼻腔底基部、ナジオン、ポゴニオン間の距離、角度、E-line(イーライン)、Aesthetic lineの審査を行います。
ワンポイントアドバイス
「鼻と顎を結ぶEラインについて」
Eラインは鼻とあごを結ぶラインのことで、横顔のバランスを診察する1つの分析方法です。Eラインが直線で、アジア人の場合はEライン上に上下の唇があることが理想とされています。
また、美人顔の条件ともいわれています。上あごと下あごの骨が原因の場合には、上下セットバック手術を適応することにより、骨格性口ごぼの改善をおこない、口もと前突症状を改善することでお口もと、くちびるの形が整います。口もとの形態が整うと、顔面形態のバランスが整います。
目元、鼻、口もと、あごが組み合わさり、バランスのよい美しいお顔、お口もとを目指すことができます。当院では、上顎手術としてLeFort型骨切り手術、上顎歯槽骨分節骨切り後退手術、下あご手術として、SSRO,IVRO,下顎歯槽骨分節骨切り後退手術を組み合わせています。その他に患者様の症状やご希望に応じて、鼻尖形成術・耳介軟骨移植・鼻中隔延長、オトガイ形成、Vライン形成など、鼻と顎と口もとのバランスに配慮した施術を行っています。
口ごぼの症状は患者様本人が気になっていない状態でも、頭蓋顎顔面の位置や全体のバランスの評価をすると、セットバック手術を適応することで格段に見た目が改善されたり、機能的な面で嚙み合わせが良くなり、お食事が良く消化されて、痩身効果が表れる場合もあります。逆にごぼ口を本人が気になっていても、見た目のバランスの観点では、現状が最適な場合もあります。しかしこのような場合でも、各種分析、顎機能、筋機能の数値的、画像的な判断だけに頼らず、患者様本人の希望に応じた治療方法を検討していますから、安心してご来院ください。
また、手術のみをおすすめすることなく、外科的な手術をおこなわないで、口ごぼ症状を改善する、ニューヨークスタイルマウスピース顎顔面矯正をおこなっています。
評価方法と治療提案について

歯並びの前後的な位置関係を判断する際に、顔の中で嚙み合わせの面(咬合平面)、目の大きさや左右の傾きとの関係、涙袋の有無、目の大きさや鼻の大きさ、口もとの大きさなど、大きさとしてのバランス、鼻柱、鼻尖と中切歯(前歯)、側切歯(前歯の横の歯)の歯の先端位置や傾きと前鼻棘との位置関係、唇との調和は、とても大切であり、判断基準としています。
顔のバランスの観点では、口ごぼの治療計画の立案には、分析だけでなく、患者様の希望を含めた総合的な評価、診断がとても大切であると考えています。
評価には前述したように、軟組織レベルの評価として、顔面の各パーツとのバランス。支持靭帯、筋組織、脂肪組織、皮膚組織などの各種組織の評価。硬組織評価としては、骨格的な部位、程度、位置関係、頭蓋顔面骨とのバランス。また、機能評価の一面には歯の配列、咬合機能、歯列弓の相対的な位置関係、顎機能、顎関節機能、筋機能評価をおこなっています。
頭部エックス線規格写真(セファログラム)評価としては、イーライン(E-Line)で有名なドクターRickettsのRicketts法や、Sassouni法、Downs法、Steiner法、Wylie法、Tweed法、Bjork法、Northwestern法、Roth-Jarabacck法が有名です。Sassouniの側貌弧線分析は、頭蓋に対する上下顎骨の位置関係の評価が可能であり、口ごぼ改善を希望する患者様の中顔面における側貌評価法として有益です。頭蓋底平面を基準点として歯槽性、骨格性の位置関係を判断できます。
Ricketts法に代表されるFrankfort horizontal plane(FH平面)または、S-N planeを基準平面とした分析方法は、ごぼ口症状の患者様に対して、骨格性の中顔面、下顔面の評価に応用できます。さらに歯並びや嚙み合わせの評価にも応用、併用できます。しかし、これらの評価方法はあくまで骨レベルの評価、判断であって、軟組織レベルの評価(見た目)や機能面の評価は手薄になります。ここで大切なことは患者様のご希望に沿った治療方針を考える共感力や分析力が担当ドクターに備わっていることが大切です。カンファークリニックでは、担当ドクターの手術経験を最大限に活かし、患者様のご希望に沿う治療方針を真摯に提案しています。
ワンポイントアドバイス
「上下顎前突治療・
口ごぼセットバック手術の考え方」
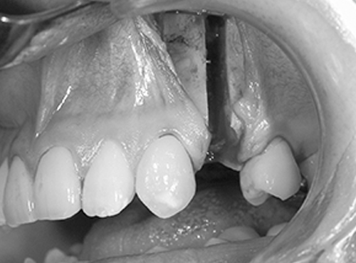
ごぼ口の改善を希望される患者様は、口ごぼ、ごぼ口、梅干ししわなどの口もとの突出と、口腔容積の拡大、いわゆる口が大きい顔貌が特徴です。
口ごぼの要因には、骨格性の原因と歯槽性の原因があります。骨格性の原因の場合、上下顎の骨が両方ともに頭蓋や鼻、顎先、オトガイに対して、前後的な関係では前方に位置し、口の大きさについては、口腔容積が大きく、顔面のバランス、上顎骨、下顎骨の幅が大きくなります(サル顔)。歯槽性が主たる原因の場合、上下前歯が前に飛び出していて(唇側傾斜)、歯を支える歯槽骨が前鼻棘に対して前方突出をしていて、上下または頭の大きさや顔の大きさと顎骨の大きさの不調和が認められます。
歯と歯槽基底の大きさ、歯槽基底と顎骨の大きさの不調和、バランスの崩れが、乱杭歯、歯並び不整や、下あごの歯による上あごの歯の突き上げ症状があります。前歯群の前方突出、フレアアウト、舌あるいは口唇周囲筋の過緊張や筋機能の不調和が上下前歯の唇側傾斜(出っ歯症状)を継発することもあります。
また、奥歯の歯根膜被圧変位量の低下が咬合高径(かみ合わせの高さ)の低下を招き、上記のような下顎の歯が上顎の歯を突き上げて、口ごぼの症状を起こすなど、原因も様々です。上下顎前突症例では、舌圧や口唇圧など口腔周囲筋の影響を受けるため、手術後の再発を導かないような治療方針の決定をおこなっています。上下顎前突、口ごぼ治療は原則的に前歯、歯槽骨、顎骨を後ろに下げて、横顔の改善を主体とした治療方針をとっています。
根本的な原因がある場合には、患者様の症状に応じて、ご説明をしております。まずは原因がわかるだけでも落ち着きます。治療方法がわかるだけでも、安心する場合も多くございます。安心してご来院ください。
評価基準と治療計画について
- 審美、美容、整容、見た目の評価
- 硬組織、骨格的な評価
- 歯の配列、歯軸傾斜、咬合、かみ合わせなどの歯の評価
- 顎運動機能、顎関節運動、咬合力などの機能的評価
- 先天的、後天的発育異常、症候性疾患、奇形、破格などの疫学的な評価
これらの評価に、患者様の希望を最大限に生かし、しかも、ローコスト、ハイパフォーマンスが得られるような手術術式の選択が大切です。
各評価について

審美、美容、整容、見た目の評価
特に審美、美容、整容、見た目改善の評価は、口腔顎顔面の知識や技術、経験を形成外科的、美容外科的、整形外科的、口腔顎顔面外科的に統合的に把握し、顔面全体、鼻、目、アゴ、頬、おでこなどの顔面の各パーツとのバランスを考慮することが不可欠です。
この評価は正常、異常を把握するためではなく、患者様の個性や特徴を把握し、個性や特徴を生かしながら、患者様の希望する形態とかみ合わせに改善する治療方法を検討する際に役立ちます。
患者様の個性や特徴を把握することで、手術結果を自然にナチュラルに導くことが出来ます。そして、患者様のご希望に沿った、満足度の高い治療結果となります。
硬組織の評価
硬組織評価である骨格的な評価には、骨自体の異常、骨の位置の異常、異常のタイプ、異常の程度を評価しています。評価対象となる顎骨の部位、変形の程度を把握することは、確実に改善できる術式を選択するために大切なことです。
診察や診断を適切に行わなければ、目的とした改善をおこなう手術ができません。適切に治療方法を選択しなければ、余計な手術をおこなったり、治療期間が長くなったりします。変形や突出の程度が重度の場合や、手術による弊害を少なくするためには、安易に簡便な方法を選択すべきではありません。
歯の配列、歯軸傾斜(歯の傾き)、咬合、かみ合わせの評価は、ごぼ口改善の手術後に再発や後戻りを防止する観点でも重要です。歯の配列や咬合接触(かみ合せの当り方)は術後の長期的な噛み合わせの安定と顔貌の後戻り防止につながります。
この意味でも口ごぼ症状の患者様に対するセットバック手術においては、術前のかみ合わせを評価し、患者様の状態に応じて必要であれば術後の歯列矯正をお勧めしており、一律に患者様全員が手術前の歯列矯正や手術後の歯列矯正を受ける必要がないよう、患者様の個人差や特徴に応じた治療プランの作成、アドバイスをおこなっています。
機能的な評価
顎運動機能、顎関節運動、咬合力などの機能的評価は、顎関節運動と歯や歯列の咬合接触関係、いわゆるかみ合わせ機能、咬合力である噛む力を評価しています。
下顎枝垂直分割手術や下顎枝矢状分割手術では、術前術後の顎関節運動が変化します。顎関節症を継発しないためにも、また手術によって改善が見込まれる症状の患者様には手術術式の選択や、下顎頭の位置変化、関節窩の症状を把握し、ご説明しています。
ドクターの経験値と
患者様のご希望結果との
すり合わせ評価
ごぼ口の患者様は一人として同じ症状の患者様はいません。患者様それぞれのお悩みがあり、症状があり、状態があります。ですので、クリニックやドクターの判断、審査、診断、処置方針、そしてセンスによって、仕上がりや結果が大きく異なると言えます。
例えば、骨格の異常が下顎骨のみにみられる受け口、反対咬合の状態や、骨格性出っ歯の状態である上顎前突に比べて、上下顎複合変形症である口ごぼの患者様は、術前の審査診断だけでなく、手術中の進行や方法や管理も複雑になります。
この点の評価としてはSassouni分析、Ricketts分析による横顔、正面から見た顔の評価、Ritucci Burstonの軸位分析は有益であると言われています。
3方向、3次元分析に加え、静止時と可動時の評価も重要です。動いた時の評価は一般的に用いられる、線分析や角度分析、軸位分析では評価不能であり、カウンセリング時の表情や顔面パーツの動きに着目した術者の判断も大切な評価であると言えます。頭蓋の位置と上下顎骨体、上下顎歯槽骨、上下顎歯を立体的に把握し、不正咬合の有無、口蓋平面、咬合平面、下顎下縁平面の傾斜、歯の角度異常やSpeeの湾曲の評価も同時におこなっています。
ごぼ口に対する術式選択

上顎骨に対する手術術式
1. Le Fort型骨切り術
(Ⅰ、Ⅱ、Ⅲ型)
2. 歯槽部骨切り術
①上顎前方歯槽部骨切り術(Wassmund法、Wundller法、Bell法など)
②上顎後方歯槽部骨切り術(Schuchardt法)
③前上顎歯槽部骨切り術
下顎骨に対する手術術式
1. 下顎体:Dingman法及びその変法
2. 下顎枝:下顎枝矢状分割骨切り術SSRO
(Obwegeser法、
Obwegeser-Dal pont法、ObwegeserⅡ法、Parallel法、
逆L字型骨切り術)、下顎枝垂直分割骨切り術IVRO
3. 歯槽部骨切り術:下顎前方歯槽部骨切り術(Kole法)
ワンポイントアドバイス
ごぼ口症状は上の歯、上の顎。下の歯、下の顎の両方に原因があります。下あごの手術のみまたは、上あごの手術のみでは患者様の満足の得られる結果に導く状態は少ないようです。
口ごぼを目立たなくするために美容外科では、お鼻の手術を鼻尖形成や鼻翼縮小手術、お鼻にL字型のシリコンプロテーゼを使用して美容整形手術をおこない、顎にシリコンプロテーゼを使用して、ボリュームを増やすような姑息的な方法により、あたかも口もとが目立たなくなるような術式選択がなされる場合があります。
しかし、このような簡易的な方法は、短いダウンタイムや手術費用の面、手術侵襲の面でメリットがあるといえますが、根本的な治療、永久的な治療として顔の見た目の変化を及ぼすには限界があり、特に小顔を希望される患者様にとっては、逆効果、満足が得られない場合も多くあります。
口ごぼ症状の正面から見た場合の診察項目として、上顎面と下顎面の幅、歯列弓の幅、左右の対称性、上あごの骨、上あごの歯、下あごの歯、下あごの骨の平行性も大切です。軸位分析では、頭蓋骨に対する軸面での評価や位置決定も大切な評価基準と言われています。
口ごぼセットバック手術においては、下あごや下あごの歯の位置は、手術中に移動した上あごの骨、歯列、歯の角度により決定することになります。
つまり、上あご、上の歯、上の歯の歯並びの手術中の位置決定は、口ごぼセットバックを成功に導くために、非常に重要です。
上下顎前突手術について

患者様の主訴は唇が閉じない(上下口唇閉鎖不全)、出っ歯(前歯の突出)梅干ししわ(オトガイ筋過剰緊張)口もとの突出(上下顎前突)や一般的な通称、俗称として口ごぼ、ごぼ口、出っ歯を気にされてご来院されます。
カンファークリニックでは、担当ドクターの2022年までの相談件数は10,000件以上の相談実績があります。
ドクターの経験をもとに丁寧な診察を心がけています。上顎体、下顎体の前後的な位置の異常が強くない場合は、歯槽骨領域の位置の修正をおこなうことで、完璧と言えるほどの手術結果を導くことが出来ます。
口ごぼ症状に対しては、多くの患者様が出っ歯の改善として受診され、一般的には小臼歯の抜歯を併用した歯列矯正治療をおこなわれることも多いですが、患者様の手術に対する不安や抵抗感を考えると手術を第一選択にしない治療は、当然と言えるかもしれません。
また、矯正歯科治療を担当する医師の知識や技術、経験を考えると、セットバック手術はほとんどの矯正歯科医師にとって、治療した経験はなく、手術を見学したこともない治療方法と言えますから、患者様に勧めようがないと言えます。そこで矯正歯科医師が提案する治療方法として抜歯を併用した歯列矯正治療を勧められるわけですが、治療によって得られる顔の変化はわずかです。患者様の満足が得られる治療結果にならないことが多いことも現実と言えます。
当院にも他院にて行っている歯列矯正の治療中や歯列矯正の治療後の患者様に数多くご来院を頂いております。カンファークリニックでは、患者様のご希望である結果を導くためには、歯列矯正治療が良いのか、外科的矯正治療としての輪郭手術、セットバック手術が良いのか、または、セットバック手術と歯列矯正治療の併用が良いのか、患者様のご希望に真摯に耳を傾け、治療方針の選択をおこなっています。
ごぼ口に対する治療戦略
「3つのパターン」
1. 歯列矯正単独療法
2. セットバック手術単独療法
3. 歯列矯正、
セットバック手術併用療法
併用療法の場合
A. 術前術後の歯列矯正併用療法
B. 術前のみ歯列矯正併用療法
C. 術後のみ歯列矯正併用療法
セットバック手術に歯列矯正を併用する場合でも、矯正装置を装着しない、マウスピース型矯正をおこなっていますから、日常生活で不自由を感じることはありません。
また、併用をお勧めする場合でも、まずは手術だけ受けてみたいという患者様のご希望にも対応しております。手術だけ受けてから、手術後に歯列矯正をおこなうか決めることができます。さらに、手術後の歯列矯正が必要ない患者様でもご自身の意思で歯列矯正を始めて頂くこともできます。
これは手術結果にご満足されるとさらなる美しさを求めてくださっている1つの証であると思います。
手術後におこなう歯列矯正治療は、手術後1か月後から開始することが出来ます。
また、手術後矯正治療の平均治療期間は10か月です。
上下顎の手術について

上下顎の手術は単に上顎を後ろに下げて、下顎も後ろに下げるだけではなく、歯の位置や角度、顎運動、筋機能、顎関節運動評価、正面像(正貌)、横顔(側貌)における歯槽骨、顎骨を顔全体のバランスに適合させることが重要といえます。
そして手術後の咬合状態やかみ合わせも重要です。
口もとは上下の顎の位置と歯の位置によって顔の中でバランスをとっています。
上顎は頭の骨や鼻の骨、頬骨とつながっていて、立体的な構造しています。顔の中で上あごの位置は、下あごの動き、あご関節の動きに影響を及ぼします。そして、食べる、飲み込む、会話するなどの動作をおこないます。骨と関節だけでなく、筋肉や支持靭帯も一緒に動きます。正面から見た場合と、横から見た場合のバランスを大切にしながら、上下のあごを機能面と美容面を総合的に判断することが大切です。
ワンポイントアドバイス「顔面の
パーツを整えるための基礎工事」
上下のあごは顔の中心にある屋台骨です。
ご自身の顔に自信がなく、鼻や目の美容整形をしてからご相談にいらっしゃる患者様がいらっしゃいますが、まずは屋台骨を整えた上で、二重や小鼻、鼻柱、鼻尖、くちびる形態や顎先の形態などのバランスを整えることをお勧めしています。
口ごぼセットバック手術は、顔面のパーツを整えるための「基礎工事」的な手術といえます。
おでこ、みけん、鼻先、小鼻、くちびる、上あご、下あご、あご先など周囲と調和をとるために最初におこなうべき手術です。
ごぼ口に対するあごの手術について
ごぼ口に原因がある口もとの突出は、口もとだけが目立つのではなく「お鼻、額、顎」のバランスを悪くします。口ごぼ改善手術の場合、上下のあごの手術を同時におこなっています。
まず、口ごぼ改善のための上あごの手術は、上の前歯の表面の位置とANS(前鼻棘)の位置関係を手術中に改善することが重要です。さらに患者様の状態やご希望によって歯の傾き、鼻柱の長さや位置、鼻翼の広がりなどを同時に改善する場合もあります。
美容整形的な結果を望まない患者様には、梨状孔外縁と前鼻棘を動かさないように工夫することにより、不自然なお鼻の形態になることを防ぐ工夫をしています。また、移動する骨の分割を併用することで、歯の傾きの改善を図り、骨の部分ばかりではなく、歯の部分の出っ歯も改善しています。
手術中は上あごの骨、歯槽骨、歯の傾斜を改善した位置に、下あごの骨、歯槽骨、歯並びを合わせ、かみ合わせを決めます。
ごぼ口に対する
下あごの手術について
適正に決定した上の前歯の表面の位置とANS(前鼻棘)の位置に合わせて、下の歯、歯の傾き、かみ合わせと、見た目のバランスを決めます。そして、あご先として、見た目のバランスのポイントであるメントンやポゴニオンの位置、オトガイ唇溝の形成をおこなうことで自然なあごの形成、下あご、下の歯並びに合わせた自然な唇の形態に整えることが出来ます。
また、ごぼ口の改善は上下あごが原因の場合が多いのですが、下あごの前後的な位置は正常で、上下的位置が異常な場合もあります。例えば、上の歯、歯並び、歯列と、かみ合わせの平面に対して、下の歯が上の歯を突き上げている場合です。
このような場合は、上あごは後ろに下げた後にSpeeの湾曲を改善するために、下あごを下に下げる手術をおこないます。少し難しいですが、このような症状がる患者様にはご説明をしておりますので、安心してご来院ください。
ごぼ口の症状は個人差が多く、たくさんの治療方法の中から、組み合わせて選択しています。
手術では、上下の顎の骨を前や後に動かすことにより、口もとのバランスを整えることができます。特に上あごを動かす場合には、お鼻の変形をしないように工夫し、下あごを動かす場合は、オトガイ唇溝を形成し自然なお顔立ちになる手術をおこなっています。
ワンポイントアドバイス
「上あごと額、鼻、口元、
顎先のバランスを改善」
口ごぼの治療は、歯が原因、歯を直接支える骨が原因、上アゴの骨の位置が原因、そして嚙み合わせが原因の場合があります。原因に対する治療方法、手術方法を選択することがとても大切です。
前述したように、口ごぼ症状の原因が嚙み合わせの場合があります。奥歯のかみ合わせが低い場合は、下の前歯が上の前歯を突き上げてしまい、口もとが突出してしまいます。
上あごの歯のみを考えるのではなく、上あごと額、鼻、口元、顎先のバランスを改善することが重要です。
口ごぼ改善のための
手術の組み合わせ

上顎の手術
1. Le Fort(ルフォー)型骨切り
2. 上顎歯槽骨分節骨切り手術
(Wassmund法 Wunderer法 Bell法)
下顎の手術
・ 下顎枝矢状骨切り分割法(SSRO)
・ 下顎枝垂直骨切り分割法(IVRO)
・ 下顎骨歯槽骨骨切り術、Kole法
上顎の手術について
上顎の手術は出っ歯の改善、受け口をおこなうことができます。出っ歯はお鼻、額、顎のバランスを悪くします。受け口は通常、下顎が原因の場合が多いのですが、下顎の位置は正常で、額、お鼻、顎のバランスが良い場合は、上顎の位置が後ろにある場合があり、このような場合は上顎を前に出す手術をおこないます。
上顎を前方、後方に動かすことにより、お顔全体のバランスを整えることができます。 特に上顎を前方に動かす場合には、お鼻の変形をしないように、鼻中隔延長や鼻尖形成を適応しています。
出っ歯の治療は、歯が原因、歯槽骨が原因、上顎骨が原因、嚙み合わせが原因の場合があります。原因に対する治療方法、手術方法を選択することがとても重要です。嚙み合わせと出っ歯は無関係のように思いますが、奥歯のかみ合わせが低い場合は、顎関節の動きは、下顎の関節頭が回転し、下の前歯が上の前歯を突き上げ、上の前歯が外に飛び出します(フレアアウト)
上顎のみを考えるのではなく、額~鼻~口元~顎先までのバランスをみて、術前に頭部エックス線規格レントゲン(セファログラム)分析CBCTによる精査、光学模型、咬合模型を基に診断、デサインを行ない詳細な治療方針を立てます。
上下顎同時手術について
カンファークリニックでは、安全に後ろに下げる移動範囲を決定して、手術中のお鼻の粘膜、ふく鼻腔粘膜、じょうがくどう粘膜、歯の裏側の粘膜、口蓋の動脈、くちびるの動脈、上下顎の神経損傷や手術後の神経麻痺を起こさないように、万全な準備をして安全な手術をおこなっています。
後方移動量は20mm以上の後方への移動が可能です。
分節骨切り手術は後方移動のための移動スペースとしての隙間が必要なため、第一小臼歯または第二小臼歯(歯が抜けていたり、虫歯やかぶせ物の歯、状態が悪い歯がある場合はその歯を抜歯します)の抜歯と、歯を支える歯槽部の歯槽骨切除が必要です。
上顎左右第1小臼歯と歯槽骨を切除して、後方に移動するための骨の隙間を作ります。出来たすき間を利用して前歯6本がくっついている骨をひと塊として後方に移動させ、PLLA吸収性プレート、骨折用ステンレスワイヤー、チタンプレートで固定します。位置決めで大切にしている点は、鼻柱の高さや角度、鼻翼形態(小鼻の広がり)歯の傾き(歯軸傾斜)、後方移動量、ほうれい線の有無、くちびるの形、下の歯の傾き(歯軸傾斜)、咬合関係(噛み合わせ)、前歯である、下顎中切歯、側切歯、犬歯(特に犬歯が横方向へ動いあ場合の当たり方(側方干渉)です。
下あご後退手術と上あご後退の
同時手術の選択基準
- あごと嚙み合わせ機能、顔の見た目から判断します。(しっかり噛めて美しいこと)
- 顎関節症状の患者には、嚙み合わせと関節の動きを両立できる術式を選んでいます。
- 下あごの手術と上あごの手術を同時におこないます。
- 顔と口もと、あごの左右差や非対称を改善します。
- 上下の嚙み合わせの平衡性を改善します。
- 上下の歯の傾斜角度を改善します。
- 副鼻腔炎の存在する患者様や蓄膿症の患者様にも安心して手術を受けて頂けます。
ワンポイントアドバイス「歯列矯正
と口ごぼセットバック手術の違い」
通常の歯列矯正と比較されることが多い治療方法、術式ですが、全く異なる治療法であり、治療結果も全く異なります。そもそも、治療目的やコンセプトが全く異なります。
まず第一に、抜歯です。歯列矯正治療のためにおこなう抜歯とセットバック手術の際におこなう抜歯は異なります。歯列矯正の際におこなわれる抜歯は、歯を並べる際に必要なすき間を作るためにおこなわれる抜歯です。つまり歯の並びのための抜歯であり、骨の隙間はできませんから、後方に移動することはできません。
したがって、骨ごと後ろに下げることを望まれる患者様には歯列矯正治療は適応ではありません。近年は、歯列矯正治療においては体侵襲が少なくなるよう抜歯を回避する方法として、歯と歯の隙間を創る方法があります。この方法であれば、抜歯をしなくて治療がおこなえます。この方法は、髪の毛くらいの0,1mmほどの細い切削器具を使用して歯と歯の間に目に見えないほどの隙間を作ります。隣接歯間削合IPR(Inter Proximal Reduction)をおこない、抜歯を回避することが可能です。
しかしその反面として、後方に移動する量はわずかになります。歯並びは治りますが、口もとが引っ込むことはありません。しかし、患者様の症状やご希望によって、歯並び治療の範囲であれば抜歯をしないで歯並び治療ができるようになりました。とても良いことですね。tこれに比較して、上下あご歯槽骨分節骨切り後退術、いわゆるセットバック手術でおこなう抜歯は、骨を後ろに移動させて顔の雰囲気を自然に戻すために必要なスペース確保のための抜歯です。歯を抜くことではなく、歯槽部分の歯槽骨を切除するため歯がなくなるのです。
この違いを患者にはわかりにくいと思いますが、矯正歯科医師、矯正歯科専門医ですら、矯正歯科治療における抜歯と、上下あご歯槽骨分節骨切り後退術(セットバック手術)による抜歯を混同しているため、この違いを患者様に説明することが出来ず、患者様が混乱、誤解をするのです。歯列矯正治療でおこなえる治療前後の変化は顔、見た目の変化ではなく、歯並びです。歯並びも見た目の1つですが、口ごぼ患者様の多くが望まれる顔の変化には程遠い治療結果となります。しかも歯列矯正治療の場合、抜歯によって、歯軸傾斜(歯の傾き)がなくなり、笑った時に見える歯並びのバランスが悪くなる場合やガミースマイル症状が悪化する場合もあります。
さらに顔の見た目の変化が生じたとしてもそれは所詮、歯並び治療によってたまたま生じた副産物でしかありません。歯列矯正治療はとても良い治療方法ですが、患者様の症状や状態、ご希望に応じた治療方法を提案し、患者様自身も選択肢の中から自己決定する時代であると思います。歯並び治療で改善できる症状と、セットバック手術で改善できる症状は違います。
カンファークリニックでは、症状、状態、ご希望に応じた治療方法を提案しています。
口ごぼ患者に対する
歯並び矯正のメリット、デメリット
「りんかくや美容、見た目改善に
歯列矯正が不向きな理由」
口ごぼ症状の改善に対する歯列矯正治療は、上下の嚙み合わせ(咬合関係)の改善、かみ合わせの高さ(咬合高径)の改善、歯列(歯並び)、歯列弓、歯の軸方向(傾き)の改善など、歯の問題点を改善するためには最適な治療法です。
通常、歯列矯正治療の場合、口ごぼ症状を改善しようとするには2年ほどの治療期間が必要です。
しかし、歯列矯正でおこなうことができる口ごぼ症状の改善は、ごく一部の患者様の状態に限られています。治療期間も長く、適応症も少ないと言えます。
判断基準には下顎前歯の歯軸傾斜と上顎前歯の歯軸傾斜、歯列弓形態、歯槽骨の厚み、臼歯部の咬合関係などがあります。また、歯列矯正だけでは外見上の改善(見た目の改善)には限界があります。歯列矯正は歯列の改善のためにおこなう治療方法であり、あごの骨や歯を支えるあごの骨は変化しません。つまり患者様の希望するごぼ口顔の改善はできません。
また、歯列矯正では、上唇と鼻柱の膨らみやこんもり人中。下の唇にできるオトガイ唇溝(下口唇の下のくぼみ)の形成はできません。人中はこんもりしたまま、上の歯の先っぽだけが内側に移動し、下あごは出たまま、下くちびるは突出した状態が残ります。歯列を治したいのか、見た目、骨格を治したいのかを検討する必要があります。
Column「ごぼ口改善のための治療方法」 |
|---|
日本人を含めたアジア人の場合、ごぼ口改善のためには、上のあごだけでなく、上下のあごを後方に移動することが必要な場合が多くあります。口唇口蓋裂(三ツ口)などの先天性奇形疾患の患者様は、上のあごだけの手術で改善できる場合もありますが、特殊な場合と言えます。美容目的、整容目的の患者様の手術術式とは異なります。 |
ごぼ口セットバック手術について

ごぼ口セットバック手術は120分ですべての治療が終了する入院不要の日帰り手術です。
- 最新式の吸収糸を使用しているため抜糸が不要
- 顎間固定が不要だから、手術当日から食事が可能
- 顔に傷が全く残らない最先端の手術術式を採用
本手術法のメリット
- 応用範囲が広い
- ダウンタイムが短い
- 手術操作が簡単
- 結果が確実に得られる
- 手術の組み合わせが豊富
- 患者様の状態に応じた組み合わせができる
- 歯や軟組織の損傷がない
適応患者様の一例
- 上下顎前突症状(出っ歯、ごぼ口)に対する後方移動
- 上あごの歯並びに対する歯並び幅の拡大
- 上の歯の傾きや唇との位置間関係の改善
- しゃくれ、受け口の症状を伴う、口ごぼ状態の改善
- 噛み合わせの改善
- 梅干ししわの改善
- あごの形成、改善
- 小顔にしたい
- 左右非対称の患者様に対する左右差の改善
- 上あごが突出、下あごが突出している症状を後ろに下げる(原則)
- 涙袋がない
手術のポイント
骨格性口ごぼ症状に対して口ごぼ改善手術として、セットバック手術、ニューヨークスタイルあご顔矯正をおこないます。手術をする方法と手術をしない方法、手術をする方法と手術をしない方法の組み合わせ治療によって顔のバランスを整えて、よりよい美しいお顔、お口もとを目指しています。
カンファークリニックでは、上あごの手術としてLeFort型骨切り手術、上顎歯槽骨分節骨切り手術、下あごの手術として、SSRO,IVRO,下顎歯槽骨分節骨切り手術を組み合わせます。その他に鼻尖形成術・耳介軟骨移植・鼻中隔延長、オトガイ形成、Vライン形成など、鼻と顎と口もとのバランスに配慮した施術を行っています。
顔の形には個人差があり、目、鼻、顎とバランスの取れる口もとを目指しています。
手術方法はたくさんの経験を積んだ医師と一緒にカウンセリングの時に検討しています。
ごぼ口セットバック手術の概要
| 施術 時間 |
約120分 |
|---|---|
| 治療 期間 |
日帰り可能な手術です。 |
| 麻酔 | 静脈内鎮静法または全身麻酔 |
| 腫れ 具合 |
★★★☆☆ |
| ダウン タイム |
マスクで隠れる範囲ですが、大まかな腫れや内出血が引いてくるには1〜2週間程度です。 骨と骨が接合するまでは下あごが3ヶ月。上あごが6ヶ月程度です。 ※いずれも個人差があります。 |
| 抜糸 | 溶ける糸を使用するため抜糸不要です。 |
料金(税抜)
上顎下顎分節骨切り 2,200,000円
上顎分節下顎骨体骨切り 2,800,000円
上顎下顎骨体骨切り 4,200,000円
上顎骨体下顎分節骨切り 3,200,000円
ごぼ口セットバック手術の
メリット・デメリット
| メリット | ① 手術が短時間で終了(120分)する。 ② 入院の必要がない ③ 奥歯の状態は変化しないため、手術直後より食事が出来る。 |
|---|---|
| デメリット | ① 奥歯のかみ合わせが、矯正歯科学的な基準咬合に変化しない。 ② 骨を後ろに下げるための骨と骨のすき間を作るために、抜歯が必要。 ③ 歯の角度と骨の角度の調節が難しい。 |
ごぼ口セットバック手術のPOINT
矯正では通常1~2年がかかりますが、ごぼ口セットバックは、120分で理想的なE-Lineと同時に良好な咬合が得られます。噛み合わせと見た目の両方を同時に治すことがでる施術です。
横顔は、額~鼻~口元~顎先にかけてのバランスが大切です。理想的な横顔を表す審美三角を基に、お1人お1人に合わせて診断、デザインをしています。
当院独自のダブルスプリント法により、上下の後方移動量を変化させることが可能ですから、理想的なE-Lineが得られます。術前にはセファログラム分析(頭部X線規格写。真)、歯列模型による詳細な治療方針を立てています。
ごぼ口の患者様は、下顎も出ていたり、前歯どうしのかみ合わせが合っていないことも見受けられます。また、顎(あご)の長さも同時に気になられる方も多いようです。
その場合にはアゴの長さを同時に短くする手術も可能です。
本手術術式の最大のメリットは、上下の歯をワイヤーで固定する「顎間固定」の必要はありません。日帰り手術のため、入院は不要です。
翌日より通常のお食事が召し上がれます。
口の中からの施術ですので、傷が全く顔に残らない画期的な手術方法です。
ごぼ口セットバック手術が
おすすめの方
- 口が閉じにくい
- 口ごぼを治したい、口元を引っ込めたい
- 口もとがとがっている
- 出っ歯を治したい
- 歯がいつも見えている
- 前歯のかみ合わせが悪い、前歯がかみ合っていない
- 前歯でラーメンやおうどん、おそばが噛み切れない
- 矯正歯科治療では治らなかった
- 口呼吸を治したい
- 上品な口元にしたい
- 涙袋がない
- 短期間で治したい
- 骨格性出っ歯
- 骨格性Ⅰ級咬合
- 鼻柱を高くしたい、鼻が低い
- 鼻と人中とバランスを取りたい
- 顔に立体感をだしたい
- 梅干ししわがある
- 人中がこんもりしている
ごぼ口セットバック手術
治療の流れ

上下口ごぼセットバック手術は、上あごの手術方法と下あごの手術方法を患者様の状態や症状、ご希望に応じて組み合わせておこなっております。ここでは、もっとも組み合わせの多い上下セットバック手術を一例としてご説明を致します。
手術は上の顎から開始します。
ごぼ口セットバック ... 上顎の手術
1. デザインを行います
口ごぼセットバックデザインは、モデルサージェリー、CBCT(コンビームCT)による診断、光造形光学模型によるシミュレーション手術をおこなっています。
移動する骨の範囲や移動によって変化するお顔立ち、咬み合わせの判断とデザインをおこないます。筋肉や靭帯、神経や血管の走行を確認し、傷をつけない様に事前に把握をする作業です。
2. 全身麻酔と局部麻酔を
併用して行います
全身麻酔、または、静脈内鎮静法と局部の麻酔を併用します。
全身麻酔は、無意識の状態になって頂くためです。局部の麻酔は、血管の損傷を防ぎ、局部の痛みをなくし、手術操作を的確に行うために使用します。局部の麻酔はお口のくちびる側と裏側の粘膜に、歯医者さんの治療の時に使う一般的な麻酔薬を使います。(歯科用キシロカインカートリッジ(2%リドカイン、1/8万エピネフリン含有)この一般的な麻酔薬に過敏症やアレルギーがある患者様には、別の麻酔薬(シタネスト)をご用意しております。手術前にお申し付けください。
3. 抜歯をします
第一小臼歯または第二小臼歯(虫歯だったり、歯が抜けていたり、かぶせ物だったり、状態が悪い歯を抜歯します)をやさしく抜歯します。
4. 切開をします
手術を始めます。
骨を削って、後ろに下げるために必要な範囲を切開します。
抜歯をした歯の部分に縦に1cmくらいの小さな切開をします。粘膜のみを切開し、他の組織を損傷しません。切開には15番メスや電気メスを使用します。切開面からガーゼを使って優しく手指ではがすと、骨の幕である骨膜が見えてきます。骨を切ったり、削ったりする部分だけを露出します。
5. 剥離します

剥離(口の中で骨が見える範囲)は、上は隣の歯の根っこまで、内側は小鼻の付近まで、お鼻の粘膜もお口の中から一部をはがしておくと、骨がきれいに切れて、手術後の出血が少なく、腫れも少なく、治りが早くなります。
また、切開と剥離の工夫は、手術が終わって縫う時に、不自然な表情にならないようにするための縫い代の確保につながります。
6. 骨を削ります
デザインで確認をした骨の切除範囲と骨の切離範囲に沿って骨切りをおこないます。骨切離は、骨がやけどをしない様に、生理食塩水を注水して、骨を冷やしながらエンジンやドリルで骨を切ります。
痛くありませんし、無意識の真っただ中ですから、振動も感じません。安心してください。この時に、歯の根元を傷つけないように、歯の根の先から5mm以上離します。
7. お鼻の粘膜を保護します
お鼻の粘膜と副鼻腔と呼ばれている上顎洞というお鼻の一部である骨の空洞の粘膜を傷つけないように、慎重に丁寧に不要な部分の骨を切除します。
8. 裏側の骨を切断します
上の裏側の粘膜の下にある骨を切断します。上の顎の裏側の骨(お口の天井の部分)はお鼻の底(床)です。つまり、お口の天井とお鼻の床は同じ骨です。この部分を切り離すことで、上のあごの骨が前後左右自由に動くようになります。
この手術操作によって、ガミースマイル症状のある患者様や、かみ合わせが深い(過蓋咬合)患者様、噛み合わせると上の歯が下の歯にすべてかぶさってしまって、下の歯が見えない患者様などの症状の改善ができます。上あごの裏側の粘膜は分厚くて、しわしわ(ヒダ)になっています。とくに天井部分の真ん中は骨が固く、しっかりと骨を切り離しておく必要があります。


9. 鼻中隔の処置をします
骨の切り離しが出来たら、鼻中隔の部分も丁寧に処置します。少し剥がして、後ろに移動した骨と相性が良くなるように調整します。すべて口の中で切開した、小さな穴から処置をしています。
10. 骨を後ろに下げます
骨はグラグラになりましたが、必要以上に剥がしていないため、筋肉や靭帯、お鼻の粘膜、お口の粘膜につながっていて、宙ぶらりんの状態です。後ろに下げるための障害になる部分を調べます。お鼻、鼻中隔、小鼻、抜歯した前後の歯や骨、お口の天井の骨、お鼻の床の骨、ちくのう症の有無を含めて、引っ掛かりや異常がないかを確認します。
11. 整えます
デザインをした予定位置に骨をずらします。後ろに下げてみて、予定外の骨があたったり、突っかかってしまっている場合は、エンジンやドリルを使って合わせます。予定位置に自然に収まるように試適します。歯並びや骨の段差が生じないように、骨を小さく割ったり、削ったり、微調整もおこないます。
12. 最終的な見た目の調整をします
骨と骨の位置決定をする前に、動かした骨の位置で、正面から見たところ、横から見たところ、斜めから見たところを観察します。
おでこ、お鼻、くちびる、小鼻、あご先のバランスをエステティックラインがきれいにできるように骨の位置が正しいか検討します。噛み合わせのずれがないように、モデルサージェリーで作成したマウスピースをつけて、歯並びや噛み合わせを決めます。後ろに移動した上あごの骨が、顔の位置としてきれいに収まっているかを検討します。上のあごの位置によって、下のあごの位置は決まりますから、とても大切ですね。かみ合わせ。見た目のバランスが整ったところで骨の位置を決めます。
13. 骨を固定します
口ごぼ改善のための、見た目とかみ合わせが理想の形に整ったら、骨を固定します。固定材料には、溶けるプレート、チタン製のプレート、ステンレス製のワイヤーがあります。どれを使うかは、手術中の骨の安定感や調整の多い、少ないなど状況に応じて使い分けます。


14. 止血を確認して、
手術部位の消毒をします
手術した部分は生理食塩水と消毒液を使用して手術後に感染が起きないようにします。お鼻の粘膜、お口の粘膜に骨の削りカスが残ったり、ばい菌が残らない様に努めます。血の止まり具合も観察して、完璧な止血をおこないます。完璧な止血をすれば、腫れが少なく、治りが早くなります。
15. 縫います
縫合は各層縫合という方法をおこないます。骨にある膜(骨膜)、筋肉の膜(筋膜)、じん帯、お口やお鼻の粘膜を剥がした順に丁寧に整えながら、縫い込んでゆきます。糸の材質は溶ける糸を使います。
お顔、お口やお鼻は、一か所もまっすぐの部分がありません。糸の太さや長さ、針の大きさや太さ、曲がり具合を傷口の部分に合わせて使い分けます。
しっかりと縫いますが、硬く縫いすぎても不自然な表情になったり、お口を動かす時の障害になったりするので、適度に動いて、適度に動かないちょうどよい縫い方になるように、細心の注意をしています。
ここまでが上顎の手術

ここまでの操作、手術によって、上のあごの位置決めが終わりました。この時点で上のあごは後ろに下がっています。お鼻の形もきれいです。歯の傾きも改善出来ています。
しかし、嚙み合わせてみると、受け口になっています。でもそれは正常です。上がさがって、下はそのままですから、しっかりと上のあごが下がっている証拠です。
それでは、上のあごの状態、お顔の状態が完璧になるように下の手術を始めます。
ごぼ口セットバック ... 下顎の手術
1. もう一度、デザインをします
上のあごは動かしました。もう一度手術によって移動する範囲を確認します。すでにおこなった上のあごの下がり具合、上下のかみ合わせ、E-Lineを確認して、神経や血管、靭帯を傷をつけない様に、そしてきれいに仕上がるように作業します。
2. 局部麻酔をします
すでに全身麻酔にて無意識の状態ですから、局部麻酔は下の歯ぐきの表側と裏側に痛み止めの効果、出血の予防、腫れ止めのために使用します。
上のあごと同じく、注射に使用するお薬は歯医者さんの治療の時に使う一般的な麻酔薬を使います。(歯科用キシロカインカートリッジ(2%リドカイン、1/8万エピネフリン含有)アレルギーがある場合は、別の麻酔薬(シタネスト)を使用します。
3. 歯を抜きます
前歯と奥歯の中間の歯で、事前のレントゲン検査や噛み合わせ模型検査によって調べておいた歯を抜歯します。ちょうどよい部分の歯がない場合は、新たに歯を抜くことはありません。
虫歯の歯があれば、その歯を優先して抜歯します。銀歯や状態が悪い歯があれば、その歯を抜いて、手術をすることが可能です。歯を抜くことが目的ではありません。抜歯した歯の部分の骨を削って後ろに下げるためのスペースを確保することが目的です。
ですので、上下セットバックの場合は、下の歯を抜かないで手術ができる場合もあります。いずれにしてもやさしく抜歯しますから、ご安心ください。
4. 切開します

下のあごの手術を始めます。骨を切って、削って後ろに下げるために必要な範囲を切開します。下くちびるの裏側に3cmくらいの小さな切開をします。薄い粘膜だけを切開します。
切開にはメスや電気メスを使用して、他の組織を傷つけません。切った部分からガーゼを使って優しく手指で伸ばすと、粘膜の下にオトガイ筋、下唇下制筋、オトガイ神経などが透けて見えます。傷つけないように慎重に次の作業に進みます。
5. 剥離します

剥離(はがすこと)は、骨を削るために必要な骨の面が見えるようにおこないます。ガーゼとスプーンのような器具を使って、神経の走行や出口に注意しながら慎重におこないます。骨の膜である骨膜まで剥がすには、まわりにたくさんの筋肉や血管がありますが、傷をつけない様に丁寧に剥がします。
骨膜に到達したら、骨膜はメスを使って切り離します。
骨を切ったり、削除したりする部分だけを露出させます。きれいに骨が露出できれば、骨がきれいに切れて、手術後の出血が少なく、腫れも少なく、治りが早くなります。また、きれいな切開と剥離は、不自然な表情にならないように手術が終わって縫う時に役立ちます。
6. 骨を削ります

骨はコの字型に切ります。水平の骨切り線は、歯の根や神経を傷つけないよう、下の犬歯の根の尖端から5mm以上下方におこなっています。
下あご犬歯の根の尖端は、剥離した部分から見える骨から透けて見えることが多いので、傷つけることはありません。抜歯した歯の根の長さを参考にすることもあります。
抜歯した歯の部分の骨を削って、後ろに下げるために必要な骨のすき間を作ります。この部分の骨を削りすぎると、手術後に骨のすき間ができてしまいます。その他、骨と骨、歯と歯のすき間ができてしまう時もあります。下顎犬歯、下顎小臼歯が傾いてしまったり、部分的な歯周病になり、骨が融けてしまったり、歯が抜けてしまうこともあります。この部分の骨の削除はこの手術では、最も大切な手術のパートヤマ場と言えます。
カンファークリニックでは、模型を使用したモデルサージェリー、シミュレーション手術をおこなって、細心の準備と注意をしながら手術をおこなっています。骨を削る機械は専用のサジタルブレード(刃先)を使います。 水平的な骨切りと、垂直的な骨切りを組み合わせて、骨が後ろに下がるように骨を削り、骨を動かします。
7. 骨を後ろに下げます
キレイに骨を削り終わると骨はグラグラになります。この状態は舌側の歯ぐきによってつながっているため、外れませんが動きます。必要以上に剥がしていないためです。宙ぶらりんの状態になりました。後ろに下げるために邪魔になっている部分を調べます。
8. 整えます
予定していた位置に下あご骨を後ろに下げてみて、予定外の部分の骨があたってしまったり、突っかかってしまっている場合は、エンジンやドリルを使って調整します。予定位置に自然に収まるように何度も試適を繰り返します。歯並びやかみ合わせ、骨の段差が生じないように、骨を小さく割ったり、削ったり、微調整をおこないます。
下あごは骨が引っかかってしまう場合が多く、小さなかけらが残っていても、きれいに後ろに下がりません。そのため、念入りに骨の引っ掛かりや異常がないかを確認します。モデルサージェリーやシミュレーション手術の予定の位置に収まるように調整します。かみ合わせの確認、調整にはマウスピースや専用のバイトプレート、シーネ、オクルーザルスプリントを使います。
9. 最終的な見た目の調整をします
キレイに予定の位置に収まることが出来たならば、骨と骨の位置決定をします。固定をする前に、見た目の変化を確認します。骨を後ろに下げた状態で、正面から見たお顔、横から見たお顔、斜めから見たお顔を観察します。
動かし終わっている上のあごとぴったりと合わせてから、おでこ、お鼻、くちびる、小鼻、あご先のバランスをE-Lineに合うように検討します。噛み合わせのズレは、モデルサージェリー、シミュレーション手術で作成したマウスピースをつけて、歯並びや噛み合わせを確認します。
あごと唇のくびれの状態やあご先の形、下くちびる、鼻尖端とのバランスを確認します。額からお鼻、唇、オトガイ先端までのバランスと、E-Lineのバランスは下のあごの位置で決まりますから、とても大切ですね。かみ合わせ。見た目のバランスが整ったところで骨の位置を決めます。
10. 後ろに下げた骨を固定します

見た目の調整が終わり、かみ合わせも良くなったら、その位置に下あごの骨を固定します。後ろに下げた上のあごの位置に合わせます。
固定する材料は、チタン製のプレート、骨接合用ステンレス製のワイヤー(矯正用のワイヤーとは違います。)、溶けるプレートがあります。どの固定材料を使うかは、上と下のかみ合わせ具合や、お鼻やあご先とのバランス、手術中の骨の安定感や調整の程度など状況に応じて使い分けます。
11. 仮止めします
上下のあごを手術中だけ固定して、安定させます。
予定の位置に移動した骨を戻して、最もきれいな見た目の位置と噛み合わせの位置で上下のあご、歯と歯の当り方を最終確認します。
顎関節、嚙み合わせ、見た目のバランスを整えて、あご関節の受け皿、あご関節のあたま、かみ合わせ、見た目のバランスを調和させます。中心位と中心咬合位をぴったりと合わせるために顎間固定をした状態であご先を手で動かして、関節の頭を関節の受け皿部分の最も後ろで最も上の位置に誘導します。(カンファ―クリニックでは、最終的な顎間固定はおこないませんから、手術後から食事ができます)
12. 止血を確認して、
手術部位の消毒をします
手術した部分に骨の削りカスや、血の塊などが残っていると、手術後の感染や腫れの原因になります。生理食塩水と消毒液を使って、丁寧に洗浄します。
粘膜のくちびる側や舌側は特に骨の削りカスが残ったり、ばい菌が残りやすい部分があります。この時に、血の止まり具合も観察して、完璧な止血をおこないます。完璧な止血をすれば、腫れが少なく、早く治ります。止血に使用するお薬は、ボスミンやトラネキサム酸、軟膏を使う時もあります。骨の内から出ている出血には、止血マイセルという器具を使用します。エルマン社製電気メスのモノポーラを使う時もあります。
13. 傷口を縫います

傷口を縫う方法は、各層縫合をおこないます。一番深い部分にある骨の膜(骨膜)、筋肉の膜(筋膜)、じん帯、一番表面のお口の粘膜をそれぞれ、ずれがないように縫います。剥がした順に組織を丁寧に整えながら、縫い込んでゆきます。
糸は溶ける糸を使います。糸の太さや長さ、針の大きさや太さ、曲がり具合を傷口の部分に合わせて使い分けます。
しっかりと縫いますが、硬く縫いすぎても不自然な表情になったり、お口を動かす時の障害になったりするので、適度に動いて、適度に動かないちょうどよい縫い方になるように、細心の注意をしています。
くちびるの真ん中の位置がズレないように注意しますCupid弓とお顔の真ん中をそろえたり、下くちびるとあご先の位置を揃えます。前歯とそろえたり、くちびるのボリューム改善縫合、ガミースマイル、歯肉露出の予防縫合、Cカール形成縫合を口の周りの筋肉や上唇を持ち上げる筋肉群の並び方、位置、動きを考えて縫っています。
14. 術後
1時間ほどご休憩いただき、問題がなければご帰宅できます。
手術後について
| 食事 | お食事は、多少不自由ですが、手術当日から通常の食事を召し上がっていただけます。 (日に日に良くなります。) |
会話 | 会話は、多少不自由ですが、手術が終われば会話ができます。 (手術後2日ほど、しゃべりにくい患者様もいらっしゃいますが、どんどん改善します。) |
傷跡 | 傷は口の中のみでお顔の表面に傷はありません。 (傷口をお口の中だけに限定することで、傷口の治りは格段に速くなります。) |
|---|---|
| 創部の 圧迫 |
手術後当日にお顔に小さなテープを使用して傷口の圧迫をおこないます。 手術日の翌日までテーピング圧迫をおこないます。(マスクで隠れる範囲です。) 手術日の翌日にご自身で除去して頂きます。 |
| 術後の 通院 |
術後の通院や定期的な通院は不要です。 患者様のご希望により、診察をしております。 |
| 抜糸 | 溶ける糸を使用します。手術後1か月ほどで自然になくなりますので、ご来院は不要です。 |
| 洗顔 | 圧迫用テーピング部位以外は当日より可能です。 |
| 入浴 | 軽めの入浴は当日から可能です。シャワーも当日から可能です。 |
| メイク | テーピング除去後、手術の翌日から可能です。 |
| その他 | 手術後7日間は、喫煙をお控えください。 その他、日常生活の制限はございません。 |
ごぼ口セットバック手術の手術後ケア |
|---|
ステンレスワイヤーやプレートは手術後3~6ヵ月後にはずします。 |









