

(下の歯も長くなったように感じますが、
カチッと噛んでいるかどうかの違いです。)
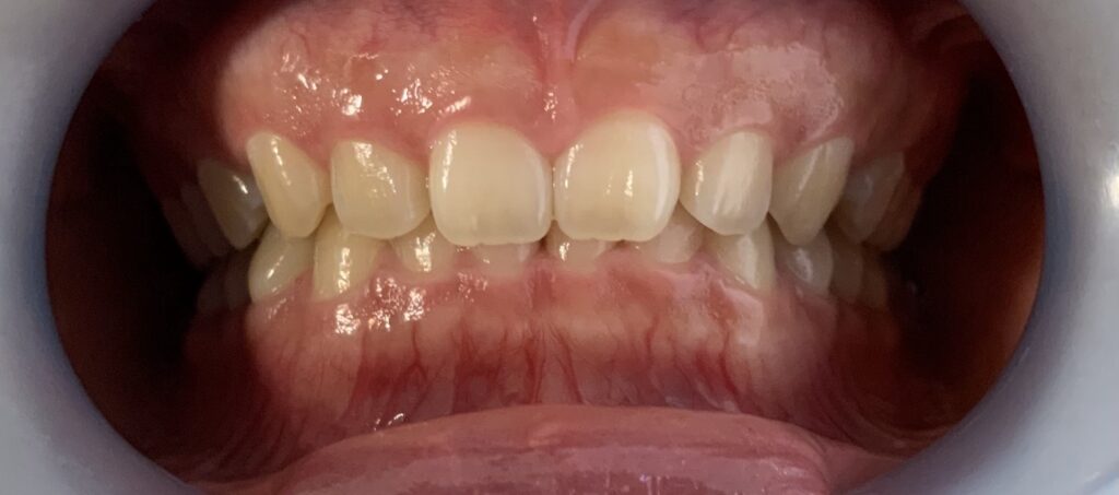
比べてみると、全くの別人!?と思うくらいお口の印象が違います。
黒くなっている部分は、手術後の専用の歯ブラシでケアしていただいていると、2〜3日くらいで取れます。
切除の範囲の大きさや、治り方の個人差はありますが、2週間から1ヶ月くらいで歯ぐきが付いてしっかりして来たと感じる方が多いようです。
最近は、最初は大きく切除しないで控えめにしておいて、気になるようなら後からリタッチを選択される方も増えてきました。
大きく変わるのが不安な方や、控えめにして様子をみたい方などに好評です。
控えめに切除しても、後戻りはしないのでご安心くださいね。
(先生の技術と、術後の専用の歯ブラシの使用で後戻りはしません。)
リタッチは、術後3ヶ月以降から半年以内にお願いしています。
3ヶ月待つのは、歯ぐきがしっかり安定してから判断していただきたいからです。
当院では、リタッチは材料費として5,500円だけいただいています。
歯冠長延長術は6本〜10本で110,000円(税込)です。
ご予約いただいた患者様には、他院と比べると安すぎて逆に不安だったと言われますが、それでもお支払いいただくには高額な治療です。
本当は控えめにして様子をみたい方が、でも高額だからやり直しの無いように、と大きく切除して後悔してほしくないので、リタッチは気軽に行えるように設定しています。
安心して施術を受けてくださいね😊










