「もう今年もあと2週間です!」とテレビで言っていて、えー!!早すぎる💦と思ってカレンダー見たら、まだ20日近くありました。
まだ結構あるなと思えて得した気分にはなったんですが、あれはなんだったのでしょう?
アナウンサーの方も気持ちが急いていたんですかね笑
でも、日が経つのが早いのには変わりありません💦
ホワイトニングでキラキラの歯にして、楽しい年末年始を過ごしましょう✨
今年の汚れ、今年のうちに♪です。(このCM分かる方いるかな、、笑)
なんといっても、カンファークリニックのホワイトニングは歯のクリーニング付き✨
ホワイトニング剤の浸透も違いますよー!



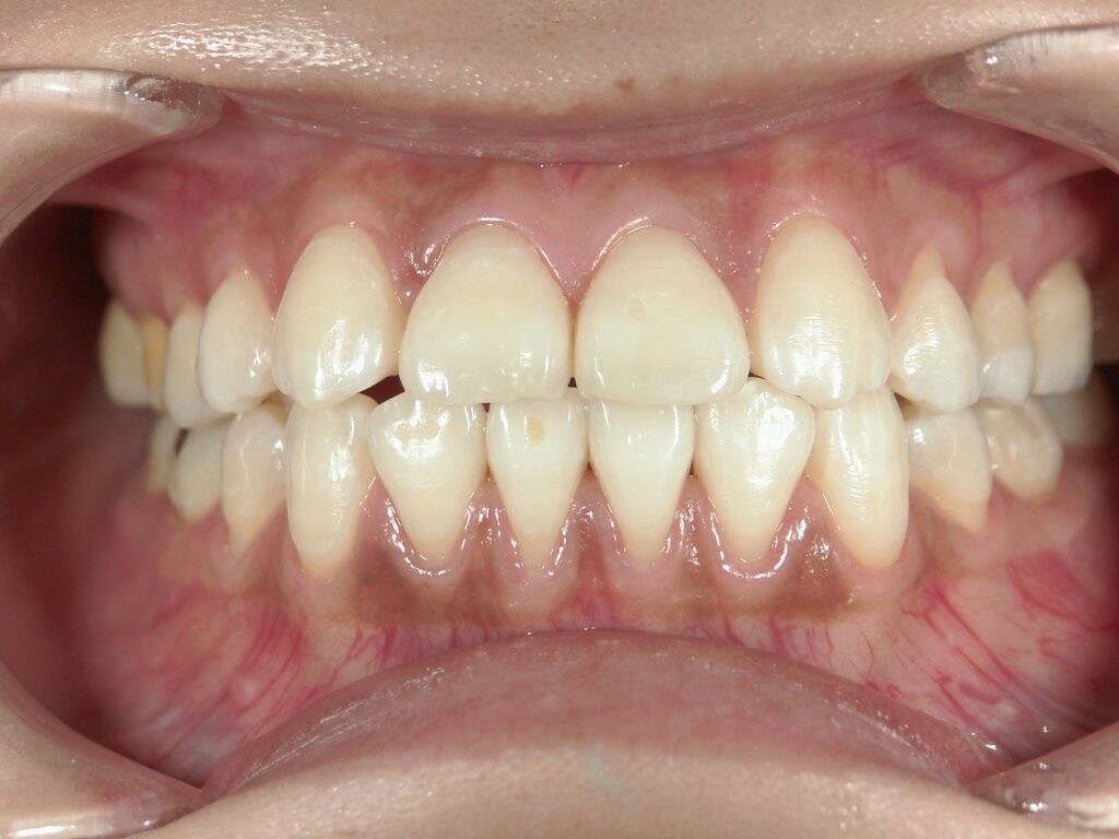
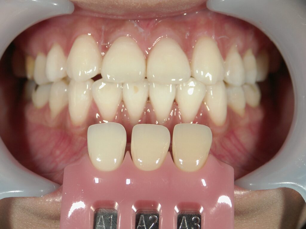
下の歯の茶色い点は詰め物をしてあるところです。
詰め物は白くならないので、歯の白さに合わせて詰め物を詰め替えます。
オフィスホワイトニング、ホームホワイトニング、デュアルホワイトニング
呪文のようですが、それぞれの良さ、組み合わせの良さがあります。
詳しくはホームページをご覧くださいね😊
ご予約はLINEからお好きな日程を選んでいただけます😊
日付: 2025年12月13日 DH Tanaka Blog, 歯ぐきのホワイトニング and tagged カンファークリニック 歯のホワイトニング ホワイトニング 歯のクリーニング, メインテナンス 歯のメインテナンス 天神 福岡 PMTC 審美歯科















