LINE
相談・予約
フォーム

TOPへ戻るTOPへ戻る

歯冠長延長術へのこだわりポイント

ガミースマイルを治す方法の1つとして、歯冠長延長手術があります。

局部の麻酔処置でできるとても気軽な治療でありながら、絶大な効果がある、画期的な治療です

ということで、

今日の手術はガミースマイルを治すために歯冠長延長手術を行いました。

歯冠長延長術は日本で唯一カンファークリニックが行っているオリジナル手術です。(2020年日本口腔外科学会シンポジウム講演、発表済み)

この歯冠長延長術は歯ぐきのケアです。

お爪の甘皮処理と同じ。→イメージしやすいと思います。

歯冠長延長治療の時に大切なことは、患者様の症状にあっているのか?を判断すること。

歯ぐき検査やレントゲン写真の判断と、患者様のご希望に合っているのか?総合的に判断することです。

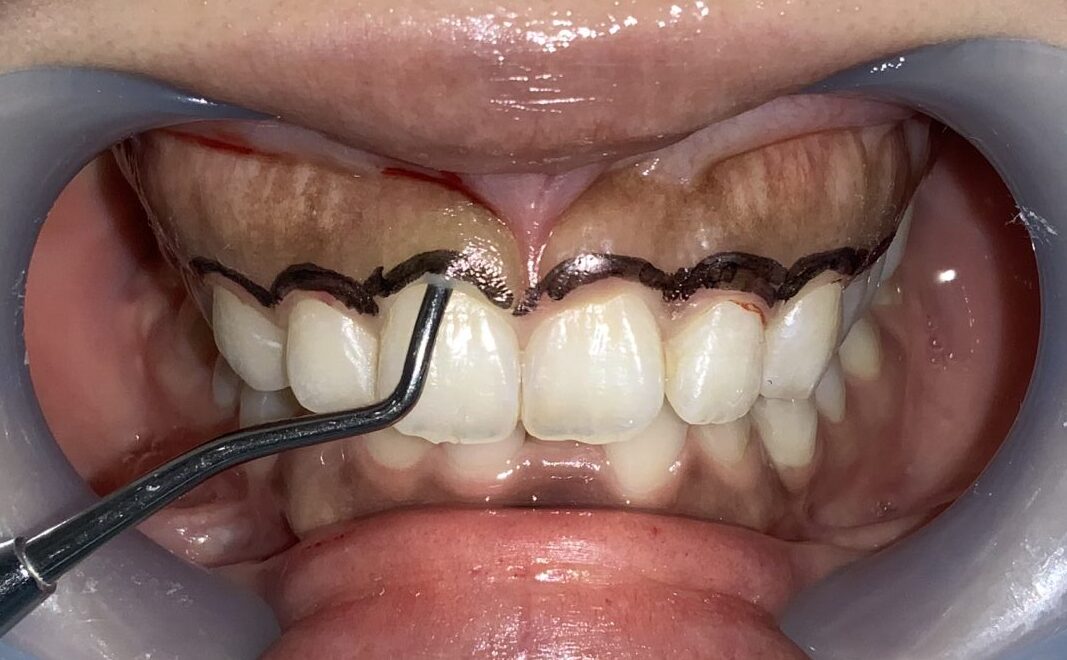
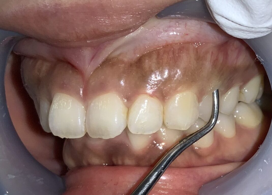
まずは手術前の状態です。

歯に歯ぐきがたくさんかぶっている状態です。

上の歯が下の歯を覆い被せてしまい、下の歯が全く見えない状態を過蓋咬合(かがいこうごう)と言います。

このような患者様は歯が歯ぐきに潜り込んでいる場合が多く、同時に歯槽骨が尖っていたり、ざらざらしていたり、歯槽骨までが歯を覆い被せていたりする場合がありますから、歯冠長延長術と同時に歯槽骨整形も一緒にしなければ、後戻りをしたり、綺麗に仕上がらない場合があります。

ちなみに、歯槽骨整形を歯冠長延長術と同時に行わないで、別途費用を加算するクリニックは、適切な歯冠長延長術をしていないクリニックです。注意しましょう。

まずは歯ぐきのかぶり具合、歯ぐきの厚み、歯槽骨の状態、歯ぐきの切除範囲の検査からです。

このくらいかぶっていますから、綺麗に切除できます。

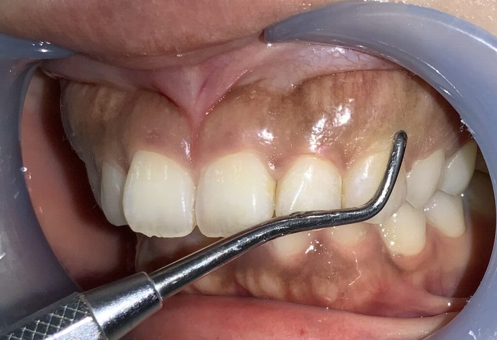
反対側の前歯です。

こちらもたくさんかぶっています。歯槽骨のとがった部分もあり、ざらざらした面もありますから、歯槽骨整形も同時に行う必要がありそうです。

少し小さい隣の歯です。

歯ぐきは薄いようですが、歯ぐきの被っている量はたくさんあります。

今度は犬歯です。この歯は大きく切り取ってしまうと「八重歯」みたいになってしまうので、歯ぐきを整形するときに注意が必要な歯です。

歯ぐきが被っている量や厚みはたくさんあります。

患者様のご希望により、4番目の小臼歯も整形します。費用の追加はありません。

奥歯になりますが、綺麗に整えることが出来ます。

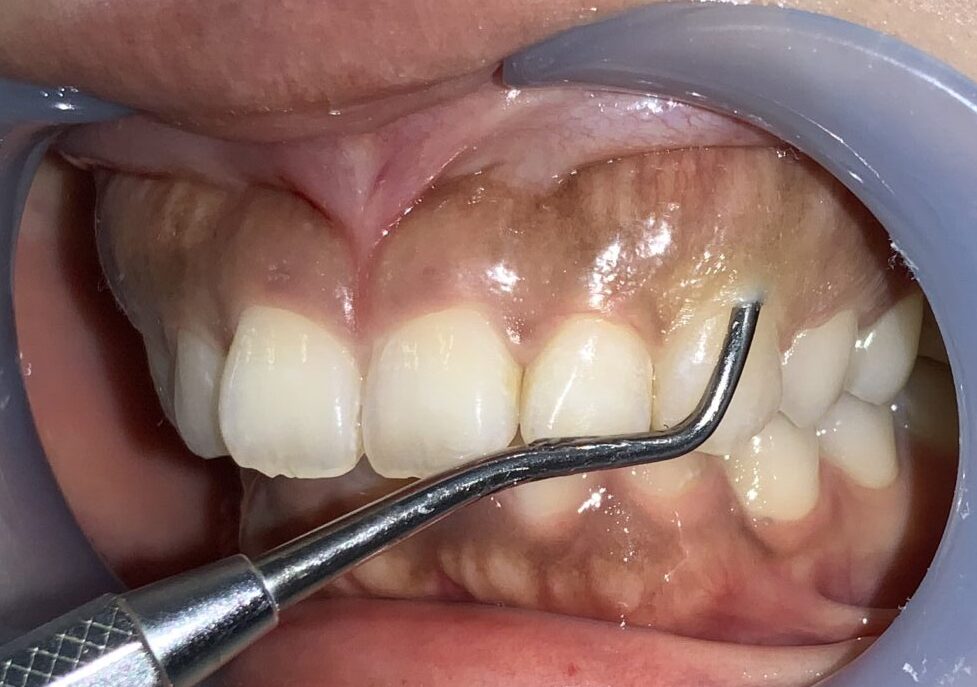
前歯に戻って反対側です。

こちらも歯槽骨のざらざら感や、とがった部分がありそうです。

犬歯です。通常は大きく見えるはずなのに、たくさんの歯ぐきが被ってしまっていて、とても小さくなっている犬歯です。

綺麗に整えましょう

最後に4番目の歯。小臼歯です。

奥歯ですが、口角が上がると見えるので、綺麗に整えることが出来ます。

検査結果から、歯ぐきの切除範囲をマーキングして、もう一度検査データと切除範囲の間違いがないかを確認します。

切除範囲の設定は完璧です。

まずは1本だけ歯ぐきの整形を行なって、患者様に確認をして頂きます。

歯ぐきの面積が小さくなり、歯が大きくなり、歯ぐきの形が整っています。

「注意点」

歯槽骨の尖がありますね。

この部分です。この部分は綺麗に整形します。

このように歯槽骨整形も一緒に行なって、綺麗な歯槽骨になったので、後戻りの心配がなくなり、しかも綺麗に仕上がります。

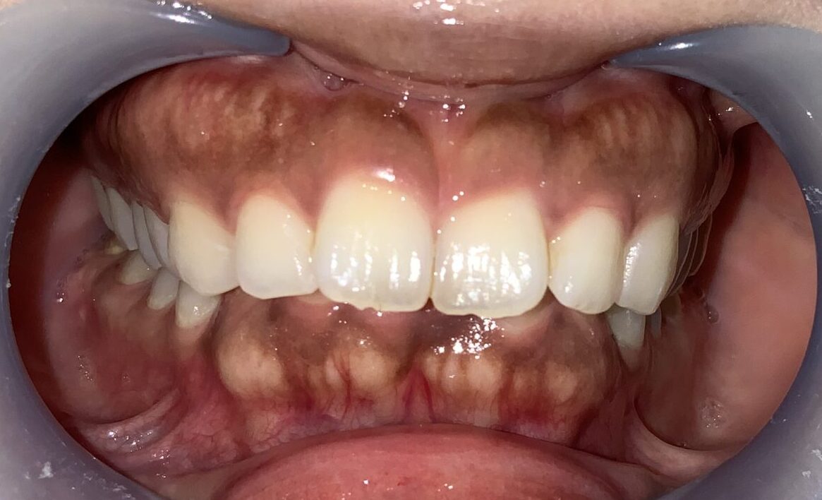
片側だけ終わりました。患者様にも確認をして頂きます。歯ぐきの形、歯の形、笑った時の歯ぐきの見え方を全てご確認頂きました。

患者様にも仕上がりに納得して頂きました。

反対側の歯も全て整えました。

治療は歯冠長延長術専用の電気メスで処置します。手術時間は10分程度です。

費用は見えるところ、前歯の6本から10本の範囲で11万円です。本数は患者様のご希望に合わせて治療をしており、追加費用はありません。(多くの患者様から、安すぎて怪しいとお叱りを受けます。)

この治療方法の最大の魅力は歯冠長延長術にはデメリットがありません
歯ぐきの面積、形、色を整えることができて、デメリットがない点が大きな利点です。

さらに、歯冠長延長術をおこなった後は、後戻りはありません

今回の患者様は、歯槽骨整形も同時に行なっています。歯槽骨整形を追加するクリニックには気をつけてください。

追加費用はなく必要に応じて歯槽骨整形も同時に行なっているからです。(この点も同時に行なって費用が同じなんて怪しいと患者様に指摘をされてしまう点です。)

カンファークリニックの歯冠長延長術は単独療法で十分な効果が得られます。

矯正歯科 福岡【カンファークリニック】日本初の美容矯正歯科

日付:   Dr.Kinoshita Blog, Dr.木下の治療例, ガミースマイル, カンファークリニックの治療例 and tagged , ,