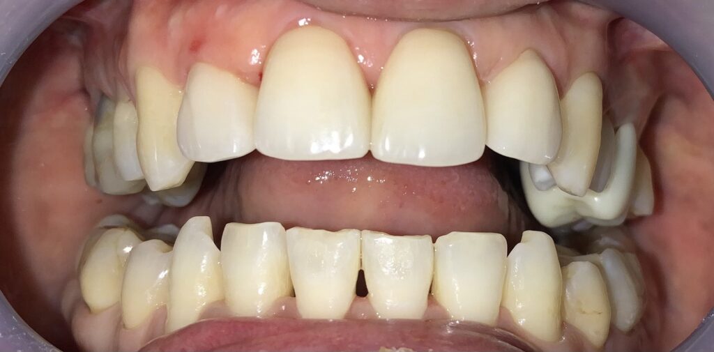
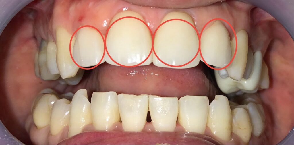
上下の前歯のうち、どれが被せ物の歯か分かりますか?

正解は、、、
上の真ん中4本です👏

2015年に作製していますので、今から10年前に入れた被せ物ですが、ずっと綺麗な状態を維持しています。
この歯の持ち主は、被せ物作製当時40代後半の男性で、周りの歯と馴染むような被せ物をご希望でしたので、周りの歯と違和感のない自然な感じになっています。
被せ物の良いところは、自分の思い通りの歯、理想の歯になれることです。
今回のように自然な色も、透明感のある白さも、陶器のように真っ白にすることも可能です。
形も、小さめで可愛らしく、縦長の大人っぽい歯に、、お顔立ちに合わせて作製することが出来ます。
(あと、この被せ物はプラークが付きにくいこともメリットです✨)
歯の色や形態など、好みをお伝えください。
理想の写真などを見せていただけると、より分かりやすいです。
理想の形態を参考に仮歯を作り、確認していただくことも出来ます。
ぜひカウンセリングの際にご希望を聞かせてくださいね😊










