今日は歯槽骨整形と歯冠長延長術を同時に行いました。
歯冠長延長術は日本で唯一カンファークリニックだけが行なっているオリジナル手術です。(2020年日本口腔外科学会総会シンポジウム講演、発表済み)
治療は歯冠長延長術専用の電気メスで処置します。手術時間は10分程度です。
費用は見えるところ、6本から10本の範囲で11万円です。本数は患者様のご希望に合わせて治療をしており、追加費用はありません。(多くの患者様から、安すぎて怪しいとお叱りを受けます。)
この治療方法の最大の魅力は歯冠長延長術にはデメリットがありません。
歯ぐきの面積、形、色を整えることができて、デメリットがない点が大きな利点です。
さらに、歯冠長延長術をおこなった後は、後戻りはありません。
今回の患者様は、歯槽骨整形も同時に行なっています。
追加費用はなく必要に応じて歯槽骨整形も同時に行なっているからです。(この点も同時に行なって費用が同じなんて怪しいと患者様に指摘をされてしまう点です。)
カンファークリニックの歯冠長延長術は単独療法で十分な効果が得られます。
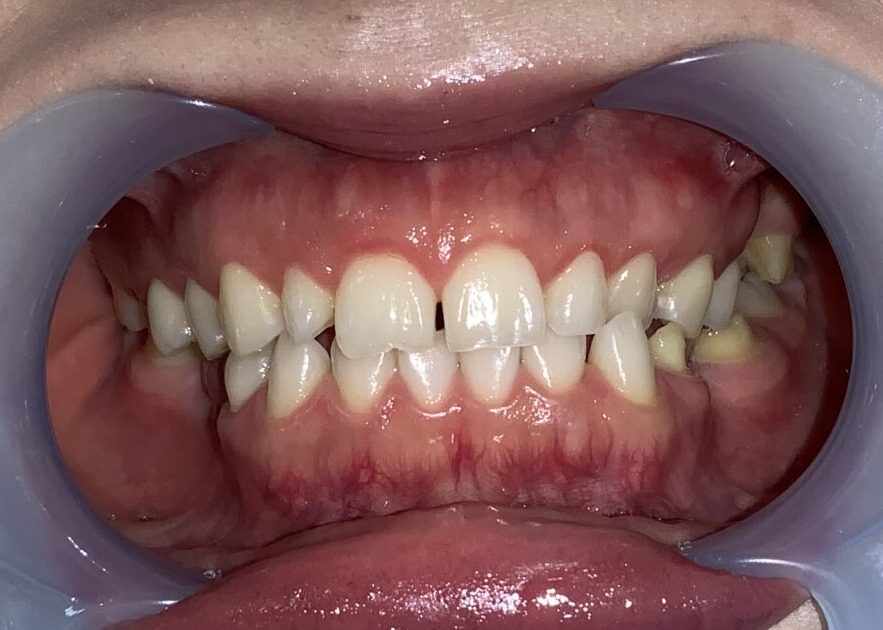
治療前の状態です。
歯の上にたくさんの歯ぐきが被っています。
前歯の歯ぐきの被り具合の検査をしています。
こちらの歯は歯ぐきの下の「歯槽骨」に尖っている部分がありそうです。
そして、歯ぐきは厚くて、歯ぐきの中に歯が埋まり込んでいる状態です。
反対側の歯も同じように検査をしてみます。
歯に歯ぐきが大きくかぶっています。
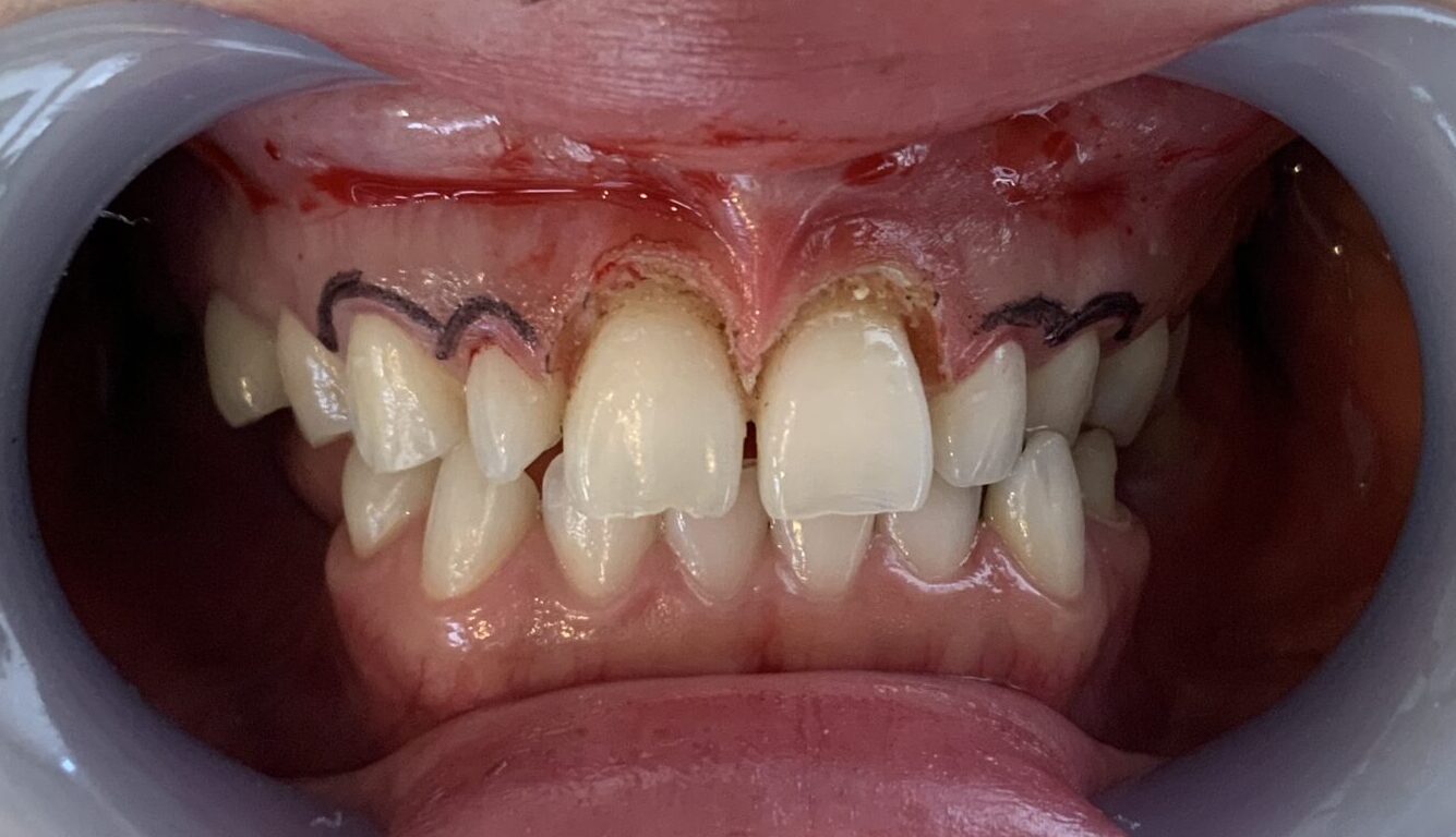
歯ぐきを切り取る範囲を黒いマーキングペンでマーキングして、手術に挑みます。
ポイント!
「歯冠長延長術」と「歯肉切除」は全く異なる治療です。
カンファークリニックの歯冠長延長術はオリジナル手術です。
歯ぐきの美容整形としての「歯冠長延長術」
美的な治療として除去する歯ぐきを整形することが大切です。
カンファークリニックでは、歯冠長延長術実績1000人以上の実績がありますから、お一人お一人の症状や状態にピッタリの歯ぐき切除、歯ぐき形成を行っています。
まずは前歯の2本を治療して、患者様に確認をして頂きました。
やはり、向かって右側(患者様の左側)の歯は歯槽骨が尖っている部分が認められます。
この部分ですね。
このままの歯槽骨状態では、後戻りをしてしまうので、歯槽骨整形を追加して治療します。(追加費用はありません。)
全ての歯の手術を終えて終了です。
こんなに歯が大きくなり、歯ぐきが小さくなり、ガミースマイルも改善しました。
笑った時に歯ぐきが丸見えの状態は改善されました。
せっかくの笑顔なのに、歯ぐきが丸見えの状態は少し悲しい気持ち。ちょっと恥ずかしい気持ちになります。
このような症状を治したいと思っている患者様は皆様、同じ気持ちです。
笑った時に歯ぐきが丸見えの状態をガミースマイルと言います。
学術的には笑った時に唇がめくり上がり、歯ぐきが4mm以上見えるとガミースマイルと診断していますが、私が長年、ガミースマイルの患者様を治療させて頂き、感じていることは、この4mmなんてあまり関係がないということです。
患者様ご本人が気になり出したら、1mmだって見えているとイヤ!と感じてしまうのです。
これは、笑い方や表情、お顔立ちに影響しているようで、学術的な基準はあまり参考にならないと思います。
ですので、自分の笑った時の笑顔と歯ぐきの関係がしっくりしないな〜と感じるなら、ぜひカウンセリングにご来院を頂きたいと思います。
診察をしないとわからないことはいっぱいあるのです。
治療を無理に勧めることはありませんし、症状や状態、ご希望をお聞きして、患者様にピッタリの治療方法をアドバイスしています。


















