ガミースマイル歯冠長延長術は、カンファークリニックのオリジナル治療方法です。
(2020年日本口腔外科学会シンポジウム講演、発表済)
歯冠長延長術の効果は、、、
歯が見える面積が増える
歯ぐきの見える面積が少なくなる
結果として、歯ぐきが見えなくなり、ガミースマイルが改善する。
しかも一度行えば、
その効果は一生物。半永久的。後戻りなし。
歯冠長延長術は、ガミースマイルの症状のない患者様ではなくても、歯を美しく見せたい方にすごくお勧めできる方法です。
歯列矯正では出来ない、「美しい歯」が整います。
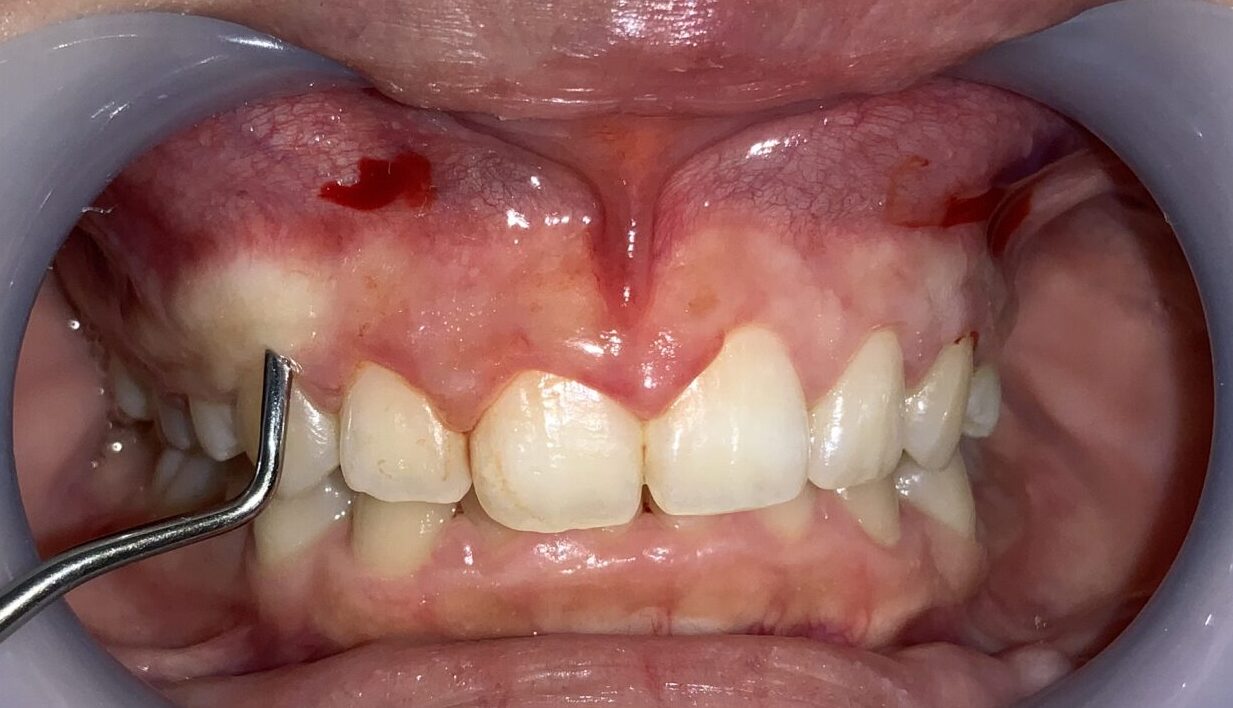
手術前の状態から見て参ります。
歯ぐきが被っており、歯が小さく、左右差があります。歯ぐきが被っている影響で歯ブラシの清掃が届かないので、プラークの堆積や歯ぐきの発赤も認められます。
過蓋咬合(かがいこうごう)の状態です。上の歯並びが下の歯並びを大きく被せてしまい、上の歯並びに隠れてしまい下の前歯が全く見えません。
このような状態の場合には歯を支える歯槽骨がとがっていたり、ざらざらしてしまっている場合が多く、歯槽骨整形を併用しなければ、後戻りをしてしまう場合があります。
お口元の状態は、
口角の上がり方や傾きに左右差があり、歯ぐきも大きく見えてしまう状態です。
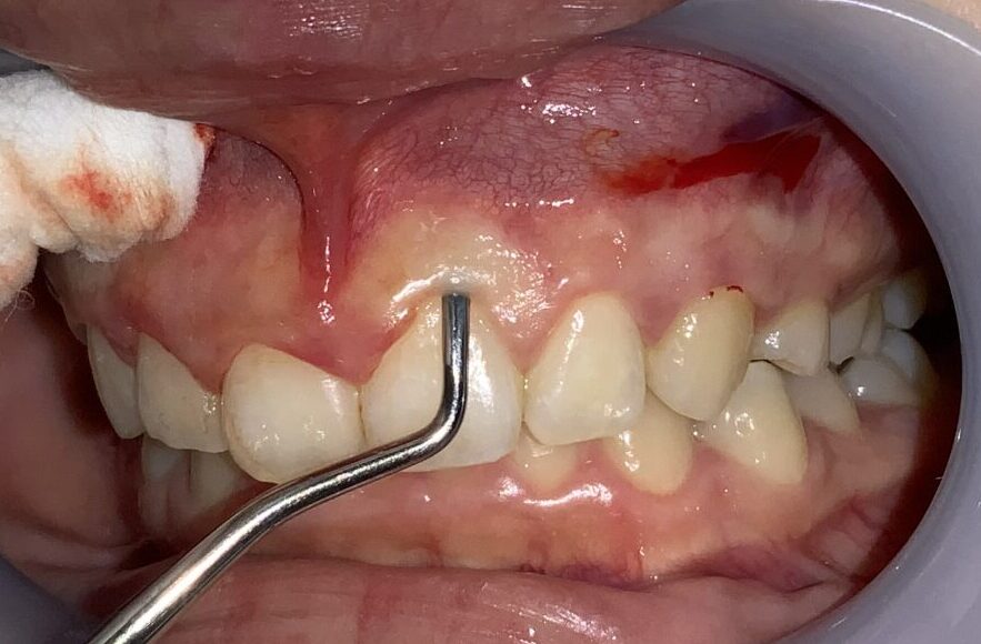
前歯から順番に検査をして参ります。
歯ぐきの被っている量は相当あります。また、歯ぐきが分厚くて、繊維状に変性をしているようです。しっかり整えましょう。
前歯の隣の歯です。
こちらの歯の歯ぐきも分厚くかぶさっているようです。
安全に切り取ることができる範囲がわかります。
さらに隣の歯も検査します。
こちらの歯は犬歯です。大きく切り取り過ると、八重歯になってしまうので、注意が必要です。
安全に切除できる範囲の歯ぐきを計測します。
反対側の歯の検査に移動します。
血液が出ているのは、局部麻酔の影響です。歯の検査の影響ではありませんので、ご心配なく、検査をお受けください。
歯ぐきの厚みや歯槽骨の状態も確認します。
この歯も歯ぐきが被っている量が相当あります。
最後に犬歯の検査をします。
犬歯もこのように小さな形ではなく、綺麗な形になります。
八重歯にならないように細心の注意をします。
今回の患者様のご希望の本数は6本でしたので、検査は終了しました。治療の本数は患者様のご希望に合わせております。本数が増えても追加の費用はありません。
まずは1本だけ歯冠長延長術を行い、切除範囲や歯の大きさ、歯ぐきの長さ、歯と歯ぐきのマッチングを患者様に確認をして頂きます。
1本だけですが、このように違いがわかります。特にこの歯は、歯槽骨がとがっていたので、歯槽骨整形も同時に行いました。追加の費用はありません。
向かって左側(患者様の右側)を全て整えました。
左右の差がはっきりとわかります。
大きく綺麗になりました。
口もとを見てみましょう。
治療の成果がわかるように半分だけの状態で、患者様にもご確認を頂き、大変喜んで頂きました。
歯の形や歯ぐきの形、歯と歯ぐきのマッチング、口もとから見える歯ぐきの状態は完璧です。
左右の全ての歯を整えて、手術を終了します。
手術をするときは、局部の麻酔をします。
この麻酔自体も全く痛くありません。表面麻酔を併用していて、局部の麻酔をするときも痛くありません。
もちろん、治療中治療後も全く痛くありません。
治療時間は10分程度です。
費用は見える部分の左右合わせて、6本から10本くらいの範囲を患者様に決めて頂いています。追加の費用はありません。
手術費用は麻酔の費用、レントゲンの検査の費用、手術後のお薬の費用、手術後のお家ケアに必要な専用の歯ブラシの費用、診察の費用すべて込み込み11万円(税込)です。
最初の赤みのある歯ぐきは2日〜3日で落ち着きます。
手術後の痛みはありませんが、当日はお醤油とか唐辛子、キムチなどの刺激物はしみるかもしれません。
痛みはありませんが、もしものために痛み止めもお渡ししています。
手術後は専用歯ブラシで1週間ほどおうちケアをして頂いています。ベテラン歯科衛生士が、歯ぐきのケアの方法を伝授します。このおうちケアが綺麗な歯ぐきになって、再発しないポイントです。
歯ブラシも、歯科衛生士からのおうちケアの方法伝授も無料です。
11万円には手術治療費用、レントゲン検査費用、診察、歯ぐき検査費用、局部麻酔、表面麻酔、お薬、歯ブラシ、全て込み込みの費用です。
このように丁寧な診療を行なっている、カンファークリニックのオリジナルの方法なら、綺麗に治って後戻りはしません。
























