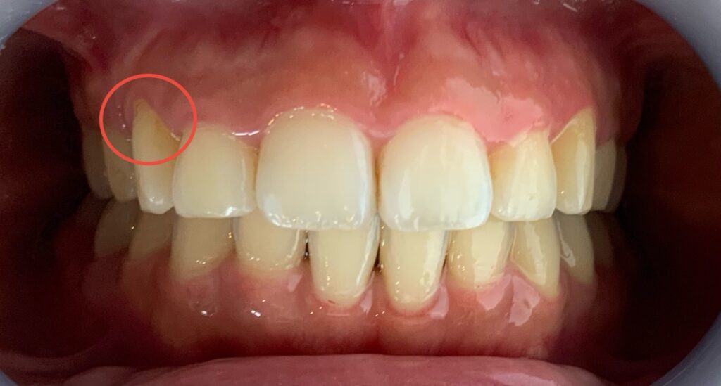
先日の犬歯に合わせて歯ぐきの形を整えた症例です。
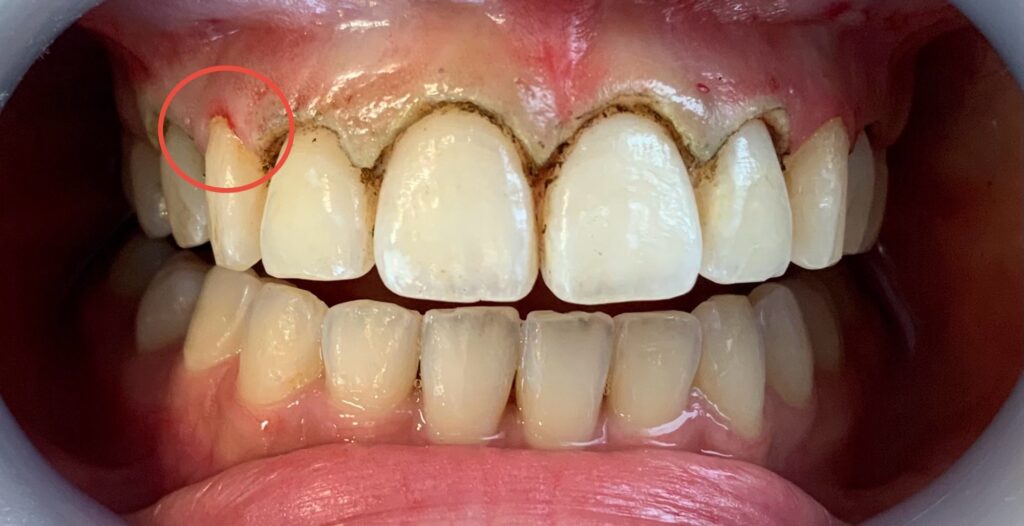
赤丸で囲っている部分。
切除していないのに、術後の写真は出血しています。
なぜでしょうか。


答えは、歯肉炎です。
犬歯は歯冠長延長はしていないのですが、術後に消毒薬をつけた綿球でなぞった際に、その刺激で出血しました。
ゴシゴシと力一杯こすった訳ではありません。
優しく拭いただけです。
歯肉炎で歯ぐきが腫れていると、柔らかい歯ブラシが当たった程度でも出血してきます。
歯周病が進行してひどくなると、何も触ってないのに出血することもあります。恐ろしい。。。
そうなる前に、ぜひ歯のメインテナンスを受けてください。
当院にいらしても、お近くの歯科医院でも構いません。
でも、、、
本音で言えば、一度私に診察させていただきたい✨
保険診療では、歯石を取れる範囲や回数の制限がありますので、せっかく定期的に通ってくださっているのに、、、と残念に思うこともあります。
遠方の患者様の中には、当院では年に一度のスペシャルケアを、お近くの歯科医院では定期的な日常のケアを、という患者様もたくさんいらっしゃいます。
一度診察させていただけましたら、当院やお近くの歯科医院に通う頻度などのアドバイスが出来ますので、ぜひお気軽にいらしてくださいね☺️







