ガミースマイルの歯冠長延長術のお話が続きましたが、気分を変えて、今回は歯のメインテナンスのお話です。
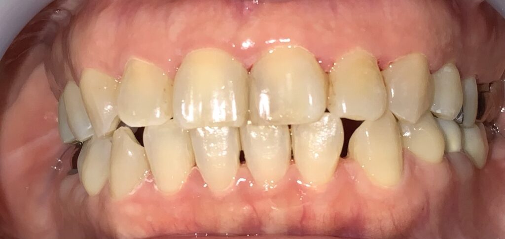
下の写真を見て、何かお気づきの点はありますか?

パッと見て感じるのは、全体的にプラークが付いていて歯の表面がざらざらしている感じです。
(3枚目の写真と見比べていただくと、表面の性状の違いが分かりやすいと思います。)
分かりやすく丸で囲ってみました。

🔵水色の丸→歯と歯の間にプラークが付いていて歯ぐきが腫れているところ
🔴赤丸→歯の表面にざらつきが特に多いところ
🟢緑の丸→歯と歯の隙間に歯石が付いているところ
🟣紫の丸→歯と歯の間のプラークが原因で歯ぐきの腫れが顕著なところ
他にも歯と歯ぐきの境目にプラークが付いているところなど、上げていけばキリが無い感じです。
清掃後▶︎▶︎

歯の汚れが取れて、ツルッとピカピカになっているのが分かります✨
歯と歯の間の隙間は、歯石やプラークで詰まっていたのが綺麗になって、本来の状態に戻ったかたちです。
この状態の歯を舌で触ると、ツルツルとしてとても爽快✨
ご自身で歯磨きをするときも、このツルピカの状態までもっていくのが理想です。
歯磨きが終わった後にも、歯を舌で触わる習慣をつけると、磨き残しの箇所が分かりやすいですよ。
口を閉じた状態で、順番に舌をゆっくり大きく動かしながらチェックすると、口輪筋や舌のトレーニングになりますし、唾液も良く出るので、一石三鳥✨
ご自宅で染め出して確認となると、わざわざ準備が必要で面倒ですが(あと、洗面台がピンクに染まったりとか、、)舌で触るだけなら何の道具も要りませんのでお手軽でオススメです。
話がそれましたが、ざらつきが残っているところはプラークが残っている、磨き残しのある部位です。
普段の磨き方の癖でおろそかにしやすいところや、歯並びが悪く磨きにくい部位が、下で触ると一目瞭然です。
ざらついている部位には、ぜひ、追い歯磨きをしてみてください🪥
ピンポイントでツルピカを実感するとともに、苦手部位を綺麗にしたという達成感が最高です✨
それでもツルピカにならない場合は、もちろん磨き方など聞いてくださいね!
簡単に磨けるようになるコツをお教えします😊
まずはメインテナンスでツルピカにして、その状態を次のメインテナンスまで継続しましょう✨










