以前に投稿した、10年選手の自然な被せ物の方です。(2025/12/05投稿)

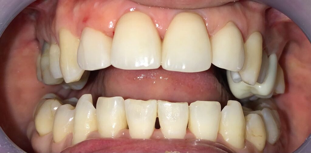
こちらに通院を始められた際の元々のお口の中の状況は、歯磨きが得意ではなく、メインテナンスもされていなかったので、歯の表面はもちろん、歯ぐきの中にも硬ーーーい歯石がこびり付いていて取るのが大変な状態でした。

歯石、プラーク(どちらも細菌の塊です💦)がたくさん付いているので、歯ぐきが炎症を起こし、何もしていなくても出血したり腫れたりする、ひどい歯周炎です。
大体3ヶ月くらいの間隔でメインテナンスに来ていただくと、来られるたびに歯ぐきが良くなっている!
3ヶ月間隔のたった3回のご来院で、出血や腫れがなくなりました✨
ひどい歯周炎の場合は、本当は最初の間隔をもっと詰めて来ていただいた方が望ましいですが、毎回スペシャルな手技で施術しますので、少ない来院でも改善が可能です😊
カンファークリニックでは、保険診療と違う特別なメインテナンスをしています。
保険診療で同じことを行うとなると、通院の回数も金額も桁違いです。(保険診療なのに…!)
内容を考えると料金設定が安すぎると、保険診療のクリニックの先生に言われたくらいです笑
お忙しい方なので、10ヶ月空いてしまった時もありますが、特別なメインテナンスをしているので、腫れや出血もなく、現状を維持しています。
初回は半額ですので、お気軽にご予約ください。
ぜひ良さを実感してくださいね✨










