一口に歯冠長延長術と言っても、歯の大きさの好みは人それぞれ違います。
歯の大きさ・本数ともに出来るだけ多く、大きさは控えめにしたいけど本数は最大限に、どちらも控えめに、バランスを整える程度に、、
皆様ご希望が違います。
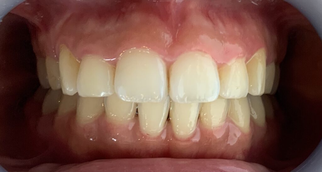
今回は、元々の犬歯の長さに合わせて歯の大きさを揃えた症例です。


犬歯に合わせての切除なので、犬歯は何も触っていません。
少なめの切除ですが、それでも印象は大きく変わります。
とてもスッキリして綺麗な歯並びも際立った印象になりました✨
ほんの少しの施術でも、印象は大きく変わります。
気になる方は、お気軽に無料カウンセリングにお越しくださいね☺️










