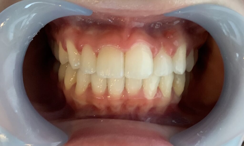
一見すると歯並びも整った綺麗なお口元です。

お口を広げる機械を入れてみると、

歯科矯正治療の影響もあり、
・歯ぐきの高さが不揃い
・矯正装置を外した部位の歯ぐきが腫れている
など、気になるということでご来院いただきました。
ご希望は向かって右真ん中の歯と大きさを合わせて全体を整えたいとのこと。
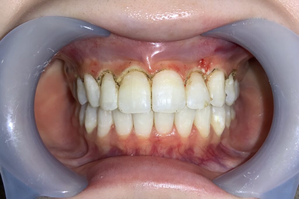
細かい繊細な施術もお任せください✨

バランスを整えて綺麗な歯ぐきになりました☺️
歯科矯正治療で歯並びが整っているので、歯ぐきの形の綺麗さが際立ちます。
歯ぐきは歯の額縁となるところなので、素敵な額縁に収まっていると一段と歯も輝きますね✨
ちょっとだけ整えたい、1ミリだけ、など細かいご要望も任せてください。
カンファークリニックでは、施術後にリタッチで調整も出来ますので、最初は控えめにしておいて後で微調整を、なども可能です。
まずは無料カウンセリングでご相談ください。
無理な勧誘などいたしません。他のクリニックでもご相談されて、比べてから決めてくださいね。
カウンセリング当日の施術をご希望の方はこちらからご予約ください。










