ニューヨークスタイル
マウスピース美容矯正
国内で唯一 カンファークリニック
だけが提供している治療方法
ニューヨークスタイルマウスピース
美容矯正=「顎顔面美容矯正治療」
お顔と噛み合わせの調和を考え、患者様一人ひとりにぴったりの治療を提供します。
当院独自のニューヨークスタイルマウスピース美容矯正で目指している治療は“顎顔面美容矯正治療”です。
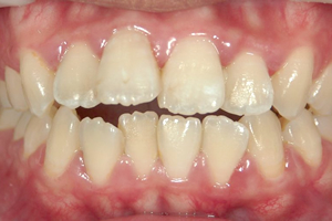
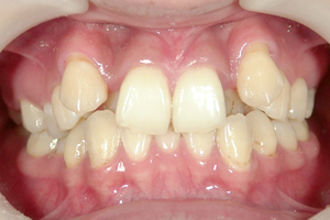
ニューヨークスタイルマウスピース美容矯正の特徴は、りんかくを含めた歯並びを改善する方法です。
最適なE-Lineを目指した矯正歯科治療をおこないます。
治療に必要な通院回数は最小3~4回です。
一般の矯正歯科治療やマウスピースシステムで治療できるシルエットとは異なる治療方法です。かみ合わせのバランス、歯並びのバランス、口元のフェイスラインのバランスを理想的な状態に誘導します。
カンファークリニックのニューヨークスタイルマウスピース美容矯正歯科では、各種検査による顔面のデザインと顔の中での口元の奥行や鼻、あご先とのバランスを考えた治療プランを提供しています。よい側貌(プロファイル)は、口もとだけでなく鼻からあご先までの一連のライン(e-line、Eラインなど)で形成されています。ですから歯並びとかみ合わせと側貌全体を診断して、計画を立てる必要があります。
ニューヨークスタイルマウスピース美容矯正治療中には3次元実態模型によるシングル・ダブル・トリプルスプリント法を使用して、くちびると歯の位置や鼻の位置、顎先の位置の良好な関係を再現した処置を行っています。口元から美しく自然なスマイル・アークを目指します。
患者様の「お悩み」に合わせた
プランをご提案
カンファークリニックでは、患者様一人ひとりの症状に応じた非外科的な治療方法として
ニューヨークスタイルマウスピース美容矯正の治療プランをご提案しています。
ガミースマイル
オープンバイト
ごぼ口
受け口
乱杭歯・八重歯
フェイスライン
この技術を提供できるクリニックは国内ではわずかしかありません。
通常の矯正歯科治療では、歯並びの改善が主な目的です。同時にかみ合わせを治療することもできます。私たちは、さらにフェイスラインやあごの形、ほうれい線や唇の形など、見た目の仕上がりにこだわっています。
咬合平面の角度を利用した下顎後退や上顎後退、歯軸傾斜を考慮した傾斜移動、あごの骨の動きを考慮した歯体移動、この技術を提供できるクリニックは国内ではわずかしかありません。
こんな方におすすめします!
歯並びだけでなく、かみ合わせ、見た目の改善をご希望される患者様にぴったりの治療です。
治療プランは出来るだけ、費用負担が少なく、期間が短く、抜歯や手術などの処置が少ない方法を患者様のご希望に応じて完全オーダーメード治療プランを作成します。
「インビザライン」「アソアライナー」
との違いについて
ニューヨークスタイルマウスピース美容矯正は、歯並びを治すだけのシステムではありません。
ニューヨークスタイルマウスピース
美容矯正の特徴
完璧な仕上がりを追求した
「美しい歯並び」

ニューヨークスタイルマウスピース美容矯正は、
歯並びの「仕上がり」は完璧にしたうえで、リップラインやフェイスラインの仕上がりにこだわります。
マウスピース矯正は「仕上がり」がよくないと思われている患者様が少なくないようです。
特徴1. 見た目の仕上がりに
こだわっています
ニューヨークスタイルマウスピース美容矯正は、
歯並びの「仕上がり」を完璧におこないます。
マウスピース作成の前処置段階で、1mmの1/10の精度の歯の動きを、独自のコンピューターシミュレーション技術により、制御コントロールします。そして、かみ合わせは上下の歯の当たり方、咬合平面の角度、顎関節の位置関係を治療前、治療後の状態をシミュレーターにインプットすることにより、人間工学に優れたかみ合わせの再構築を実現しています。
〜「見た目の仕上がり」にこだわった治療 〜
そして、歯並びやかみ合わせの仕上がりだけでなく、口角が挙上した場合のリップラインや顔面のシワ、たるみ、ほうれい線、リップリフト、オトガイ唇溝、フェイスライン、スマイルライン、二重アゴの改善を目指した、「見た目の仕上がり」にこだわった治療をおこなっています。
特徴2. 抜歯矯正でも対応が可能です
通常の抜歯をする矯正でもニューヨークスタイルマウスピース美容矯正なら、どんな症状にも対応することが出来ます。
他院にて、抜歯が必要なケースだから、マウスピース矯正はできないと言われた患者様にも、ニューヨークスタイルマウスピース美容矯正をおこなっています。
また、「抜歯が必要」と言われたケースでも、当院独自の検査、シミュレーションメソッド、ディスキング技術により、抜歯をしないで歯並びを改善するミニマムインベーシブコンセプトを採用していますから、抜歯が必要な場合が最小限になりました。
特徴3. ワイヤー矯正よりも
スピーディーな治療です
他院を受診し、マウスピース矯正はワイヤー矯正に比べて「遅い」といわれた患者様でも、ニューヨークスタイルマウスピース美容矯正なら、ワイヤー矯正と同じ期間、もしくはより早い短期矯正が可能なシステムです。
これは、独自のコンピューターシミュレーション技術と、多くの経験が治療に生かされているからです。
平均治療期間は9か月です。
ニューヨークスタイルマウスピースを作成する前段階で、歯、歯ぐき、歯槽骨、歯槽粘膜、顎骨と鼻尖、鼻根やあご先、おでこ(額)とのバランスを整えた、完璧な治療プランを作成し、そのデータをシミュレーションソフトにインストールして、ニューヨークスタイルマウスピースを作成するために、治療期間の短縮を図ることができます。
特徴4. 噛み合わせも同時に改善します
マウスピース治療は噛み合わせの改善が難しいと言われていますが、当院独自のニューヨークスタイルマウスピース美容矯正なら、前歯の歯並び改善と同時に、奥歯のかみ合わせもしっかりと整います。
上顎、下顎のかみ合わせと歯並びを整えることを同時におこなう治療は手技的にも難しいのですが、それ以上に唇からオトガイ(あご先)にかけての自然で美しいラインを得るのはとても難しい処置です。
それは、歯並び、かみ合わせ、顔の中でのあごの骨の位置を、どのように移動させるとバランスの良い形態が得られるのかを、美容的なセンスと経験で予測しなければならないためです。
特徴5. 輪郭矯正の非外科的な
新しい治療です
ガミースマイル、セットバック、オープンバイトなど、輪郭矯正の非外科的な新しい治療です。
カンファークリニックの成人矯正治療のコンセプトは機能性と整容性の融合です。まず見た目の印象が改善します。これは顔の中での適正な位置に顎の位置を合わせるように誘導するからです。
あごの位置が適正になると、かみ合わせる力が最大限に発揮できます。そしてフェイスラインが整います。
適正なかみ合わせと美しいフェイスラインの融合した治療は、このような治療プランを作成することにより、完成されます。当然ですがこのような治療プランは身体には負担がなく、費用の負担もぐっと抑えられます。
ニューヨークスタイルマウスピース美容矯正の流れ
カンファークリニック独自
「ニューヨークスタイル
マウスピース美容矯正」の流れ
1. カウンセリング
木下医師または田島医師と患者様のご希望(歯並び、かみ合わせ、ガミースマイル、スマイルライン、フェイスライン、エステティックライン、e-Lineなど)に沿った治療方針(マウスピース矯正、ワイヤー矯正、舌側矯正など)(治療期間、こだわりたい点、や具体的な治療方法(抜歯の要不要、ディスキングの要否、カウンセリングをおこない、治療方法を相談し決定します。
この時点で、お見積り、費用も確定します。
患者様はマウスピースができるまで、通院や準備は一切必要ありません。
頭蓋顎顔面分析用の顔写真や、レントゲンデータをマウスピース矯正専用のシミュレーションソフトに取り込みをおこないます。 取り込んだ患者様データをもとに、シミュレーターを操作して、治療をおこないます。歯の位置、歯の角度、歯を支える歯槽骨形態、奥歯のかみ合わせとフェイスラインやスマイルラインを調整しながら、マウスピース作成に必要なセットアップモデルを、コンピューター上で作成します。 同時にこの段階で、治療に使用するマウスピースの装着時間や装着期間を短縮します。
2. 治療開始
マウスピース装着を開始します。マウスピースは3か月分、およそ12セットから15セットをお渡しします。
毎週新しいマウスピースに付け替えて頂くだけで、スムースな治療が進みます。
通院は不要・およそ9ヶ月で治療終了
ただし、細かい部分をチェックするため、3か月から4か月目に一度、ご来院を頂き、矯正状態の確認をしております。 およそ9か月で治療が終了します。 治療が終了したら、保定期間に入ります。保定期間は動かした歯が元に戻らないようにするために大切な期間です。
当院では特に
「顔のパーツのバランス」を考えた
矯正歯科治療を得意としています。
治療に必要な通院回数は最小3~4回です。 当院の経験豊富なドクター達は世界中の最新情報を常に収集し、日々治療方法をアップデートしています。 これはスマートフォンやパソコンに例えれば、ごく当たり前のことです。わずかなことでも知識や技術を日々更新しなければ、適切な治療方法を提供できないと考えています。
ですので、診療日数が非常に少ないのですが、治療を受けられる患者様にはご理解を頂いております。
安心、安全、最新の治療方法を常に提供するように心がけています。
ニューヨークスタイルマウスピース美容矯正の詳しい治療方法
患者様それぞれのお悩み別の治療方法
ニューヨークスタイル
マウスピース美容矯正の料金
■ 治療開始前に費用の総額を提示させていただきます。
■ 治療期間の延長による費用の追加等はいっさいございません。
■ 治療費がふくらむ心配をおかけせず、安心して通院いただけるよう配慮しております。
■ 検査・診断後に決定した治療費総額を、初回金と残金の分割払いでお支払いいただきます。
相談・検査診断
相談と検査・診断は無料となっておりますので、お気軽に相談にいらしてください。
| 内容 | 料金(税抜) |
|---|---|
| 矯正相談料 | 無料 |
| 矯正検査診断料 | 無料 |
ニューヨークスタイル
マウスピース美容矯正
当院はトータル料金システム(矯正装置+調整費用+保定装置)を採用しております。下記以外の追加費用は発生致しません。
| 施術 | 料金 (税抜) |
|---|---|
| ニューヨークスタイルマウスピース美容部分矯正 | 800,000円 |
| ニューヨークスタイルマウスピース美容矯正ガミースマイル | 1,200,000円 |
| ニューヨークスタイルマウスピース美容矯正オープンバイト | 1,200,000円 |
※ 調整費用 無料
※ 保定装置 無料
※ ホームホワイトニングジェル1本無料(矯正治療とホワイトニングを同時に行うことができます。)
※ 追加ホワイトニンジェル 5,000円
当院のニューヨークスタイル
マウスピース美容矯正の分析方法
矯正治療には様々な種類のものがあります。それぞれに名前がついていますが、
それらは商品名であり、単に装置を使用すれば治るというわけではありません。
大切なのは診断・治療計画です

最先端の治療のためには様々な理論を応用しています。その応用の1つの理論として、マルチブラケット法などのワイヤー矯正の技術をマウスピース治療に一部応用する等といったこともあります。
当院では、「しっかり噛めて美しい」を理念に見た目の改善としてのフェイスラインや顔のバランスなどの造形的な美しさと完璧なかみ合わせによる健康的な美しさを考えた治療方法を考え、できるだけ身体的にも経済的にも患者様の負担が少なくなるような治療計画をご提案しています。治療後の結果は当然ですが、治療期間中の審美観にもこだわっている「ニューヨークスタイルマウスピース美容矯正」を提案させていただきます。
歯並び治療と同時に
フェイスラインを整える、
カンファークリニックだけの
バッカルファット治療
頬のたるみやしわ、口元のしわやたるみ、ほうれい線が原因でフェイスラインを乱している場合にお勧めをしている治療方法です。
矯正治療後は保定装置を使用しなかった場合、後戻りが生じる可能性高くなります。審美歯科治療は、破折、色調の再現に限界があります。









