歯のホワイトニング
カンファークリニックの
歯のホワイトニングプラン

カンファークリニックでは、医療ホワイトニングを行っております。医療ホワイトニングは、歯科医院で歯科医師、歯科衛生士が専門知識を持って、丁寧に施術する歯の漂白です。
ホワイトニングサロンと呼ばれる施設などで行うセルフホワイトニングとは使用できる薬剤も違うので、白さの程度も異なります。本気で歯を白くしたい方、結果を出したい方は医療ホワイトニングをご体験ください。
カンファークリニックのこだわり
カンファークリニックのホワイトニングは、しっかりと歯の清掃を行なった上で行います。
ホワイトニングは、歯の表面に特殊な薬剤を浸透させて歯を白くする方法です。歯の表面にプラークや歯石、着色汚れなどが付着していると、これらが薬剤の浸透を阻害し、結果的にホワイトニングの効果を低下させてしまいます。そのため、効果的なホワイトニングを行うためには、施術前に歯の表面の汚れや着色を取り除くクリーニングが必要です。クリーニングにより歯の表面がきれいになると、ホワイトニング剤がより歯に染み込みやすくなります。
また、歯は見た目ではきれいに見えても、バイオフィルムとよばれるお風呂の水垢のような細菌層の膜が歯の表面に付着しています。この膜もクリーニングによって取り除くことで、さらに薬剤の浸透がよくなり、ホワイトニング効果が高まります。
カンファークリニックでは、ホワイトニングをする歯だけではなく、全ての歯のプラークや歯石を除去します。
その後にホワイトニング剤が浸透しやすいようにホワイトニングをする歯の表面の汚れや着色、バイオフィルムをパウダークリーニングで取り除き、さらに専用のペーストを使い磨きあげます。
クリーニングは、オフィスホワイトニングの効果を最大限に引き出すための重要なプロセスで、施術前には必ず行うべき工程といえます。
カンファークリニックの
ホワイトニングが選ばれる
3つのポイント
カンファークリニックのホワイトニングは、一般的な歯科医院で行われているホワイトニングとはコンセプトや施術内容の点で大きく異なります。
カンファークリニックの歯のホワイトニングプランが本物志向の方に選ばれている理由は、
1. 歯と歯ぐきのトリートメントの徹底
2. 知覚過敏を起こさない処方
3. 本来の白さを導き出すホワイトニング剤の使用
この3点が一般的な歯科医院で行われているホワイトニングと大きく異なる点です。
| 施術前 | 施術後 |
|---|---|
![]() |
![]() |
そして知覚過敏の原因となるレーザーや
可視光線を使用しません。
医療ホワイトニングと聞くと、歯がかなり染みるというイメージをお持ちの方が多く、実際にそのような体験をされた方も少なくないと思います。カンファークリニックのホワイトニングはレーザーや可視光線を使わず、独自のメソッドで染みることなく白さを手に入れることができます。
光を照射する機械を装着して重たい思いをしたり、照射時の熱で熱い思いをすることもありません。
この方法はとても安全でありながら、白さの点で効果的な方法です。
カンファークリニックはただ歯を白くするのではなく、健康な歯が本来持っている艶や潤いを大切に考えます。
カンファーメソッドという長年の経験から生まれた独自の技術で、白さだけでなく、
歯の汚れ、黄ばみ、着色、歯の潤い、艶を改善します。
歯はとても小さく、口元は手や唇でかくしてしまうことも可能です。
しかし、丁寧にしっかりと清潔にお手入れした歯はとても美しいものです。
白い歯を通じて、多くの方に日々の健康と美しさの提供をしたいと考えています。
カンファークリニックでは、心を込めてお手入れをさせて頂きます。
歯のホワイトニングの種類
オフィスホワイトニング
![]() |
ご来院いただき、クリニックで高濃度の薬剤を塗布しますので、短期間で歯が白くなります。
一回のご来院で2〜4段階歯が白くなります。 クリニックでクリーニングをした後に行います。 短期間で白くなりますが、ホームホワイトニングと比べると持続期間は短いです。 |
ホームホワイトニング
![]() |
専用のマウスピースをお作りし、マウスピースに薬剤を入れて装着していただきます。オフィスホワイトニングと比べると、白くなるスピードは遅いですが持続期間が長いです。ご来院は一度だけです。1日2時間の使用で、好きな時間に使用できます。ご自身できちんと清掃をした後に行います。 |
デュアルホワイトニング
![]() |
オフィスホワイトニングとホームホワイトニングのいいとこどりです。オフィスホワイトニングで短期間で歯を白くし、ホームホワイトニングで白さを持続します。 |
歯のホワイトニングの流れ
オフィスホワイトニング
1. カウンセリング
![]() |
オフィスホワイトニングの内容、具体的にどのような効果が得られるのか、施術方法や流れ、費用などについてお話をします。また、歯科医師や歯科衛生士が現在の歯の状態をチェックします。 これは、口内がホワイトニングを受けるのに適した環境にあるかを確認するためです。 現在の歯の色も写真を撮って確認します。シェードガイドとよばれる色見本を使用して、歯の色を客観的に判断します。不安や疑問がある場合は、遠慮なさらずにカウンセリングの時点でお伝えください。 |
2. 歯のクリーニング
![]() |
歯に汚れが付いたまま薬剤を塗布しても、せっかくのホワイトニング剤が浸透せず、効果が半減してしまいます。カンファークリニックでは、ホワイトニングをする前に、歯のメインテナンス時と同じように丁寧に歯のクリーニングを行い、ホワイトニングの効果を最大限に活かせるよう施術しています。 |
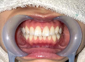
3. 唇の保護
![]() |
唇にホワイトニング剤が付かないようにリトラクターを付けます。リトラクターをつける際に唇を引っ張って痛くないようリップクリームを塗ります。 |
4. 歯ぐきの保護
![]() |
歯ぐきにホワイトニング剤が付かないように歯ぐき保護剤を塗布します。これにより、歯ぐきにダメージを与えることなく歯のきわまで均一に白くすることができます。 |
5. ホワイトニング
![]() |
ホワイトニング剤を歯の表面に塗布します。カンファークリニック独自の調合のホワイトニング剤を使用します。ホワイトニング剤を塗り、時間をおいて薬剤を浸透させた後除去するという工程を3回繰り返し、しっかりと薬剤を浸透させます。 |
6. 歯のコーティング
![]() |
ホワイトニング後は一時的に歯の表面のバリア機能が弱くなっています。表面の保護と知覚過敏の予防も兼ねてフッ素でコーティング処置をします。 |
7. 歯の色の確認
![]() |
施術後の歯の色を確認します。歯の色調がイメージ通りの白さになっているかをご確認いただきます。 また、ホワイトニング施術後のメインテナンスや注意事項についてご説明します。 |
ホームホワイトニング
1. カウンセリング
![]() |
ホームホワイトニングの内容、具体的にどのような効果が得られるのか、施術方法や流れ、費用などについてお話をします。また、歯科医師や歯科衛生士が現在の歯の状態をチェックします。 これは、口内がホワイトニングを受けるのに適した環境にあるかを確認するためです。現在の歯の色も写真を撮って確認します。シェードガイドとよばれる色見本を使用して、歯の色を客観的に判断します。不安や疑問がある場合は、遠慮なさらずにカウンセリングの時点でお伝えください。 |
2. ホワイトニング用
マウスピースの型取り
![]() |
型を取り、ホワイトニング用のマウスピースを作成します。 |
3. ホワイトニング用
マウスピースのお渡し
![]() |
基本的には郵送でのお渡しをしています。マウスピースの装着にご不安がある場合はご来院して装着を確認していただくことも可能です。 |
4. ご自宅でのホワイトニング
![]() |
日中や就寝前などのお好きな時間に1日1回、2時間を目安にマウスピースを装着していただきます。 |
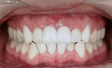
歯のホワイトニングの症例
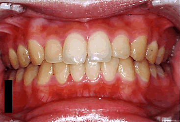
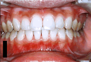
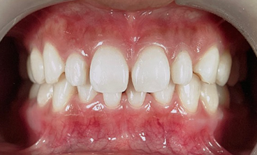
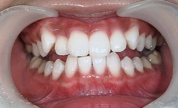
case1:歯のホワイトニング
| 施術前 | 施術後 |
|---|---|
![]() |
![]() |
施術前にしっかり歯のクリーニングをし、着色も落とした後にホワイトニングをすることで効果的に薬剤が浸透します。
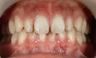
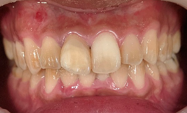
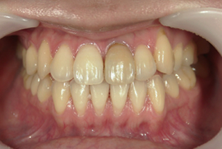
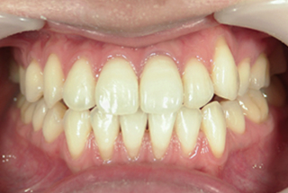
case2:歯のホワイトニング
| 施術前 | 施術後 |
|---|---|
![]() |
![]() |
ホワイトニングの効果が出にくい歯質ですが、カンファークリニック独自の調合のホワイトニング剤を使ってしっかりとホワイトニングします。
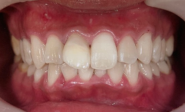
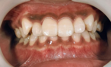
case3:歯のホワイトニング
| 施術前 | 施術後 |
|---|---|
![]() |
![]() |
上の前歯を被せ物で歯並びを整え、被せ物の色と合わせて他の歯をホワイトニングしています。
case4:マッチングホワイトニング
| 施術前 | 施術後 |
|---|---|
![]() |
![]() |
カンファークリニックでは、全体的なホワイトニングと部分的なホワイトニングを行なっており、真ん中の歯の右側の歯は、とても色が変色しています。
このような場合は個の1本だけをブリーチ処理をして、他の歯をカンファークリニック特製ホワイトニング材を使用して、全体の色を白くしながら、部分的なマッチングも行なっています。
case5:歯と歯ぐきのホワイトニング
| 施術前 | 施術後 |
|---|---|
![]() |
![]() |
歯ぐきの黒ずみはお薬を塗るだけの簡単な処置で治すことが出来ます。
歯のホワイトニングと合わせて歯ぐきのホワイトニングをすることで歯の白さも際立ちます。
※ホワイトニングは、場合によっては後戻り・知覚過敏になる可能性があります。
歯のホワイトニングの料金
| 施術 | 料金(税込) | |
|---|---|---|
| オフィス ホワイト ニング |
歯石取り、 クリーニング付き ※本数による追加料金などはありません |
22,000円 |
| ホームホワイトニング | ホームホワイトニング用マウスピース | 11,000円 |
| ホームホワイトニング用ジェル1箱(2本入り) | 3,800円 | |
| デュアル ホワイト ニング |
オフィス ホワイトニング2回 + ホームホワイトニング 用マウスピース + ホームホワイトニング用ジェル1箱(2本入り) |
55,000円 |
































