ニューヨークスタイル
マウスピース美容矯正
- ガミースマイル
||| ページ内目次
ガミースマイルとは
上唇からおよそ4mm以上が
露出された状態

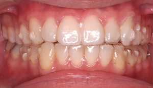
「笑うと歯ぐきが見えてしまう。」
「笑った時に口もとがお顔の中で目立ってしまう。」
このような状態をガミースマイルと呼びます。上唇からおよそ4mm以上が露出された状態です。
ガミースマイルはくちびる、歯ぐき、くちびるの裏側の粘膜、口周りの筋肉、歯を支える骨のどこかに問題点がある場合に「歯ぐきが見えすぎる」という症状となって現れます。
ニューヨークスタイル
マウスピース美容矯正で
ガミースマイルを改善
「ガミースマイル」矯正治療
のポイント
ポイント①
歯ぐきの同時治療をおこないます。
通常のマウスピース矯正治療では、歯並びの改善を目的に治療をおこないます。この治療方法では、「歯並び」は治りますが、ガミースマイルの改善になりません。
ガミースマイルを改善するためにおこなうニューヨークスタイルガミースマイル矯正は、歯並びだけではなく、歯と歯ぐきの矯正を同時におこないます。
ポイント②
口もとの美しさを重視します。
ニューヨークスタイルガミースマイル治療は、原則として上下の治療をしなければ、噛み合わせが合わなくなってしまいます。歯ぐきが見えないように、上の前歯を単純に押し上げるのではなく、奥歯のかみ合わせの位置を基準にして、鼻腔底(お鼻の最下面の骨)から前歯の歯槽骨まで、前歯と歯ぐきが短くなるように長さを決定し、矯正します。
ここが単純な歯並び治療と異なる点です。
(前歯だけで治すと、下顎の回転による受け口様の顔になってしまい、歯並び治療もガミースマイル治療も失敗します。)
ポイント③
歯ぐきの長さ、歯の大きさを
根本から解決します。
ニューヨークスタイルガミースマイルの治療は、歯と歯ぐきと同時に、歯の大きさや上顎骨、上顎歯槽骨の同時改善をおこないます。セットバック手術が必要であった患者様でも、多くの場合、セットバック手術をしないで、改善することが出来るようになりました。
見た目だけでなく、前歯のかみ合わせの面(咬合平面)の角度の改善も同時におこない、嚙み合わせもしっかりと整えることが出来ます。
治療の流れ
ニューヨークスタイルマウスピース
美容矯正ガミースマイル治療の流れ
ステップ1:診断
レントゲンやCT、頭部エックス線規格写真、顔面写真、かみ合わせ模型を用いて、診断用分析表を作成します。

ステップ2:治療計画
型取り
マウスピース作成のために、非常に精密な歯型をとります。

3D画像の作成
コンピューターで3D画像を作成します。

シミュレーション
1本1本の歯の当たり方、前歯から奥歯へのきれいな歯並び、上下のかみ合わせ、あごの関節への負担、フェイスラインやあご先の形態、エステティックラインなどかみ合わせと容貌がが整うようにシミュレーションを行います。
シミュレーションの結果は、実際に画面で確認していただいております。

ステップ3:マウスピース作成
患者様の要望はお一人お一人異なります。その患者様のご希望を治療プランに組み込み、プラン決定後に、3D画像を元にマウスピースを作成します。

ステップ4:装着
実際の治療スタートはマウスピースを付けるだけです!マウスピースの着け外しや、交換のタイミング等の説明をいたします。治療期間中に装着するマウスピースが、他人に気が付かれる心配はありません。とてもきれいなマウスピースです。
食事もおいしく頂けます。好きな時に取り外すことが出来ます。
また、ホワイトニング剤をマウスピースの中に流し込めば、ホワイトニングもできて白い歯になります。



料金
■ 治療開始前に費用の総額を提示させていただきます。
■ 治療期間の延長による費用の追加等はいっさいございません。
■ 治療費がふくらむ心配をおかけせず、安心して通院いただけるよう配慮しております。
■ 検査・診断後に決定した治療費総額を、初回金と残金の分割払いでお支払いいただきます。
相談・検査診断
相談と検査・診断は無料となっておりますので、お気軽に相談にいらしてください。
| 内容 | 料金(税抜) |
|---|---|
| 矯正相談料 | 無料 |
| 矯正検査診断料 | 無料 |
ニューヨークスタイル
マウスピース美容矯正
| 施術 | 料金 (税抜) |
|---|---|
| ニューヨークスタイルマウスピース美容矯正ガミースマイル | 1,200,000円 |
※ 保定装置 無料
※ ホームホワイトニングジェル1本無料(矯正治療とホワイトニングを同時に行うことができます。)
※ 追加ホワイトニンジェル 5,000円









