上顎前突(出っ歯)の
治療方法
||| ページ内目次
カウンセリング〜
シミュレーション
![]() |
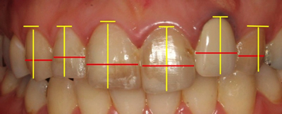
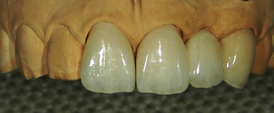
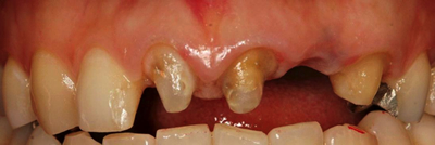
この写真は左上の前から2番目の差し歯の土台となっている歯の根が折れてしまい、抜歯と診断されたため、相談に来られた患者様です。丁寧にカウンセリングを行っていったところ、実は、昔交通事故で前歯を打ち、歯の神経の治療等を行っていたことがわかりました。 |
![]() |
歯の色がかわり、また、前に飛び出した歯やガタついた歯並びと歯茎のラインも気にされていました。レントゲン検査や歯型模型検査、診査を行った後、いくつかの治療プランを提示しました。患者様はハリウッドスマイルセラミック法を選択されました。 |
![]() |
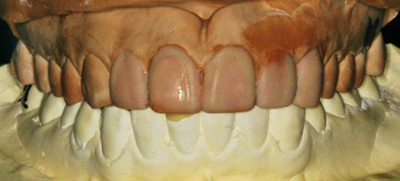
初診時の写真と歯型から、1本1本歯の大きさ、角度などを詳細に調べ上げ、咬合器を使った咬みあわせの検査を行い、問題点を抽出した後、理想的な治療のゴールのシミュレーションを行います。 |
これをもとに、仮の歯を作るための歯形をとり、仮の歯を作ります。仮の歯があれば、思いもよらない虫歯があっても削ったままになることはありません。カンファークリニックは、治療を行なう場合には必ず仮の歯が入ります。
歯ぐきのトリートメント
![]() |
実際の治療の際は歯茎を傷つけないようにするために、歯と歯ぐきの境目に特殊な糸で保護します。歯型を取る際も特殊な糸を使用して歯ぐきの形を整えて、歯ぐきのトリートメントを行なったうえで、歯茎の中まで形を整え歯の形を作ります。多くの患者様は歯ぐきのトリートメントをしたことがないので、とても大切な治療であると私たちは考えています。 |
仮の歯の装着
歯の形を整える作業(歯を削る作業)の時に重要なことは、滑沢で、滑らかな一筆書きのラインをだすことです。また、0.01mmレベルの正確な左右の対称性です。歯を削ったこの時点での歯の形が綺麗でなければ、最終的なセラミックスクラウンをかぶせたとき、歯並びが美しく整うことはありません。
私たちカンファークリニックではドクター全員が高倍率の拡大鏡を使用し、丁寧に仕上げています。
![]() |
そしてシミュレーションを行い作成した仮の歯を装着し、歯と歯ぐきの健康を保ちます。ここで私たちが大切にしていることは、最終のかぶせものと仮の歯の形が同じであることです。医学的には歯と歯ぐきにぴったりと合っていることは大原則です。 |
この状態で歯ぐきの炎症や、咬み合わせ、歯の形や角度の最終確認を行います。すべての項目においてチェックができたら、最終的な歯型取りをします。仮の歯の状態で最終確認をして頂けます。ゴールまであと少しです。
セラミックスクラウンの製作
(色づけ、キャラクタライジング)
かぶせものを精密かつ正確に製作することは大変難しいことです。
なぜなら、歯は固く、歯ぐきは柔らかく、歯の本数が増えると歯と歯の平行性やバランスが関わってきます。そのため、カンファークリニックでは歯型を取る印象材そのものの素材選びを大切にしています。私たちカンファークリニックでは、シリコン製のゴムの材料を使用します。
![]() |
シリコンは材料が非常に高価ですが、歯にピッタリとしたかぶせ物をつくるには、大変優れた材料です。なぜ歯型を取る材料にこだわるかと言えば、どんなに優秀な技工士さんが一生懸命にかぶせものを製作したとしても、型が正確でなければ、精密な被せ物はできません。型取りの精密さが、詰め物、かぶせ物が歯や歯ぐきに合うか合わないかを決定します。 |
![]() |
私たちカンファークリニックはかぶせものを歯と歯ぐきにぴったりと合わせるために特殊な工夫をしています。方法として、歯型を取る際に歯ぐきに糸を2本使用します。1本目は歯ぐきの浸出液を抑えトリートメントの役割です。2本目は歯ぐきの形を整える整形的な役割があります。 |
![]() |
次に色合わせです。歯の色を合わせるのに使用する道具にシェードガイドというものがあります。シェードガイドとはセラミックを焼き上げて歯の形に似せて作った色見本のことです。色調は4系統にわかれており、明るさはそれぞれの色調で4段階あります。したがって計16種類の色が揃っています。 |
カンファークリニックならではの
シェード
カンファークリニックでは特殊な方法により、さらに細かく分類しています。4系統をさらに3系統ずつに分類し、12系統にしました。明るさは4段階をさらに細かく4段階に分類し16段階にしました。12系統に16段階の色選びができることになります。この中から周囲の歯の色に最も合った色(シェード)を選択し、セラミックの歯を作製します。
基準となる色が決まったのなら、その人の持つ歯の色、透明感、表面の特徴を持たせることで美しい天然歯を再現することができます。歯の先端には透明感があり、表面の凹凸も人それぞれです。そのため、写真の撮り方も重要です。撮影する角度によって光の反射も違うので、上、下、横と様々な角度から撮影します。
![]() |
セラミックは白くなりすぎて、ウソっぽくみえてしまう、と心配される方もいらっしゃるかもしれません。その人の持っている歯の特徴を再現し、一つ一つの表情に変化を持たせることで、そのようになることはありません。このような過程を踏むことで、美しいセラミックスクラウンが出来上がります。 |
完成〜装着
そして装着です。ここで失敗したのなら、今までの過程もすべて水の泡です。歯と歯ぐきまでぴったりと適合しているか、咬み合わせはずれていないか。奥歯のずれがなく、しっかりと咬めているか。1つ1つ確認作業を行っています。
セラミックスクラウンを装着する際、使用するセメント(接着剤)はたくさんの種類があります。カンファークリニックでは、最新の接着力が強く、また強度の高い接着性レジンセメントを使用しています。この接着剤により、セラミックスクラウンは歯と一体化し、高い強度が保たれます。また、ハリウッドスマイル法で使用するセラミックスクラウンは透明度が高いため、セメントの色調選択も重要です。土台となる歯の色調と、セラミックスクラウンの色調に調和する色を3-5種類の中から選択します。
そしてセット後に重要なチェックはセメントの取り残しです。はみ出た余剰部分のセメントは、異物です。炎症の原因ですから、綺麗に取り除く必要があります。カンファークリニックでは全員のドクターが高倍率の拡大鏡を使用し除去しています。

カウンセリングからしっかりとお話しを伺いシミュレーション通りの仕上がりになりました。
治療例
出っ歯、歯並び
| 治療前 | 治療後 |
|---|---|
![]() |
![]() |
ガタガタな歯並びと出っ歯の治療です。出来るだけ抜歯をしたくないと患者様のご希望があり、上下の歯をカンファークリニックのオリジナルデザインのハリウッドスマイル法で歯の形や方向を整えて、治療をおこないました。歯並びも、歯の色も自然に再現しています。
前歯
| 治療前 | 治療後 |
|---|---|
![]() |
![]() |
カンファークリニックでは、ねじれて曲がってしまっている歯や、かみ合わせに、ニューヨークスタイルマウスピース美容矯正、ハリウッドスマイル治療をおこなっています。上の前歯4本のハリウッドスマイル治療により、歯の形、角度、色、バランスを自然な感じに仕上げました。
ハリウッドスマイル
セラミック矯正の料金
歯の色、艶、透明感を改善した上で、
歯並びも美しくできる治療法です。
ハリウッドスマイル法で治療を行う際には以下の内容を選択頂きます。
1. 治療する歯の本数を決める
2. セラミックの種類を決める
3. ファイバーポストの本数を決める
| セラミックの種類 | 料金(税抜) | |
|---|---|---|
![]() |
ハイブリッドセラミック | 80,000円/本 |
特徴・利点
ハイブリッドセラミッククラウンは、レジン(歯科用プラスチック)にセラミックを混ぜた素材です。レジンは変色しやすいという欠点があり、セラミックには破損しやすいという欠点があります。
その両者の欠点をうまくカバーし、セラミックの変色しない特性とレジンの粘り強さを混ぜ合わせた素材がハイブリッドセラミックです。
•色が天然歯に近い
•硬すぎず、粘り強さを併せ持ち、適度にすり減るので周囲の歯を傷めにくい
•金属を使用していないので、金属アレルギーが起こらない
欠点
•純粋なセラミックよりも強度が劣る
•セラミックより汚れが付着しやすい。
•3年から5年で変色しやすい。
| セラミックの種類 | 料金(税抜) | |
|---|---|---|
![]() |
ハイクオリティセラミック | 120,000円/本 |
特徴・利点
強度があり、しっかりとしたかみ合わせができます。色の安定感もあり、最初に入れた色で10年以上経過しても変わる事はありません。白い部分は陶器、内面はジルコニア、アルミナなどの特殊素材を使用し、体の中でアレルギーを起こす心配もありません。1本1本手作りです。見た目では天然歯とわからないくらいきれいです。ただ、内冠のジルコニア、アルミナと外冠の陶器を焼き付けして作成するので、ジルコニアセラミックと比べると、陶器の部分の剥離が発生することがあります。見た目の問題になることはありません。
ジルコニアセラミックと比べても見た目ではほとんど区別つがつかないくらいです。
欠点
陶器の部分はかける可能性があります。内冠と外冠の剥離が発生することがあります。
| セラミックの種類 | 料金(税抜) | |
|---|---|---|
![]() |
プレミアジルコニアセラミック | 150,000円/本 |
特徴・利点
強度があるのでしっかりとしたかみ合わせができます。また、色は最初に入れた色で10年以上変色する事がありません。白い部分は陶器で出来ており1本1本手作りです。見た目では天然歯と変わりません。内面から表面にかけてジルコニアと呼ばれる特殊な白い材質を多層使用しています。土台の色が透ける事はありません。
欠点
部分的に陶材で造られています。陶材の部分だけ、かみ合わせによっては剥離する可能性があります。
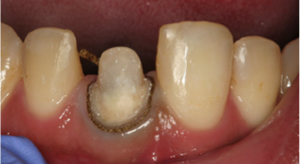
ファイバーコアポスト
根っこの治療が終わりお薬を詰めた後には、歯の内部を強化する治療を行っています。歯の土台となる芯棒を装着し、歯の強化と、歯の角度や大きさの矯正を行います。
構造はポストの部分とコアの部分です。
ファイバーコアは柔軟性があり歯に優しく噛み合わせによる衝撃にも優しい材質です。経過年数が経っても白い土台ですので黒く透ける事はありません。
ファイバーコアに使用するファイバーポストは1本よりは2本、2本よりは3本使用した方が良いのですが、歯の大きさや歯の根の大きさによっては1本しか入らない場合、4本入る場合がありますので、状態に応じてアドバイスをしています。
オールセラミックを入れる方はこの、ファイバーコアを入れる事をお勧めします。

写真で見る様に金属製の物はグレーに透ける事がありますが、ファイバー製の物を入れる事で天然歯と同様のセラミックを入れる事ができます。
| 内容 | 料金(税抜) |
|---|---|
| ファイバーコアポスト 1本 |
18,000円 |
| ファイバーコアポスト 2本 |
22,000円 |
| ファイバーコアポスト 3本 |
25,000円 |
審美歯科治療は、破折、色調の再現に限界があります。

























