ガミースマイルの治療
口もとのコンプレックスの1つ
「ガミースマイル」

笑顔は幸せを送ることが出来る宝物
私たちの笑顔は、自分自身にも、周囲の人にも、幸せを送ることが出来る宝物です。
しかし、自分自身が抱えるコンプレックスによって、その笑顔を100%発揮できないとしたら、とても残念なことです。
「笑うと歯ぐきが見えてしまう。」
「笑った時に口もとがお顔の中で目立ってしまう。」
このような状態をガミースマイルと呼びます。
上唇からおよそ4mm以上が露出された状態です。
歯ぐきは通常、お口の中ですから、見えません。
友人や知人との会話の中で、こぼれる笑顔は、相手に好印象なハズです。
しかし、笑うことにより歯ぐきが極端に見えてしまうと、自分自身は意識していなくても、会話をしている相手は、目線が口もとに集中してしまいます。
ガミースマイルである本人は、口もとへの視線を感じ、笑った時に見える歯ぐきを隠そうとして、口もとを手で覆ったり、下を向いたり、歯ぐきが見えないような不自然な唇の動かし方をしたり、無意識のうちに様々な癖を身につけてしまいます。
やがて、笑顔が少なくなり、精神的な病気になってしまう方もいらっしゃるくらいです。
ガミースマイルのセルフチェックポイント
・ 歯並びが良い場合でも
ガミースマイルになります
・ 歯の大きさや長さは正常でも、
ガミースマイルになります
・ 歯ぐき自体は出ていなくても、
ガミースマイルになります
・ 出っ歯でなくても
ガミースマイルになります
・ 歯ぐきの骨に凹凸がなくても、
ガミースマイルになります
治療は原因に応じた、処置を
おこなえば、しっかりと治ります。
自分自身で悩まず、まずは現在の状態や、希望をしっかりとお伝えください。
ガミースマイルの方は、見た目だけでなく、健康にも重大な障害をもたらします。
笑うたびに、歯や歯ぐきが露出することで、本来は唾液によって保護されている粘膜が、口腔乾燥症(ドライマウス)と呼ばれる状態になりやすく、お口の中の乾燥を招きます。結果的に口の中の細菌の活動が活発になり、虫歯や歯周病、呼吸器感染症に至ることもあるのです。
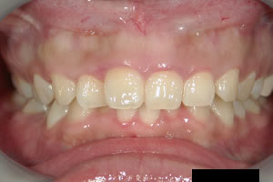
| 治療前 | 治療後 |
|---|---|
![]() |
![]() |
カンファークリニックの
ガミースマイル治療

あなたにぴったりの治療法をご提案
ガミースマイルはくちびる、歯ぐき、くちびるの裏側の粘膜、口周りの筋肉、歯を支える骨のどこかに問題点がある場合に「歯ぐきが見えすぎる」という症状となって現れます。
カンファークリニックでは、歯ぐきの見え方(症状、状態)、原因(粘膜、歯並び、歯槽骨、上顎骨)によって
あなたにぴったりの治療法をご提案しています。
原因に応じた治療を
選択する重要性について
ガミースマイル治療で最も重要なことは、原因に応じた治療を選択することです。
くちびるの裏側には口腔前庭と命名されている解剖学的な空間があります。
また、唇の粘膜と歯ぐきを結ぶ上唇小帯と命名されているひだが存在しています。
さらに唇の周囲には、表情筋の中でも上唇挙筋群である上唇鼻翼挙筋、上唇挙筋、小頬骨筋、大頬骨筋、口角挙上筋と命名されている筋肉が存在し、これらの解剖学的な作用によって上の唇が上がったり、下がったり、時にはつぼめたりしています。

上唇挙筋群がガミースマイルの
原因である場合
![]() [上記画像] 1:上唇鼻翼挙筋 2:小頬骨筋 3:大頬骨筋 4:口角挙筋 5:上唇挙筋 |
上唇鼻翼挙筋、頬骨筋、口角挙筋などの上唇挙筋群がガミースマイルの原因である場合に、上顎骨骨切り術を併用しても満足な治療効果は得られませんし、過剰な処置(オーバーサージェリー)となり、患者様にとって、身体的、金銭的な過剰負担になるだけです。
上唇挙筋短縮術をおこなう場合も、ガミースマイルの原因となっている筋肉の短縮をおこなう必要がありますが、表情筋(顔面筋)の一部である上唇挙筋群は、髪の毛ほど細い筋肉が束になって筋層を作り、相互に絡み合った筋層を持っていますから、確実な筋層の短縮処理をおこなわなければ、不自然な笑顔になるだけでなく、引きつれや口唇閉鎖不全など日常生活の支障をきたします。
歯の長さや生え方に原因がある場合
歯の長さや生え方に原因がある場合、歯ぐきへのアプローチ、歯槽骨へのアプローチ、歯へのアプローチが考えらえますが、当院では、独自のガミースマイル矯正をおこなうことで、歯冠長延長術や粘膜切除、歯肉整形などの処置が不要になります。
粘膜切除術をおこなっても効果が感じられなかったり、後戻りをしてしまった場合は、原因と処置内容が合致していない場合がほとんどです。このようにガミースマイルは複雑な原因が相互に絡み合っている症状ですから、検査、診断に基ずく治療方法を選択しなければなりません。
このように記載すると、難しく考えてしまうかもしれませんが、患者様のご希望に応じた、しかも最も簡単で単純な処置方法を、症状に応じた多くの選択肢の中から、選ぶことが出来る点が、美容整形外科や、美容外科でおこなうガミースマイル治療の治療方針とは大きく異る点であると思います。
患者様のお悩み、ご希望に応じた
治療方針を提案します。
ガミースマイルの治療法は、下記症状によって異なります。
・ 歯ぐきにアプローチする場合
・ 歯にアプローチする場合
・ 上顎下顎歯槽骨にアプローチする場合
・ 真性、仮性靭帯組織にアプローチする場合
・ 上唇挙筋群にアプローチする場合
カンファークリニックでは様々な症状に応じた、
適切な処置方法を、最新の知識と技術によって、患者様のお悩み、ご希望に応じた治療方針を提案しております。
セカンドオピニオンを
ご希望の患者様へ
カンファークリニックでは、「歯冠長延長術をしたけれど後戻りをした」「ボツリヌストキシン注射をしたが、効果が感じられない」など、他院やり直しや、再相談にいらっしゃる患者様が大変多くいらっしゃいますので、他院の治療後でもご遠慮なく、ご相談にいらしてください。
大切なことは、「希望の状態に治すこと」です。
このように、ガミースマイルの治療をおこなううえで、ガミースマイルの症状の原因を把握することは、とても重要です。
歯の生え位置、歯並び、粘膜の深さ、唇の動き、上唇挙筋の強さ、長さ、歯槽骨形態、上顎骨形態、顔面骨全体における上顎骨、上顎歯槽骨の位置など、唇、歯並び、粘膜、歯肉、口腔前庭、歯槽骨、上顎骨等治療方針を決定するにあたり、多くの要素を検討する必要があります
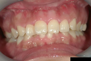
| 治療前 | 治療後 |
|---|---|
![]() |
![]() |
ガミースマイルの原因
ガミースマイルは歯並びや
かみ合わせが密接に
関係しています。
ガミースマイルの原因は、大きく分けて、歯の問題、粘膜の問題、筋肉の問題、じん帯の問題、骨の問題の5つがあります。
| 歯の 問題 |
・歯の生え方 ・歯の角度 ・歯の生えている位置 ・口唇とのバランスや位置 |
|---|---|
| 粘膜の 問題 |
・歯周ポケットの状態 ・歯周靭帯の状態 ・歯肉の状態 ・口唇粘膜の状態 ・口腔前庭の状態 ・可動粘膜と非可動粘膜の状態 |
| 筋肉の 問題 |
・上唇鼻翼挙筋の長さ、強さ、たるみの状態 ・頬骨筋の長さ、強さ、付着部位、たるみ、バランスの状態 ・口角挙筋の長さ、強さ、付着状態 ・たるみ、バランスと上唇挙筋群が付着する口輪筋や眼輪筋との位置関係 ・下唇下制筋群とのバランス ・拮抗筋とのバランス |
| じん帯の 問題 |
・皮膚と筋層をつなぐ仮性靭帯、真性靭帯の付着やバランス |
| 骨の 問題 |
・歯槽骨と顔面骨の位置関係 ・歯槽骨と歯の生え方の位置関係 ・歯槽骨と上顎骨の位置関係とバランス ・歯槽骨、上顎骨、顔面骨3者の位置関係とバランス ・上顎骨、下顎骨、上顎歯槽骨、下顎歯槽骨における、口腔容積と顔面骨の比率の関係 |
ガミースマイルの治療方法
治療法1. 上唇挙筋群短縮
10点留め治療
上唇挙筋群短縮10点留め治療は、基本的な治療方法は上の唇の裏側の粘膜を一部切開して、
上の唇を持ち上げる筋肉を糸を使って短縮する方法です。
身体に無理がなく、歯や歯ぐきに負担がかからず、歯ぐきを不自然に見せることなく、自然な笑顔を作ることができます。
上唇挙筋群短縮10点留め治療のポイント
・ 15分ですべての手術が終わる
・ 日帰りで手術ができます。
・ 上唇挙筋群の繊細な処置が可能
・ 身体に無理がなく、歯や歯ぐきに負担がかからない
・ 局所麻酔でできる比較的簡単な治療方法
治療法2. 粘膜切除、
口腔前庭縮小手術
基本的な治療方法は、上のくちびるの裏側の粘膜の一部分を切除してくちびるの上がり方(可動域)を調整する方法です。
唇の内側と歯茎の上の方の粘膜を切除し、縫い合わせる事で、笑った時に唇が上がりすぎないようにする手術です。 歯や筋肉、じん帯、骨格が原因ではなく、単に上唇が上がりすぎてしまう場合は、粘膜切除術がおすすめです。
局所麻酔で出来る簡単な処置の1つです。
カンファークリニックのガミースマイル粘膜切除修正術はガミースマイルの患者様の適切な助けとなる治療方法であると考えています。
粘膜切除、口腔前庭縮小手術を
適応する患者様の例
・口腔前庭が深い
・可動粘膜が広い
・歯並びが良い
・歯ぐきの盛り上がりがすくない
・歯の傾斜角度が浅い
粘膜切除、口腔前庭縮小手術のポイント
・ 局所麻酔で出来る簡単な治療法
・ 腫れや痛みはほとんどない
・ 食事がとりにくくなったり、不自然な笑顔になることがない
治療法3. 歯冠長延長治療
歯冠長延長術とは、歯と歯ぐきの境目を、適正な解剖学的な形態に整える治療手術です。
口腔前庭縮小術や上唇挙筋短縮術のように、笑った時の上口唇の動きにはいっさい手を加えず、笑った時に見える歯ぐきの面積を縮小させることで、歯ぐきを目立たせないようにし、手術の治療効果を最大限に発揮する、ガミースマイル改善には、優れた方法の1つです。
出っ歯の方や歯並びが不ぞろいな方、歯の生え際が不ぞろいな方にもお勧めできる治療方法です。
歯冠長延長治療を
適応する患者様の例
・歯が短い、小さい
・歯周ポケットが深い
・歯周靭帯がゆるんでいる
・歯並びが悪い
・出っ歯
・歯が生えている位置が低い
・上顎歯ぐきの骨のボリュームがある
・過蓋咬合
・上顎の突出
歯冠長延長治療のポイント
・ 歯の生え際の歯ぐきを整える治療方法
・ 歯ぐきを整えるだけの治療であれば、10分程度の処置で終了
・ 後戻りもなく、美しい口元をいつまでも維持することが可能
・ 手術部位の腫れは、ほとんど出ない
治療法4. ガミースマイルボツリヌス
唇を持ち上げる筋肉の部分にボツリヌス毒素を注射する方法です。
ガミースマイルの原因となっている「過剰な上唇の挙上(上唇が上がりすぎる状態)」を抑制するため、
上唇の上げ下げをコントロールしている上唇挙筋郡にボツリヌストキシン薬を注入して治療します。
ガミースマイルを改善するもっとも簡単な方法です。
ガミースマイルボツリヌスのポイント
・ ダウンタイム(日常生活の制限)がない
・ 1回の注入で約4~6ヶ月効果が続く
・ 注入を中止すれば自然に元に戻る
・ 注入後の痛みや腫れはほとんどなく、周囲の人に気づかれない治療方法
治療法5.
ガミースマイルセットバック
ガミースマイルセットバックは全身麻酔でおこなう手術です。
1回の手術でガミースマイルも輪郭も同時改善が可能な優れた方法です。
骨格に原因のある重度のガミースマイルの方に適応しています。
ガミースマイルの原因が顎骨の場合は、上顎骨、上顎歯槽骨、歯を同時に引っ込め、口腔容積を縮小させるための骨切り手術を適応しています。
ガミースマイルセットバックを
適応する患者様の例
・上顎骨、上顎歯槽骨、歯、自体が出ている
・いわゆる出っ歯の状態
・口元が全体的に出ている(ゴボ口)
・口腔容積が大きい(口が大きい)
・鼻から下の骨格が出ている(歯の角度、生え方、歯槽骨、上顎骨の問題)
・上下の唇と閉じる際に力を入れないと閉じられない(ゴボ口、歯または歯槽骨の問題)
・上下の唇と閉じる際に力を入れないと閉じられない(ゴボ口、歯または歯槽骨の問題)
ガミースマイルセットバックのポイント
・ 上の歯、上の顎の骨、横顔のシルエットを整える場合には最適な治療方法
・ 日帰りの手術
・ 口の中からの切開で行える手術のため傷痕は全くわからな
・顔のバランス、かみ合わせ、完璧なフェイスラインを目指すことが出来る
治療法6. ガミースマイル美容矯正
カンファークリニックでは矯正歯科治療とともにガミースマイルを改善することができます。
単純な歯並び治療や歯列矯正治療ではガミースマイルは改善しません。
ニューヨークスタイルマウスピース美容矯正やハリウッドスマイルセラミック矯正歯科治療はガミースマイルを骨格から改善するカンファークリニック独自の方法です。

歯並びやかみ合わせが悪くない場合や美容矯正だけではご希望の改善が見込めない場合は、カンファークリニックが提供する追加オプション手術で改善することができます。これらのオプション手術だけをご希望の場合も対応しております。ぜひご相談ください。
ガミースマイル美容矯正歯科:
治療〜完成までのイメージ
ガミースマイルの症例集
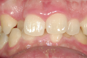
症例01.
上唇挙筋群短縮10点留め治療
| 治療前 | 治療後 |
|---|---|
![]() |
![]() |
症例02.
ガミースマイルボツリヌス治療
| 治療前 | 治療後 |
|---|---|
![]() |
![]() |
症例03.
ガミースマイル歯冠長延長術
| 治療前 | 治療後 |
|---|---|
![]() |
![]() |
症例04.
ガミースマイル歯冠長延長術
| 治療前 | 治療後 |
|---|---|
![]() |
![]() |
ガミースマイル症例紹介ブログ
歯ぐき形成のブログ




















