受け口-
受け口セットバック手術
受け口セットバック手術のプラン

カンファークリニックの
「受け口方法」

咬んだ際に、上の前歯より下の前歯が突出している状態を反対咬合といいます。
一般的に受け口と言われるものの中には、反対咬合・シャクレ顔があります。
その症状を治すために、受け口セットバックがあります。
治療の方法には2つの方法があります。
- 歯列矯正で治す方法 = 矯正単独療法 :歯列矯正
- 手術で治す方法 = 手術単独療法:受け口セットバック手術
矯正単独療法 :歯列矯正
上下の歯28本を個々にバランスよくかみ合わせるために最適な治療法です。
通常反対咬合では2年ほどの治療期間を必要とします。歯列矯正に手術を組み合わせる場合もあります。
また、歯列矯正だけで見た目の改善をおこなうには限界があり、ご希望に応じて様々な手術を組み合わせることもあります。 例えば、オトガイ唇溝(下口唇の下のくぼみ)が浅い場合は歯槽骨分節骨切り術やシリコンインプラント形成術をおこないます。
手術単独療法:
受け口セットバック手術
手術で治す方法のもっとも簡単で、代表的な治療法が受け口セットバック手術です。
左右の第1小臼歯を抜歯し、骨のすき間を利用して前歯6本を後退させる方法です。
通常の歯列矯正で2~3年要する治療を、わずか40分の短時間の手術で改善します。
下顎が前突しているだけでなく、顎が長い方、曲がっている方には、同時にバランスを改善する手術方法を追加選択します。
下アゴの歯並びが上アゴよりも出ている場合を「受け口」、 専門用語では「下顎前突」と言います。下アゴが大きすぎたり上アゴが小さすぎたりするために生じ、コンプレックスに直結します。
アゴ先の突出を合併している場合
術前のセファロ(レントゲン写真)、歯列模型による詳細なプランをたてます。
アゴ先の突出を合併している場合はオトガイ後退、短縮術なども同時におこなう場合もあります。

受け口セットバック手術について

従来の歯列矯正では治療期間が何年もかかります。木下院長による受け口セットバック手術なら、短時間の手術で全てが終わります。咬み合わせと顔貌の改善が同時に出来るというわけです。短時間の手術によって美しい口元になり、表情も魅力的になります。
反対咬合の最も簡便な代表的治療法として“受け口セットバック手術”が挙げられます。 この手術は、奥歯のかみ合わせ状態(前後方向)を触らないで、前方部(見えるところ)左右の4番までの歯だけを 部分的に手術する方法です。方法は4番の歯を抜歯して、3,5番の歯の間に隙間をつくります。
残った前歯の6本をひとかたまりに後退させる治療法です。
通常の歯列矯正で2~3年を必要とする反対咬合の問題が、30分の手術で改善します。

受け口セットバック手術の
メリット・デメリット
| メリット | ① 手術が短時間で終了(60分)する。 |
|---|---|
| デメリット | ① 奥歯のかみ合わせが、矯正歯科学的な基準咬合に変化しない。 |
受け口セットバック手術がお勧めの方
- 短期間で受け口を治したい方
- 矯正以外の方法を希望する方
- 受け口と同時に顎(あご)も短くしたい方
受け口セットバック手術のPOINT
- 矯正では通常1~2年がかかりますが、受け口セットバック手術は、1日で噛み合わせを治すことがでる施術です。
- 横顔は、額~鼻~口元~顎先にかけてのバランスが大切です。理想的な横顔を表す審美三角を基に、お1人お1人に合わせて診断、デザインをしています。
- 上顎自体が引っ込んでいる場合には、上顎分節骨切り術で上の歯を前方に移動させることも可能です。
- 術前にはセファログラム分析(頭部X線規格写。真)、歯列模型による詳細な治療方針を立てています。
- 下の歯が前突している方は、顎(あご)の長さも気になられる方が多いのですが、その場合には同時に短くすることも可能です。
- 上下の歯をワイヤーで結んで固定する顎間固定の必要はありません。
- 長い入院も必要としません。
- 翌日より通常のお食事が召し上がれます。
- 口の中からの施術ですので、傷が見えません。
① 下顎枝垂直骨切り術(IVRO)

下顎の形態を改善させ、咬合機能の維持、向上を同時に図るための下顎骨体の手術である。
手術上の利点は骨片間の固定をおこなわないため、顎関節症患者にも適応でき、顎関節症の治療としても有用である。その治癒形態は下顎頭位置が周囲組織の緊張によって自然に決定され、顎関節運動は生理的な条件下のもとに再構成される。さらに歯の形態、歯列、咬合関係と顎関節運動の不調和による顎機能改善が可能である。その他、手術時間が短く、エラ張りの改善が可能であるため、小顔効果があるとされている。
欠点としては、手術による咬合の変化は手術後の歯列矯正、顎間ゴム牽引が必要であり、日常生活の不自由な点である。
下顎枝垂直骨切り手術は字の通り、側貌から見て下顎枝を垂直に縦に分割させ下顎全体を移動させる手術方法である。下顎全体が後ろに下がる手術だが、エラの改善や小顔効果に有効といえる。
下顎枝垂直骨切り術の概要
| 施術 時間 |
約60分 |
|---|---|
| 治療 期間 |
日帰り可能な手術です。 |
| 麻酔 | 全身麻酔または静脈内鎮静法 |
| 腫れ 具合 |
★★★☆☆ |
| ダウン タイム |
大まかな腫れや内出血が引いてくるまでに、2~3週間程度です。 組織が完全に落ち着くまでは3ヶ月~6ヶ月程度です。 ※いずれも個人差があります。 |
| 抜糸 | 溶ける糸を使用するため抜糸不要です。 |
料金(税抜)
下顎枝垂直骨切り術 1,800,000円(税抜)
下顎枝垂直骨切り術がおすすめの方
- 骨格性下顎前突(反対咬合、しゃくれ顔、受け口)
- 下眼瞼の伸展(あっかんベーのような目元)
- 歯列矯正をしたくない
- 中顔面の陥凹
- E-Lineを整えたい
- エラ改善
- 小顔
② 下顎枝矢状分割骨切り術(SSRO)

下顎の形態を改善させ、咬合機能の維持、向上を同時に図るための下顎骨体の手術である。
手術上の利点は下顎骨の移動量、移動方向が大きく、適応範囲が広い。他の下顎骨体移動方法に比べて移動骨の接触面積が大きく、創傷治癒が早いとされ、さらに骨接合には固定にプレートやスクリューを使用することで、骨接合は強固となり、後戻りが少ない。また、美容的、整容的な観点からは、下顎角形態の改善(エラ、小顔、顔の幅)が見込め、抜歯をする必要がないなどである。
術式の欠点は、骨片移動が臼歯部の咬合関係に左右される点が最も大きい。そのため、患者本人の臼歯部の咬合状態の改善の希望の有無にかかわらず、術前術後の歯列矯正は必須となる。術後の継発症としては、下顎骨内側面の剥離により、神経損傷、咽頭部損傷のリスクがあるし、術野が制限されるため、手術が煩雑なり、神経障害が出やすい点である。
下顎枝矢状骨切り手術(SSRO)は字の通り、下顎枝を矢状断(正面から見て縦方向)に下顎を分割(2枚におろすイメージ)して下顎全体を移動させる手術方法である。この分割方法は、上下左右など下顎の広範囲な移動が可能であり、下顎全体が前や後ろに動かす手術である。下顎骨を後方移動することでフェイスライン改善効果、小顔効果も期待できる。
下顎枝矢状分割骨切り術の概要
| 施術 時間 |
約60分 |
|---|---|
| 治療 期間 |
日帰り可能な手術です。 |
| 麻酔 | 全身麻酔または静脈内鎮静法 |
| 腫れ 具合 |
★★★☆☆ |
| ダウン タイム |
大まかな腫れや内出血が引いてくるまでに、2~3週間程度です。 組織が完全に落ち着くまでは3ヶ月~6ヶ月程度です。 ※いずれも個人差があります。 |
| 抜糸 | 溶ける糸を使用するため抜糸不要です。 |
料金(税抜)
下顎枝矢状分割骨切り術 2,200,000円(税抜)
下顎枝矢状分割骨切り術が
おすすめの方
- 骨格性下顎前突・下顎非対称の改善
- 顎の左右非対称・顔面非対称の改善
- オープンバイト、開咬症の改善
- 歯列矯正をしないで前歯を下げたい
- E-Lineを整えたい
- エラ改善
- 小顔
- 受け口、しゃくれ、反対咬合の改善
- 顎変形症の改善
- 下顎遠心咬合の改善
- 小下顎症の改善
- 仮性下顎前突症の改善
- 上下顎前突症の改善
- 無歯顎患者における上下顎間関係の改善
- 補綴前外科
- 陳旧性変形性治癒骨折の改善
③ 下顎分節骨切り術

下顎分節骨切り術は、下顎の形態を改善させ、咬合機能の維持、向上を同時に図るための下顎骨歯槽骨の手術である。
手術上の利点は手術が短時間で終了する点(1時間程度)。下顎小臼歯5番以降の臼歯の状態は変化しないため、手術直後より従前の臼歯部咬合機能が維持されており、経口摂取による食事が出来る点が非常に大きなメリットである。また、部分的な骨移動のため術後矯正は必ずしも必要がない。
欠点としては、後方移動をおこなうための空隙、隙間が必要なため、第一小臼歯または第二小臼歯どちらかの抜歯が必要であること。馬蹄形形態の歯列弓を中間で移動させるため、歯列弓形態の不調和から上下、左右などの隙間ができる。また、手術はあくまで歯槽骨とその歯を一塊として整容的、機能的に適切な位置に後退させることが本手術の目的であり、上下左右1本1本の咬合状態、当り方、かみ合わせの状態を外科手術でおこなうには限界がある。その意味では、術後に歯科矯正を行うことは推奨している。
手術は、下顎の左右小臼歯を支えている歯槽骨の一部を切除、摘出し前歯6本分を一塊として移動する方法である。切開は口腔内のみであり、外側に傷はない。唇の裏側の切開は3cm程度である。骨削除量は5mm前後で後方移動をおこなう。セットバック手術は下顎のみを考えるのではなく、額~鼻~口元~顎先までのバランス、E-Lineイーラインを大切にし、診断する必要がある。術前の頭部エックス線規格レントゲン、セファロ分析、咬合模型による嚙み合わせ診断、CBCT光学模型診断を基に、見た目とかみ合わせのデサインをおこない、詳細な治療方針を立てている。同様な治療方法として、歯列矯正があるが、目的や結果、仕上がりは全く異なる。カンファークリニックとして自信をもってお勧めできる治療方法といえる。
下顎分節骨切り術の概要
| 施術 時間 |
約60分 |
|---|---|
| 治療 期間 |
日帰り可能な手術です。 |
| 麻酔 | 全身麻酔または静脈内鎮静法 |
| 腫れ 具合 |
★★★☆☆ |
| ダウン タイム |
大まかな腫れや内出血が引いてくるまでに、2~3週間程度です。 組織が完全に落ち着くまでは3ヶ月~6ヶ月程度です。 ※いずれも個人差があります。 |
| 抜糸 | 溶ける糸を使用するため抜糸不要です。 |
料金(税抜)
下顎分節骨切り術 1,200,000円(税抜)
下顎分節骨切り術がおすすめの方
- 骨格性下顎前突
- 上の歯と下の歯の真ん中が合っていない左右非対称患者
- オープンバイト、開咬症の改善
- 反対咬合
- しゃくれ顔
- 歯列矯正をしないで前歯をひっこめたい
- E-Lineを整えたい
- 受け口
- 早く治したい
- 歯列矯正ではかみ合わせ改善が不可能な患者の歯列矯正前処置として
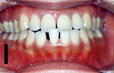
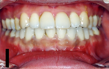
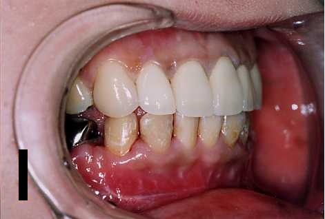
受け口セットバック手術の症例

症例 1
| BEFORE | AFTER |
|---|---|
![]() |
![]() |
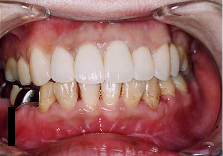
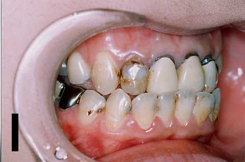
症例 2
| BEFORE | AFTER |
|---|---|
![]() |
![]() |
症例 3
| BEFORE | AFTER |
|---|---|
![]() |
![]() |















