ニューヨークスタイル
マウスピース美容矯正
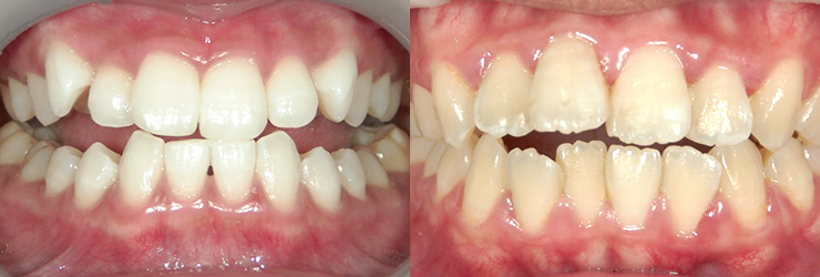
- オープンバイト
||| ページ内目次
オープンバイトとは
準備中

準備中
ニューヨークスタイル
マウスピース美容矯正で
オープンバイトを改善
「オープンバイト」矯正治療
のポイント
ポイント①
歯並びと嚙み合わせの
同時治療が可能です
通常のマウスピース矯正治療では、歯並びの改善が主な目的です。
この治療方法では、「歯並び」は治りますが、オープンバイト(開咬)の改善になりません。 オープンバイト(開咬)を改善するためにおこなうニューヨークスタイルオープンバイト矯正は、歯並びだけではなく、歯と嚙み合わせの矯正を同時におこないます。
ポイント②
嚙み合わせと同時に、
スマイルライン、
リップラインを整えます
ニューヨークスタイルオープンバイト矯正治療は、原則として上下の嚙み合わせ治療をおこないます。
前歯と前歯がすき間なく、適切なかみ合わせになるように、上の前歯を単純に押し下げたり、下の前歯を押し上げるのではなく、奥歯のかみ合わせの位置を基準にして、顎関節の動きと咬合平面を基準的な平面に並べ替えることで、嚙み合わせが整うように、前歯も奥歯も配列をします。ここが単純な歯並び治療と異なる点です。
上下の前歯だけで治すと、
上顎の前歯が伸びてしまい
ガミースマイルになります。
下顎の前歯だけで治すと、スマイルライン、リップラインが崩れ、口角が上がったときに、下の歯だけが見えてしまい、歯並び治療もオープンバイト治療も失敗します。
ポイント③
手術と同様の結果を導きます。
ニューヨークスタイルオープンバイト矯正治療は、嚙み合わせと同時に、歯と歯ぐき、上顎骨、下顎骨のバランスの同時改善をおこないます。
当院でも多くの患者様にオープンバイトに対する治療として、オープンバイトセットバック手術をおこなってきました。しかし、近年はニューヨークスタイルマウスピース美容矯正治療による、オープンバイトの症状が改善されるようになり、セットバック手術をしないで、改善することが出来るようになりました。
見た目だけでなく、前歯のかみ合わせの面(咬合平面)の角度の改善も同時におこない、見た目としてのリップラインやスマイルラインの改善を歯槽骨、顎骨レベルでおこないながら、嚙み合わせをしっかりと整えることが出来ます。
治療の流れ
ニューヨークスタイルマウスピース
美容矯正オープンバイト治療の流れ
ステップ1:診断
レントゲンやCT、頭部エックス線規格写真、顔面写真、かみ合わせ模型を用いて、診断用分析表を作成します。

ステップ2:治療計画
型取り
マウスピース作成のために、非常に精密な歯型をとります。

3D画像の作成
コンピューターで3D画像を作成します。

シミュレーション
1本1本の歯の当たり方、前歯から奥歯へのきれいな歯並び、上下のかみ合わせ、あごの関節への負担、フェイスラインやあご先の形態、エステティックラインなどかみ合わせと容貌がが整うようにシミュレーションを行います。
シミュレーションの結果は、実際に画面で確認していただいております。

ステップ3:マウスピース作成
患者様の要望はお一人お一人異なります。その患者様のご希望を治療プランに組み込み、プラン決定後に、3D画像を元にマウスピースを作成します。

ステップ4:装着
実際の治療スタートはマウスピースを付けるだけです!マウスピースの着け外しや、交換のタイミング等の説明をいたします。治療期間中に装着するマウスピースが、他人に気が付かれる心配はありません。とてもきれいなマウスピースです。
食事もおいしく頂けます。好きな時に取り外すことが出来ます。
また、ホワイトニング剤をマウスピースの中に流し込めば、ホワイトニングもできて白い歯になります。



料金
■ 治療開始前に費用の総額を提示させていただきます。
■ 治療期間の延長による費用の追加等はいっさいございません。
■ 治療費がふくらむ心配をおかけせず、安心して通院いただけるよう配慮しております。
■ 検査・診断後に決定した治療費総額を、初回金と残金の分割払いでお支払いいただきます。
相談・検査診断
相談と検査・診断は無料となっておりますので、お気軽に相談にいらしてください。
| 内容 | 料金(税抜) |
|---|---|
| 矯正相談料 | 無料 |
| 矯正検査診断料 | 無料 |
ニューヨークスタイル
マウスピース美容矯正
| 施術 | 料金 (税抜) |
|---|---|
| ニューヨークスタイルマウスピース美容矯正オープンバイト | 1,200,000円 |
※ 保定装置 無料
※ ホームホワイトニングジェル1本無料(矯正治療とホワイトニングを同時に行うことができます。)
※ 追加ホワイトニンジェル 5,000円









