ニューヨークスタイル
マウスピース美容矯正
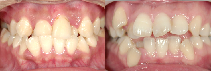
乱杭歯・八重歯
||| ページ内目次
乱杭歯(乱ぐい歯・叢生)・
八重歯とは

歯の生える向きが正しい方向ではなく、重なりあったり、歯ならびがでこぼこになっている状態のことを言います。
原因として、歯が大きい場合、虫歯、あごの骨の割に歯が大きい、あごの骨が小さいなどが原因です。
八重歯は犬歯と呼ばれている上の歯の中でも最も根元が長い歯が、歯ぐきの上のほうから生えて、歯並びから飛びでている状態です。
顎の骨の成長不全や乳歯との生え変わりが上手くできなかった場合に生じる症状で、永久歯である犬歯が正常に萌出するスペースが確保できない場合に発生します。歯ブラシがきちんと届かず、虫歯や歯周病になりやすい状態です。
ニューヨークスタイル
マウスピース美容矯正で
乱杭歯・八重歯を改善
「乱杭歯・八重歯」矯正治療
のポイント
準備中
治療の流れ
ステップ1:診断
レントゲンやCT、頭部エックス線規格写真、顔面写真、かみ合わせ模型を用いて、
診断用分析表を作成します。
あごの大きさや歯の大きさ等、乱杭歯(乱ぐい歯)の原因を分析し、顔の骨とあごの骨、歯の大きさや形、角度などを顎の長さ。角度、エステティックラインとの調和などを診断します。


ステップ2:治療計画
型取り
マウスピース作成のために、非常に精密な歯型をとります。

3D画像の作成
コンピューターで3D画像を作成します。

シミュレーション
1本1本の歯の当たり方、前歯から奥歯へのきれいな歯並び、上下のかみ合わせ、あごの関節への負担、フェイスラインやあご先の形態、エステティックラインなどかみ合わせと容貌がが整うようにシミュレーションを行います。
シミュレーションの結果は、実際に画面で確認していただいております。

ステップ3:マウスピース作成
患者様の要望はお一人お一人異なります。その患者様のご希望を治療プランに組み込み、プラン決定後に、3D画像を元にマウスピースを作成します。

ステップ4:装着
実際の治療スタートはマウスピースを付けるだけです!マウスピースの着け外しや、交換のタイミング等の説明をいたします。マウスピースは定期的に交換しながら微調整を行います。微調整は診察をしながら、歯の角度や歯並び、唇の形態や口元の位置、あご先やフェイスラインを考えて行っています。
治療期間中に装着しているマウスピースが、他人に気が付かれる心配はありません。とてもきれいなマウスピースです。
食事もおいしく頂けます。好きな時に取り外すことが出来ます。
また、ホワイトニング剤をマウスピースの中に流し込めば、ホワイトニングもできて白い歯になります。



料金
■ 治療開始前に費用の総額を提示させていただきます。
■ 治療期間の延長による費用の追加等はいっさいございません。
■ 治療費がふくらむ心配をおかけせず、安心して通院いただけるよう配慮しております。
■ 検査・診断後に決定した治療費総額を、初回金と残金の分割払いでお支払いいただきます。
相談・検査診断
相談と検査・診断は無料となっておりますので、お気軽に相談にいらしてください。
| 内容 | 料金(税抜) |
|---|---|
| 矯正相談料 | 無料 |
| 矯正検査診断料 | 無料 |
ニューヨークスタイル
マウスピース美容矯正
| 施術 | 料金 (税抜) |
|---|---|
| ニューヨークスタイルマウスピース美容矯正乱杭歯・八重歯 | 準備中 |
※ 保定装置 無料
※ ホームホワイトニングジェル1本無料(矯正治療とホワイトニングを同時に行うことができます。)
※ 追加ホワイトニンジェル 5,000円









