歯周病治療
歯周病治療
歯周病~歯周病入門~
歯周病の原因
(歯周病原菌による感染、歯周病原菌、歯周病の危険因子、まとめ)
歯周病の症状
(軽度歯周病、中等度歯周病、重度歯周病)
軽度歯周病
歯と歯の間や歯と歯ぐきの境目に細菌が付いていると、
歯ぐきのみに炎症を起こします。
歯ぐきが赤く腫れあがります。
歯磨きの時に歯ぐきから出血します。
しかし痛みは伴いません。
歯を支えている骨は正常で溶けていません。
軽度から中等度への移行期
歯ぐきから歯を支えている骨に炎症がある状態です。
骨が若干溶けてくることがこの時期の特徴です。骨が溶けるということは歯周ポケットが深くなることを併発します。
歯周ポケットは歯周病菌のすみかになります。
痛みを伴わないことも特徴です。
中等度歯周病
歯を支えている骨が溶けてくることがこの時期の特徴です。
歯はわずかですが、ぐらぐらと揺れてきます。
歯周ポケットにいる細菌は増殖し、歯根と言われる歯の根元に浸潤します。
歯の根元にまで歯石が沈着し、歯と歯ぐきの境目からは膿が出ることもあります。
重度歯周病
歯を支えるための骨は溶け出し、歯がぐらぐらとなります。食事がしにくくなります。
大量の歯石、歯茎の腫れあがり、歯茎が下がり、見た目が悪くなり、膿が出てきて口臭もあります。
歯周病とインプラント
歯周病によって歯の状態が悪くなれば、インプラント治療かブリッジ、入れ歯で噛み合わせを元に戻すことが必要です。
インプラント治療はしっかりとした歯周病治療を行っても治らなかった時だけ行えばよいのです。
大切なことは
1.インプラント治療前に他の歯の歯周病の治療をしっかりと終わらせる。
2.インプラント治療後も定期的に歯周病を管理する。
以上2点です。
理由は、インプラント周囲に起こる炎症と歯周病を起こす歯周病原菌が同じである以上インプラント治療にも病原菌をなくすことは有益です。残った歯の歯周病治療をきっちりと行うことはインプラント治療にも大切です。
誰しも、せっかく治した歯やかみ合わせはいつまでも維持させたいものです。インプラントとご自身の歯の両方をしっかりと治療、そして予防することが大切です。
歯周病と全身疾患
糖尿病
早産、低体重児出産
心臓血管系疾患
呼吸器疾患
骨粗鬆症
カンファークリニックにおける
歯周病治療
初診時の流れ
症状別の治療方法
歯周病と抜歯
歯周病の治療とは、口腔という消化器官、呼吸器官の始まりである器官の感染症を治療することで全身に悪影響を起こすことを未然に防ぐことを目的としています。そこで、治療計画は非常に重要で、薬で治せること、外科的な処置が必要なこと、噛み合わせの状況などレントゲンやCT検査から判断をしていきます。
歯周病と歯列矯正
歯周病は、歯周病原菌が増えることで悪化します
歯並びが悪い部分は、細菌がたまりやすく、せっかく治っても再発の原因になります。また、歯周病によって歯が長くなってしまったり、歯が動いてしまった場合にも見た目の改善はもちろんですが、病原菌が住みにくい環境を整えることはまさに、機能と美容の両立です。したがって、矯正治療で歯並びを改善することは、歯周病治療に対して大きなメリットがあります。
歯周病によって前歯に隙間ができたり、かみ合わせが悪くなったり、歯が長くなったりします。
矯正治療により歯を動かすことで、歯ぐきの位置を調整し、歯磨きがしやすい環境を整えることは大きなメリットと言えます。
歯周病と審美治療
美しい歯を持つことで、美しい外見を作りたいと思うのは、男女を問わず人間誰しもが持つ共通の欲求です。そういった要望をかなえるための治療が審美歯科治療ですが、歯周病に伴って行う審美歯科治療には、2つの特徴があります。
どんなに奇麗に作られた歯でも歯周病によって土台がくずれてしまえば、美しさを維持できません。せっかく治療した歯をできるだけ維持するには、歯周病の予防が必須です。歯周病治療は歯ぐきの形態を整えることも目的です。歯の生え際の歯ぐきの線を整えたり、黒ずんだ歯ぐきの色をピンク色に変えたり、すりへった歯ぐきを盛り上げたりすることで歯と歯肉が織りなす自然な形態を回復させることができます。
当院では審美歯科治療に先立って、歯周病治療を提案しています。きれいになった歯がいつまでも維持できるお手伝いをしています。
歯周病の予防(歯科医院で行う予防方法、ご自身で行う予防方法)
歯周病治療の当院の考え方
当院では世界中の他の医師による治療結果を集め、吟味し、より一般的、客観的な判断に基づいて治療をする医療をEBM(Evidence Based Medicine)、を行っています。当院では、木下院長自身の経験のみならず、世界的な学術論文より得た最新のエビデンス(科学的根拠)に基づいた判断を加味することで、より最良な治療法を選択して参ります。
概論
歯周病とは、歯を支えているまわりの組織(歯肉、歯槽骨等)の病気です。慢性疾患ですから、慢性の胃炎、鼻炎、とおなじです。
また、虫歯と違い、ほとんど痛みがなく、気づかないうちに進行します。放置しておくと症状はどんどん進行し、やがて歯が抜けます。歯周病は自然に治ることはありません。その意味において、糖尿病や高血圧症と同じといえます。
病態
歯と歯ぐきのさかい目には、深さが1から2ミリの歯肉溝と呼ばれる溝があります。これが歯周ポケットです。
歯周ポケットは正常な歯にもあるものです。
口の中の細菌(プラーク)がこのポケットに住みつきます。
ポケットの中は温かくふ卵器の中と同じ状態です。つまり細菌はどんどん繁殖をします。繁殖を繰り返し、善玉菌悪玉菌が混在した細菌の集団は歯茎に炎症を起こします。これが歯肉炎、歯周炎という慢性疾患の始まりです。
体の中に炎症があるわけですから、全身的な健康に大きな影響を起こします。
肺や心臓の炎症、胃や十二指腸の炎症、血液に細菌が混入すれば、脳やせき髄の炎症まで起こしてしまいます。体の中の血液はおよそ1分間で体の中を1周します。この炎症によって産生された化学物質であるケミカルメディエーターも血液にのって一周することになります。
何となく体調が悪い、風邪をひきやすくなったり、心臓の心内膜炎や動脈硬化、肺炎、肺膿瘍、糖尿病や早産、低体重児出産などの確立を高めることは、さまざまな論文で科学的に証明されています。
歯周病は病気であり、さまざまな病気を引き起こす原因になります。私は患者様にその病気の本質をしっかりと認識して頂くよう、、日々の診療で努めています。
カンファークリニックでは、家庭で出来るブラッシング治療から、最先端の生体材料を駆使した歯周病手術まで、症状に応じた最新の治療方法を選択して頂けるように準備しています。。 歯周初期治療と歯周外科治療に分けて治療を行っています。
治療方法
歯周病の治療は歯周病軽傷の治療、歯周病の中等症、重症の治療に分けられます。
歯周病が軽傷の場合の治療
歯磨き(プラークコントロール)
超音波洗浄
歯石除去
歯周病予防注射(プラセンタ)
歯周病治療注射(成長増殖因子)
歯周病が中等症、重症の場合の治療
ルートプレ―ニング
フラップオペレーション
自己血小板成長因子注入歯槽骨再生医療
「増殖因子治療」
「幹細胞治療」
歯周病が軽傷の場合

プラーク(細菌)コントロール(調整)つまり口の中に住む、細菌の量を調整するということです。
口の中から細菌を0にすることは出来ませんし、その必要もなく、もし0になった口の中は逆に病気を引き起こしてしまいます。
ですから、歯周病の患者様に対して、歯磨きという言葉は適切ではありません。
毎日の歯ブラシを用いたプラークコントロールは、ブラッシング治療とお考えください。
歯周病の方のブラッシング治療は、糖尿病の方が毎日インスリンを注射すること。高血圧の方が毎日降圧剤を飲むことと同じ「治療方法」なのです。
プラークコントロールを欠かさず、お口の中を清潔にしておく。そのためには正しいブラッシング、フロッシングがとても大切です。歯垢は時間の経過とともに歯石に変わります。歯石は胆石や腎結石と同じ体の中に出来た石です。歯石は歯ブラシでは取り除けませんので、定期的に(3ヶ月~1年に1度)検診を受け、歯石を取り除いてください。このような簡単な処置だけでも歯周病は防げますし、進行をとめることが出来ます。また、虫歯予防と同じ、砂糖の摂取量や摂取回数を減らしましょう。
歯ブラシの選び方

歯ブラシですが、柄はまっすぐで、小さめのヘッドが使いやすいでしょう。毛先はテーパード加工がおすすめです。取り替え時期は1ヶ月に1回。たとえ毛先が広がっていなくても毛の弾力が弱くなっています。 歯ブラシは毛先のこしで磨く事がコツです。歯並びが悪くて磨きずらいところなどは、ヘッドがより小さくエンピツ状の歯ブラシもございます。使用してみたい方はスタッフにお声掛けください。適切な大きさと使用方法をお伝えします。コンパクトなエンピツ状の歯ブラシは雑誌モデルやアナウンサー、キャビンアテンダントの方には隠れた人気商品です。電動歯ブラシについては、現在多くの商品がありますので、万が一購入を検討している方は一度ご相談下さい。
歯磨き粉の種類と量

発泡剤の入った歯磨き剤をたくさん付けて、お口の中が泡だらけでは、プラーク除去のためのブラッシングは、出来ません。そのうえ、研磨剤入りの歯みがき剤では、歯がすりへる原因にもなります。使用するなら小量、丁寧に磨けば使用しなくても大丈夫です。使用するなら研磨剤の入っていない歯磨き剤(赤ちゃん用の歯みがき剤等)やフッ素入りがおすすめです。発砲が少なければ長時間のブラッシングをしても口の中が泡だらけになりません。「虫歯や歯周病が治る」といわれる歯みがき剤やうがい薬への過信は禁もつです。当院では、口の中、歯の状態、歯周病の状態に合わせた歯みがき粉やうがい薬を処方しています。風邪と言っても同じ薬でないことと同じことです。一般的な歯磨き粉は「リナメル」、うがい薬は「Dr Wash」をおすすめしております。お試しになりたい方は、気軽に「使ってみたい!」と声をかけて下さい。
歯ブラシの当て方、動かし方と、
フロッシングの実際

歯ブラシは小刻みに動かしましょう。前後に大きくゴシゴシと動かしても、毛先が歯の間には当たらずプラークコントロールのための歯みがきはできません。歯と歯茎の境目、歯と歯の間に毛先が届いているか意識しながら磨きましょう。磨きにくい歯の側面は、歯ブラシをたてて磨きます。前歯の裏側は、歯ブラシのカカトを使ってかき出す。毛先でかき出す。
歯ブラシでは届かない場所である歯と歯の間は、糸ようじやデンタルフロスを使って清掃することで治療になります。フロッシングによるプラークコントロールは、歯磨きより重要な役目を果たします。特に歯と歯の間に虫歯ができやすい方は、必ず使用した方がよいです。またブリッジや矯正中で磨きずらいところは、ハイドロフロスなどの水がジェット状に出て洗浄する器械なども併用すると良いでしょう。また超音波ブラシの併用もお勧めです。
いずれにしても歯周初期治療は、家庭で出来る治療が基本ということです。
糖尿病における、食生活の改善、カロリーコントロールと同じです。
スケーリング、超音波洗浄

スケーリング処置とは歯面に付着した歯石を専用の器具(スケーラー等)で除去する治療方法です。歯石は歯ブラシでは取り除けません。
歯石の除去後は特殊な粒子を使用して、たばこのヤニや茶渋などの汚れを落とします。
痛みを伴うことありません。
定期的にクリーニングをすることで、ツルツルになった歯や、根面を保つ事が出来、歯と歯ぐきの健康を保つことが出来ます。
処置の後には、必ず特殊シリコーンゴムとコーティング薬を使用して表面を磨きます。汚れが汚れを呼ばないための処置です。 歯石を取っただけの歯の表面はザラザラとしていて、汚れが付きやすい状態です。歯石除去後の歯の研磨はとても大切な処置です。
当院で使用するプロ専用ワックスは、ナノ粒子を使用しています。歯の健康、機能、予防、美容に非常に効果的ですので、今までより汚れなどが付着しにくくなります。
歯周病が中等症、重症の場合の治療
概要

上記の治療を行っても状態が良くならない場合は、歯肉の中の状態を改善する処置となります。ルートプレーニング、フラップオペレーション、自己血小板成長因子注入歯槽骨再生医療などで対応しています。
また、「エムドゲイン」「GTR法」「GBR法」など最先端の治療も行っております。 特に当院では再生医療に注目し、「増殖因子治療」「幹細胞治療」を行っています。
GBR
(Guided bone regeneration)法
GTR
(Guided tissue regeneration)法
歯周組織である歯槽骨は、一度溶けてしまうと再生をしません。
骨の再生を促したり、歯ぐきの再生を促したりする治療方法をGBR法GTR法と呼びます。
具体的には骨が失われた部分には人口骨や自家骨を移植して骨の再生を図ります。歯ぐきが失われている部分には成長因子製剤や、幹細胞培養液、自己多血小板血漿液を使用します。
人工骨には、ハイドロキシアパタイトや、B―TCPを使用します。
また、治癒の促進のために、PRP自己多血小板血漿や増殖因子製剤の併用、幹細胞を併用しています。
このような治療方法はインプラント治療にも応用ができる画期的な方法です。
当院ではこの歯周組織再生治療法とインプラント治療を併用していることが特徴のペリオインプラント治療をおこなっています。
使用する骨としては、
人工骨
自家骨
親知らず等の抜歯した歯の再利用
使用する成長因子、増殖因子としては
エムドゲイン
成長因子製剤
幹細胞培養液
幹細胞の培養は脂肪を採取し、採取した脂肪細胞から幹細胞を培養します。木下院長が美容外科で培ってきた技術を疾患治療に応用させた方法です。
また、成長因子製剤は薄毛やニキビなどに使用されている安全で効果的な製剤ですので、安心して使用することが出来ます。
手術に際して使用する膜としては
吸収性メンブレン(tissue guide)
非吸収性メンブレン(GORE TEX)
吸収性メンブレンはコラーゲンからできており、吸収するため後から取り出す必要性がありません。治療の回数や手術回数の負担が少なくなります。しかし、この膜は適応症が限られており、また大幅に骨を再生させることはできません。
非吸収性メンブレンは術後の露出や、感染の危険性がありますが医療材料としては人工血管や人工硬膜、縫合糸等で400万人以上に使用されており、医療分野において非常に高い評価を得ている材料です。
ルートプレーニング
ポケットの中にプラークや歯石が付着すると、ポケット内のセメント質(歯の組織)の中に入り込んで汚染され、根の表面はザラザラになります。ザラザラになったセメント質は歯や歯ぐき、歯を支える骨に悪影響を及ぼします。歯周ポケットが深くなったり、歯ぐきがはれ上がった状態になります。歯と歯ぐきのすき間が大きくなるということです。このような歯と歯ぐきに悪影響を及ぼす悪いセメント質を取り除いて根面をつるつるにし、プラークの再付着をふせぎ、歯と歯肉を再びくっつきやすくする処置をルート(歯根)プレーニング(滑沢化)と言います。
処置方法は局部麻酔を行ったうえで歯と歯ぐきのすき間を専用の器具で磨きます。この治療には歯周病治療専用の器具が必要です。
当院では患者様の状態に合わせて、各種の器具を使い分けて処置を行っています。
フラップオペレーション
スケーリングやルートプレーニングで歯、歯ぐきは改善されても、歯周ポケット自体が深い場合は、細菌の繁殖しやすい環境は改善できません。深くなってしまった歯周ポケットは簡単な手術で細菌が繁殖しにくい解剖学的環境に改善出来ます。
この手術は局所麻酔で行う事が出来ます。
手術時間はおよそ30分程です。
歯周病の治療は保険適応ができる治療とできない治療があります。
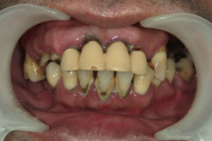
治療例
中等度歯周病
| 治療前 | 治療後 |
|---|---|
![]() |
![]() |
重度の歯周病と虫歯が混在した様態です。歯周病治療は歯石の除去と歯と歯ぐきのトリートメントをおこない、歯ぐきの再生を促す細胞活性化成長因子薬を塗って、歯ぐきの治りを早めました。歯と歯ぐきの境目の赤い炎症は残っていますが、患者様の希望によりセラミックの歯を被せた後に歯ぐきの赤みの残っている部分のみを治療しました。通院回数は3回です。
重度歯周病治療

このような重度の歯周病もカンファークリニックで治しています。カンファークリニックの歯周病治療は、最先端の成長因子製剤による再生治療をおこなっています。歯を支える骨や歯ぐきを、スピーディーに確実に治す独自の方法は、従来おこなってきた外科的治療ではなく、歯ぐきの注射と飲み薬で、治す画期的な方法です。











