乱ぐい歯・
八重歯の治療方法
||| ページ内目次
カウンセリング〜
シミュレーション
![]() |
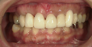
写真の患者様は、長い間ガタついた歯並びと飛び出た八重歯にコンプレックスをお持ちでした。そのため、自信を持って笑うこともできませんでした。また、内側に入った歯のせいで、でこぼこになった部分の歯はブラッシングができないため、虫歯と口臭が気になり、しっかりと咬むこともできませんでした。 |
治療の順序としてはレントゲン検査や歯型模型検査、診査を行った後、いくつかの治療プランを提示しました。患者様はハリウッドスマイルセラミック法を選択されました。最も気になる部分はどこなのか、治療期間と回数はどのくらいあるのか、詳細に希望を聞いたのち、診査を行っていきます。
今回は治療期間に制限があること、お仕事の都合上ワイヤー矯正ができなかったため、内側に転位した歯を抜歯した後、ハリウッドスマイルセラミックス矯正にて治療を進めることとなりました。
初診時の写真と歯型から、1本1本歯の大きさ、角度などを詳細に調べ上げ、抜歯した歯ぐきの状態を審査し、咬合器を使った咬みあわせの検査を行い、問題点を抽出した後、理想的な治療のゴールのシミュレーションを行います。
治療のゴールを設定した後、シミュレーション通りの仮歯を作成します。
仮歯の作成
カンファークリニックは、治療を行なう場合には必ず仮の歯を作成しています。実際の治療の際は歯茎を傷つけないようにするために、歯と歯ぐきの境目に特殊な糸を使用し保護します。
![]() |
歯型を取る際も特殊な糸を使用して歯ぐきの形を整えて、歯ぐきのトリートメントを行なったうえで、歯茎の中まで形を整え歯の形を作ります。多くの患者様は歯ぐきのトリートメントをしたことがないので、とても大切な治療であることを治療の際にも私たちはお伝えしています。 |
カンファークリニックのこだわり
歯の形を整える作業(歯を削る作業)の時に重要なことは、歯の表面を滑沢(つるつる)で、滑らか(つやつや)なでこぼこしていないラインをだすことです。また、0.01mmレベルの正確な左右の対称性を作ることです。歯を削ったこの時点で、歯の形が綺麗でなければ、最終的なセラミックスクラウンをかぶせたとき、歯並びが美しく整うことはありません。私たちカンファークリニックではドクター全員が高倍率の拡大鏡を使用し、一歯一歯を丁寧に仕上げています
![]() |
そして、すべての処置が終わったならば、シミュレーションをもとに作成した仮の歯を装着します。この仮歯は見た目の改善だけでなく、歯と歯ぐきの健康を保ちます。 |
最終的に歯の形を整えて採った歯型から作成した模型をもとに、スマイルラインや唇と歯の先っぽの関係や、口角と歯の角度の関係を適正な位置に揃えます。発音、咬み合わせなど、全体のバランスがとれたところで最終的なかぶせものの作成に移ります。
セラミックスクラウンの
製作〜装着
今回の色合わせのポイントは、明るさです。
2-3本程度の修復治療では、他の歯の色と調和するような色を選択しなければなりません。しかし、今回は前歯7本分ですから、笑った時に見える範囲はすべて色を変えることもできます。
患者様の希望は自然で美しい色でした。そこで、色調のバランスを崩さないで整えることにしました。目安にしたのは下の歯の色です。

写真はいろいろな角度から撮影し、またシェードガイドは一番近い色調と明るさのものを選択した後、その前後の明るさまで参考にします。

正確な歯型に加えて、患者様が気にいった仮の歯のコピー模型、何十枚にもおよぶ色と口元の写真を使用して、患者様の希望するイメージを、担当する技工士と念入りに打ち合わせを行い、セラミックスクラウンを作成します。
他の歯と色調や表面の特徴は一致させ、明るさは一段階上げることにより、患者様の希望される、自然な色調でかつ明るいイメージになりました。セット後確認して頂いた時の患者様のお喜びの顔は、本当に輝いていました。

治療例
ガタガタ歯並び、乱ぐい歯
| 治療前 | 治療後 |
|---|---|
![]() |
![]() |
ガタガタの歯並びの治療です。お顔のバランスやかみ合わせを考慮したカンファークリニックのオリジナルデザインでハリウッドスマイル治療をおこないました。治療の1回目に左上内側に入りこんでいる歯を抜き、バランスよく歯並びと噛み合わせを整えました。
八重歯
| 治療前 | 治療後 |
|---|---|
![]() |
![]() |
ガタガタな歯並びと八重歯をハリウッドスマイル法で2回の通院で治しました。歯の長さと歯ぐきの長さ、あごの長さを適切に整えて、咬み合せも完璧に治療が出来ました。
受け口
| 治療前 | 治療後 |
|---|---|
![]() |
![]() |
極端な受け口はニューヨークスタイルマウスピース美容矯正とハリウッドスマイル法で咬み合わせも歯並びも自然に整えることが出来ます。歯の長さや歯ぐきの長さ、あごの長さを検査して治療方針を決めています。通院回数はたった3回です。
ガタガタ歯並び、乱ぐい歯
| 治療前 | 治療後 |
|---|---|
![]() |
![]() |
ハリウッドスマイル治療とニューヨークスタイルマウスピース美容矯正のコンビネーション治療はカンファークリニックならではの最新の治療方法です。抜歯をしないで、治療をすることが可能なうえに、歯の色や形、艶、透明感を改善しています。
ハリウッドスマイル
セラミック矯正の料金
歯の色、艶、透明感を改善した上で、歯並びも美しくできる治療法です。
ハリウッドスマイル法で治療を行う際には以下の内容を選択頂きます。
1. 治療する歯の本数を決める
2. セラミックの種類を決める
3. ファイバーポストの本数を決める
| セラミックの種類 | 料金(税抜) | |
|---|---|---|
![]() |
ハイブリッドセラミック | 100,000円 /本 |
特徴・利点
ハイブリッドセラミッククラウンは、レジン(歯科用プラスチック)にセラミックを混ぜた素材です。レジンは変色しやすいという欠点があり、セラミックには破損しやすいという欠点があります。
その両者の欠点をうまくカバーし、セラミックの変色しない特性とレジンの粘り強さを混ぜ合わせた素材がハイブリッドセラミックです。
•色が天然歯に近い
•硬すぎず、粘り強さを併せ持ち、適度にすり減るので周囲の歯を傷めにくい
•金属を使用していないので、金属アレルギーが起こらない
欠点
•純粋なセラミックよりも強度が劣る
•セラミックより汚れが付着しやすい。
•3年から5年で変色しやすい。
| セラミックの種類 | 料金 (税抜) |
|
|---|---|---|
![]() |
ハイクオリティセラミック | 120,000円 /本 |
特徴・利点
強度があり、しっかりとしたかみ合わせができます。色の安定感もあり、最初に入れた色で10年以上経過しても変わる事はありません。白い部分は陶器、内面はジルコニア、アルミナなどの特殊素材を使用し、体の中でアレルギーを起こす心配もありません。1本1本手作りです。見た目では天然歯とわからないくらいきれいです。ただ、内冠のジルコニア、アルミナと外冠の陶器を焼き付けして作成するので、ジルコニアセラミックと比べると、陶器の部分の剥離が発生することがあります。見た目の問題になることはありません。
ジルコニアセラミックと比べても見た目ではほとんど区別つがつかないくらいです。
欠点
陶器の部分はかける可能性があります。内冠と外冠の剥離が発生することがあります。
| セラミックの種類 | 料金 (税抜) |
|
|---|---|---|
![]() |
プレミアジルコニアセラミック | 160,000円 /本 |
特徴・利点
強度があるのでしっかりとしたかみ合わせができます。また、色は最初に入れた色で10年以上変色する事がありません。白い部分は陶器で出来ており1本1本手作りです。見た目では天然歯と変わりません。内面から表面にかけてジルコニアと呼ばれる特殊な白い材質を多層使用しています。土台の色が透ける事はありません。
欠点
部分的に陶材で造られています。陶材の部分だけ、かみ合わせによっては剥離する可能性があります。
ファイバーコアポスト
根っこの治療が終わりお薬を詰めた後には、歯の内部を強化する治療を行っています。歯の土台となる芯棒を装着し、歯の強化と、歯の角度や大きさの矯正を行います。
構造はポストの部分とコアの部分です。
ファイバーコアは柔軟性があり歯に優しく噛み合わせによる衝撃にも優しい材質です。経過年数が経っても白い土台ですので黒く透ける事はありません。
ファイバーコアに使用するファイバーポストは1本よりは2本、2本よりは3本使用した方が良いのですが、歯の大きさや歯の根の大きさによっては1本しか入らない場合、4本入る場合がありますので、状態に応じてアドバイスをしています。
オールセラミックを入れる方はこの、ファイバーコアを入れる事をお勧めします。

写真で見る様に金属製の物はグレーに透ける事がありますが、ファイバー製の物を入れる事で天然歯と同様のセラミックを入れる事ができます。
| 内容 | 料金(税抜) |
|---|---|
| ファイバーコア ポスト 1本 |
18,000円 |
| ファイバーコア ポスト 2本 |
22,000円 |
| ファイバーコア ポスト 3本 |
25,000円 |
審美歯科治療は、破折、色調の再現に限界があります。























