歯冠長延長治療
||| ページ内目次
ガミースマイル改善のための
歯冠長延長治療

歯冠長延長術ってどんな処置?
どんな効果があるのかな?
痛みやダウンタイムについても
知りたい‼
患者様のご要望にお応えして、詳しく解説して参ります。
ガミースマイルで歯ぐきの見え方や歯ぐきの形、歯ぐきの色に悩んでいる方に向けて、きれいに治療するポイントや注意点をご紹介します。
まずはご自身の歯ぐきを観察してみてください。
歯ぐきの面積や高さは意外と不揃いだったり、歯ぐきの形や色、歯並びの気になるところがみつかると思います。この点がガミースマイルと関係している大切なことです。
この記事をお読み頂いた後に、もう一度歯ぐきを観察すると、最初に見た時とは違うガミースマイル改善のために必要な新しい発見や気が付かなかった点、口もと美容の視点が見つかります。皆さんにぜひ興味をもって頂きたいと思います。
それでは、最後までお読みください。
ガミースマイル改善のための
歯冠長延長術
まず、歯ぐきの形は歯の大きさによって決まっています。つまり、歯と歯ぐきの関係は、ガミースマイルにはとても大切です。
歯ぐき面積が小さく、整った形の歯ぐきで、しかも歯ぐきの色がピンク色であれば、ガミースマイルではありません。
歯ぐきは歯の生え際にある、1cm程度の組織です。歯ぐきという単語は一般的な名称で、すごく広い意味でつかわれています。学術的な用語では、歯肉です。Gingival(ジンジバル)と呼ばれます。歯ぐきと粘膜は同じように見えますが、すごく違いがあります。
歯ぐきは歯の周囲をぐるりと取り囲み、歯と密着しています。お口の中の細菌が歯に侵入することを防ぎ、虫歯や歯周病を予防し、歯の揺れ、赤み、腫れを防ぐ役割を担っている粘膜とは全く異なる一部が角質化したとても大切な組織です。健康のためにはとても大切な歯ぐきですが、ガミースマイルのような美容、見た目のためにも、とても重要な役割を果たしています。
ガミースマイルは笑った時に歯ぐきが露出している状態です。つまり、歯ぐきが大きいのです。ですから、歯ぐきの面積を小さくすれば、笑った時に歯ぐきは見えません。歯冠長延長術は歯ぐきの面積を小さくして、歯の大きさを広げて、ガミースマイルを改善する方法です。
ここで誤解をしてはいけないのは、「歯冠長延長術」と「歯肉切除」は全く異なるということです。
一般の歯科医院の中には歯周病治療としての「歯肉切除」と「歯冠長延長術」を混同しているクリニックがあります。
これは、歯周病を治すという要素と、美容的、見た目の治療としての要素を混同してしまい、美的要素として、除去する歯ぐきと健康的要素として残すべき歯ぐき部分の見分けがあいまいな点から起こる勘違いです。
カンファークリニックでは、経験豊富な歯科衛生士が患者様のご希望を完璧にサポートし、治療をおこないます。また、歯冠長延長術を1000本以上経験した院長が担当しますから、安全に確実にきれいに仕上げています。
もう一度言います。
歯周病治療としての歯肉切除と、ガミースマイル改善のための歯冠長延長術は全く異なります。

歯冠長延長治療とは
歯冠長延長治療とは、歯と歯ぐきの境目を、適正な解剖学的な形態に整える治療手術です。
歯を動かすことなく、歯の生え際の歯肉を切除形成することにより、歯ぐきが見える範囲を縮小させます。
歯周病などの歯肉整形とコンセプト、目的、方法が異なります。
歯の周囲の歯ぐきの整形ですが、お爪の甘皮処理と同じイメージをもって頂くと、理解がしやすいと思います。
歯冠長延長手術は、口腔前庭縮小術や上唇挙筋短縮術のように、笑った時の上口唇の動きにはいっさい手を加えず、笑った時に見える歯ぐきの面積を縮小させることで、歯ぐきを目立たせないようにし、手術の治療効果を最大限に発揮する、ガミースマイル改善には、優れた方法の1つです。
出っ歯の方や歯並びが不ぞろいな方、歯の生え際が不ぞろいな方にもお勧めできる治療方法です。
当院では、セラミッククラウンの併用をしないで治療を承っております。
歯冠長延長治療を
適応する患者様の例
・歯が短い、小さい
・歯周ポケットが深い
・歯周靭帯がゆるんでいる
・歯並びが悪い
・出っ歯
・歯が生えている位置が低い
・上顎歯ぐきの骨のボリュームがある
・過蓋咬合
・上顎の突出
口腔前庭が深いため、
上唇の可動域が大きい場合
① 粘膜切除形成術(口腔前庭縮小術)
口腔前庭が深い場合、歯や歯肉、じん帯や顎骨に原因がなくても、笑うった時に、上口唇が動きやすくなります。
口唇自体の可動域が大きくなるからです。
口唇の可動域が広いということは、笑った時に口角が上がりやすい、口角挙上を作りやすいメリットはありますが、過剰運動になりやすいデメリットもあります。
過剰運動の場合は、口角は上がるものの、上口唇は内転して薄くなり、ボリュームがなくなります。
笑った時に上口唇が薄くなると、口唇の赤みが見えなくなってしまい、白い歯とのコントラストも保てなくなります。
口唇が薄くなってしまうので、歯ぐきの露出も増えます。このような一連の流れが、ガミースマイルの症状となっています。
粘膜切除術は上口唇の裏側と歯ぐきの一部を切開し、縫い縮める手術です。
縮小するために必要な粘膜は切除します。
粘膜切除の範囲は、必要な口腔前庭を確保しつつ、口腔内のたるみが出ないような範囲です。
また、新生血管、新生されたコラーゲンやエラスチンなどの、天然の繊維成分によって、上口唇の挙上を永久的に抑制します。唇の裏側の粘膜の手術ですから、表側に傷口は全く見えない、優れた方法です。
手術時間は10分と短時間のため、腫れや痛みはほとんどありません。
② 粘膜切除術または、上唇挙筋短縮術、
ガミースマイル矯正のオプション治療としてのボツリヌストキシン注射
上唇を上げる筋肉が強い場合は、各種原因に応じた主治療に、ボツリヌストキシン注射を併用することも有効な手段です。
しばらく上口唇を上げすぎないようにするために、粘膜切除術の術後ならば、縫合した部分の安静、ガミースマイル矯正の後戻り防止に併用する事もあります。
ガミースマイルと歯ぐきの関係

歯ぐきの面積、色や形は、笑った時の歯ぐきの見え方、歯の形、歯並び、上品な口もとに大きく影響します。
歯ぐきの観察ポイントのまとめ
・歯ぐきの形はガミースマイルの改善にはとても大切です
・歯ぐきの面積が広いと、歯が小さく見えます
・歯ぐきの形を整ええていないと、笑った時に見える歯ぐきが下品に見えます
・歯ぐきの面積が広いと笑った時に歯ぐきがたくさん見えます
・歯ぐきの色がピンク色でないと、笑った時に見える歯ぐきが不健康に見えます
カンファークリニックでは、ガミースマイルを改善して頂くために、歯冠長延長術、リップリポジショニング、上唇小帯切離移動術、口腔前庭縮小術、上唇挙筋短縮術、ガミースマイルセットバック、ガミースマイル歯列矯正をおこなっています。
歯ぐきの大きさ(面積)形、色によって、ガミースマイルは大きく変わります。
ガミースマイルを改善する
ポイント

- 歯の大きさ
- 歯ぐきの大きさと形
- 歯ぐきの色
歯の大きさ
歯冠長延長術では、歯ぐきの面積が小さくして、歯の面積が広がることで歯が綺麗に見え、歯ぐきを目立たなくして、ガミースマイルを改善します。
歯ぐきの大きさと形
歯冠長延長術では、歯ぐきの面積が小さくして、歯の面積が広がることで歯が綺麗に見え、歯ぐきを目立たなくして、ガミースマイルを改善します。
歯ぐきの色
歯冠長延長術により、歯ぐきの形を適切に整えることで、ガミースマイルを改善して、口もとをきれいに見せることができます。形が綺麗になることで笑った時の歯ぐきが上品になり、ガミースマイルが改善します。
ポイント
そして、歯ぐきはピンク色、くちびるは赤色、歯は真っ白。このバランスがギューッと詰まった口もとが美しい口もとです。
歯冠長延長術はガミースマイルを改善するだけでなく、歯の形を美しく見せて、歯ぐきの面積を小さくして、キレイなピンク色の歯ぐきの成長を促す効果があります。
そして、歯冠長延長術にはデメリットがありません。歯ぐきの面積、形、色を整えることは、デメリットがない点も大きな利点と言えます。
大切なことですが、歯冠長延長術をおこなった後は、後戻りはありません。歯冠長延長術は単独療法で十分な効果が得られます。
歯冠長延長術はこの手術だけで後戻りすることはありません。
他院では、セラミッククラウンなどの治療を一緒におこなわないと再発したり、歯周病治療を同時におこなわないと、後戻りするという「都市伝説」に似た、詐欺まがいの論調がネット上に散見されます。しかし、これはフェイク情報です。
歯冠長延長術は適応した症状におこなえば、1つの治療方法として確立されている治療方法です。セラミッククラウンや、歯周病治療を一緒にしなければ再発をしたり、後戻りをする手術ではありません。
ただし、歯ぐきを整えたので、歯も一緒にきれいにしたい場合は、同時治療はお勧めです。また、矯正歯科治療によって、歯並びや噛み合わせを改善した結果、歯の動きと共に、歯ぐきの中に少し潜ってしまうこともあります。このような場合にも、歯冠長延長術は有効な治療方法と言えます。
歯冠長延長術単独療法の後戻りはありません。
もう一度お伝えします。
美しい口元は、「歯ぐきはピンク、くちびるは赤、歯は真っ白」
カンファークリニックの
歯冠長延長治療の特徴

基本的な治療方法は歯の生え際の歯ぐきを整える治療方法です。
歯ぐきを整えるだけの治療であれば、10分程度の処置で終了します。
・歯と歯茎の間には歯周ポケットと命名されている解剖学的な空間が存在します。
・また、歯ぐきの直下には歯槽骨と命名されている歯を支えるためには非常に重要な骨があります。
カンファークリニックのガミースマイル歯冠長延長術は、この2つのポイントである、歯周ポケットと歯槽骨の位置を診断して歯や歯ぐきに負担のない完璧な治療を目指しています。
この2つのポイントである、歯周ポケットと歯槽骨を正しく処置しなければ後戻りの原因になります。
適切なガミースマイル歯冠長延長術を行うと後戻りもなく、美しい口元をいつまでも維持することが可能となります。
カンファークリニックのガミースマイル歯冠長延長術をご検討ください。
歯冠長延長治療の症例集
歯冠長延長治療の症例01
| 治療前 | 治療後 |
|---|---|
![]() |
![]() |
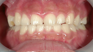
治療前の状態
歯の大きさと、笑った時に見える歯ぐきの長さ、歯の形を気にされて、ご来院を頂いた患者様です。
前歯の部分の歯ぐきが歯に覆いかぶさり、萌出不全状態です。
この患者様のように歯肉が覆いかぶさっていると、見た目も悪いですが、歯にとっても良くありません。 歯周病や虫歯の原因になるからです。
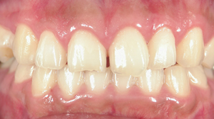
治療後の状態
歯の大きさや歯ぐきの長さ、歯周ポケットの状態が適正に整いました。
もちろん笑った時のガミースマイルの状態も、同時に改善が出来ました。
歯冠長延長治療の症例02
| 治療前 | 治療後 |
|---|---|
![]() |
![]() |
歯冠長延長治療の症例03
| 治療前 | 治療後 |
|---|---|
![]() |
![]() |
歯冠長延長治療の流れ

歯冠長延長治療の流れをご紹介します。
1. お口の消毒をします
歯冠長延長術の下準備として、お口の中の消毒を行い、清潔な環境で処置が行えるようにします。カンファークリニックでは、イソジンやアズレン、ネオステリングリーンなど消毒効果の高いうがい薬を使います。
2. 表面麻酔をおこないます
歯冠長延長術は麻酔をしないと痛みを伴います。表面麻酔は、お口の中にクリーム麻酔を塗りさらにシール麻酔を貼ります。
3. 浸潤麻酔をおこないます
表面麻酔が効いてから、浸潤麻酔をおこないます。歯の治療と同じようなお口の中の麻酔ですが、歯を削ったり、歯を抜くわけではないので、歯冠長延長術専用の体に優しい麻酔薬を使いますから痛みは全くありません。
4. 歯冠長延長術では、形成する
歯ぐきのデザインをおこないます

歯ぐきの取りすぎ、切りすぎを絶対にしないように、切除部分をマーキングし、実際に患者様に見て確認をして頂きます。この工程を踏むことで、切りすぎ、取り過ぎないから安心して手術を受けて頂くことができますし、痛みもありません。
5. 歯冠長延長術の開始
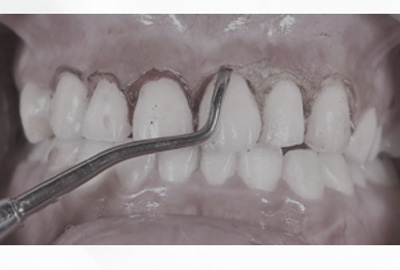
電気メスや歯ぐき専用のメスを使用して切除します。まずは1本処置をしたら、鏡で患者様に診て頂きます。血も出ませんし、腫れもないので、直接見ても精神的なショックは受けません。
6. 歯周靭帯、歯周ポケット、
遊離歯肉、付着歯肉のバランス

解剖構造を熟知したドクターが歯と歯ぐき、ガミースマイル症状のバランスを見ながら、不要な部分のみの歯ぐきを電気メスで切り取ります。不要な歯ぐき部分を電気メスで切り取って除去します。状態によっては歯ぐき専用のメスを使うこともあります。
歯ぐき専用のメスは文字通り形成専用のメスですので、歯ぐきをシュッとなぞるだけで余分な歯ぐきを切除することができるアイテムです。
便利な一方切れ味が良いので、必要に応じて使用し、切除部分は注意しなければなりません。
7. 歯冠長延長術の終了
1本1本、丁寧に歯冠長延長術をおこないます。10分ほどで終了します。歯と歯ぐきの位置関係、歯ぐきの形、色、隣接する歯と歯の間の歯ぐきの状態を確認すれば完了です。終わったら、消毒剤入りのうがい薬でお口を良くゆすいで頂き、消毒します。
8. 鏡で確認して頂いて終了
ご希望部位の歯冠長延長術、歯ぐき形成が終わったら、鏡で確認をして頂き、終了です。この時点でほぼすべての患者様はガミースマイルが改善しています。
9. 歯冠長延長術の歯ぐきケア
歯冠長延長術後の歯ぐきはとっても敏感です。専用の歯ブラシを使ったケアの方法をプロの歯科衛生士さんから伝授してもらいましょう。
手術後のケアについて、注意点
歯冠長延長術後のケアは、専用の歯ブラシを使用して頂き、力を入れすぎてはいけません。優しい力で、様子を見ながら少しずつ形を整えることがポイントです。歯ブラシを充てる部分は歯と歯ぐきの縁にある、手術直後に一時的にすこし白く変色した部分だけです。
生え際ギリギリの歯ぐきの部分は、無理に処理すると細菌が入って感染したり、術後の痛みが出てしまったりするので避けてください。
歯冠長延長術の痛みや腫れについて
歯冠長延長術の術後は、専用の痛み止めを服用して痛みを抑えます。
ほとんどの患者様は痛みを感じることはありません。
手術部位の腫れは、ほとんど出ません。
含漱剤(うがい薬)で患部の消毒をして、感染予防に努めて頂きます。
歯冠長延長治療の料金
料金(税抜)
歯冠長延長治療 (完全無痛局部麻酔費用込み) 100,000円
※ 歯冠長延長術は前歯6本~8本の範囲が手術の対象です。















