小児矯正
カンファークリニックの小児矯正
カンファークリニックでは、乳歯が生えそろい、永久歯が生え始めた頃のお子様の矯正歯科治療を積極的に行っています。当院にご相談される患者様の最も多い時期です。
小学生になったころに6歳臼歯が生えてきます。永久歯が生えてきたころは、やっと大人の仲間入りをした頃です。一生使う永久歯が、虫歯にならないように保護者の方が注意します。その頃に咬みあわせの異常や歯並びの異常にも気が付くという事は少なくないのです。カンファークリニックでは独自の健康的な咬み合せが出来るような成長発育を促す治療方法を行なっています。
噛む力が弱くなってあごが発達せず細いままでいると、正しい位置に歯が生えず歯並び・噛み合わせが悪くなります。
これが、小児における歯並びや咬みあわせの問題点です。
乳歯が抜けて一回り大きな永久歯に生え替わる時期に、あごが鍛えられます。
カンファークリニックでは、このように乳歯と永久歯の生え変わりの時期に、日々の食事や会話や呼吸、睡眠という日常生活の中で、あごが鍛えられる咬みあわせや歯並びの環境を整えることを小児矯正の目標にしています。
カンファークリニックが考える
小児矯正の必要性
・乱れた歯並びは歯磨きがしにくく、虫歯や歯周病になりやすくなる
・舌の位置がずれるために、発音異常や、子供いびきの原因になり、睡眠が十分にとれない
・きちんと噛み合わせることができず、顎の骨の発達、顎につく筋肉やじん帯の発達が促せない
・発達が不十分なあごの骨や筋肉は、肩の筋肉やバランスを崩し、結果的に姿勢が悪くなります
・歯並びの悪さがコンプレックスとなり、内向的な性格になります。
小児矯正はお子様の成長発育にとって、とても大切な治療です。口の中だけの問題ではありません。全身の発育や健康、そして心にまで悪影響を及ぼします。なるべく早い時期に受診をしていただき、適切なアドバイスをさせて頂きたいと思います。そのためにカンファークリニックでは子供の小児矯正歯科を開設しています。
お子様の健康を育むことは保護者の大切な役目です。
治療の時期について
「矯正治療は早い時期からがいい」とよくいわれます。
しかし、最適な時期は人それぞれ違います。
カンファークリニックでは、永久歯が生えそろう前、つまり乳歯と永久歯の混合状態で検査を行なっています。検査の結果によって、お子様にとって何が異常なのか判断することができ、治療が必要なのか不要なのか、治療が必要な場合でも、いつのタイミングで始めたらよいのか、適切な時期の治療に向けて万全な準備ができます。もちろん成長や発育状態によって治療が不要になる事も多いのです。たとえば永久歯の生え変わりの時期を見ながら乳歯を適切に抜歯してあげるだけで、あごの発育や咬みあわせ、歯並びが整う事もたくさんの事例であります。
子供の矯正治療の特徴
~大人になって間に合わなくなる前に~
カンファークリニックの小児矯正治療は、歯のデコボコやかみ合わせを治すことはもちろんですが、上顎、下顎の骨格の成長発育を促し、自然の力であごを鍛え、本来の輪郭のバランスを整えることを目標にしています。
大人になってしまってからの矯正治療は、この点の改善が出来なくなってしまい、いわゆる美容整形的な治療になりがちです。成長が終わってしまうと骨格のバランスを整えることは出来ず、歯の移動しか出来なくってしまうからです。
この点を改善した治療方法が、カンファークリニック独自のハリウッドスマイル法、ニューヨークスタイルマウスピース美容矯正です。大人になっても遅くはありませんから、各ページを参考にしてください。
カンファークリニックの小児矯正治療は顎のサイズ、上下顎のバランス、歯を支える骨の横幅や骨の厚みを解決することを目的にした治療方法と言えます。
小児矯正を行なうことで、成人になった時の後戻りや再治療に対応することが出来ます。この場合でも治療が軽度になる、問題点も少なくなる、治療期間も短く済む、歯や骨に負担が小さい、抜歯の可能性も低くなる、顔立ちが美しくなる、など、メリットが多く、無駄になることはまったくありません。
小児矯正を行なえば、矯正治療が終わった後の仕上がり(歯並びやお顔立ち)が良くなる事は明らかです。

小児矯正の実際
小児矯正の治療例
| 治療前 | 治療後 |
|---|---|
![]() |
![]() |
![]() |
![]() |
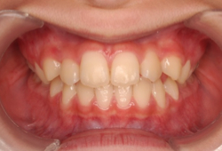
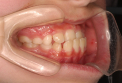
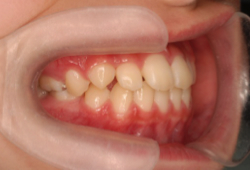
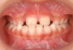
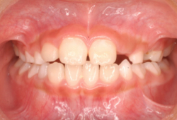
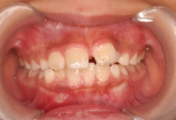
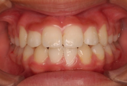
| 前歯は永久歯が生えてきており、受け口になりかけです。奥歯はしっかり咬んでいるのですが、このままでは受け口のかみ合わせ、しゃくれた顔になってしまいます。 | カンファークリニックの小児矯正で歯の生え方を誘導しただけです。 受け口は改善され、顎の発達も調整し、きれいなかみ合わせとフェイスラインを実現しました。 |
| 治療前 | 治療後 |
|---|---|
![]() |
![]() |
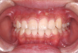
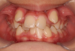
| 奥歯は乳歯のままですが、前歯は永久歯が生えてきました。すきまが大きすぎる様です。このままではすきっ歯になってしまいます。 | 隣に生えてくる永久歯の生え方を誘導してあげて、他の永久歯が生えてくるために必要なスペースを確保しながら、すきっ齒にならない様に歯の生え方を誘導しています。 |
| 治療前 | 治療後 |
|---|---|
![]() |
![]() |
| 奥歯は乳歯の状態ですが、上の歯と下の歯が永久歯に生え換わってきています。その時期に左前歯の生え方がおかしいですね。このままではすきっ齒と乱杭歯になってしまいます。 | 左の前歯とその隣の歯の乳歯と永久歯の生えかわりを誘導しながら、左前歯のよじれを改善し隙間も改善し整えました。 |
| 治療前 | 治療後 |
|---|---|
![]() |
![]() |
| 奥歯は乳歯と永久歯が混在し、前歯は上の歯も下の歯も永久歯の状態です。歯が生えるスペースが足りないので、八重歯、乱杭歯になりつつあります。このような状態でもカンファークリニックの小児矯正は改善できます。 | 歯を抜かないで、あごの骨の成長を促しながら、乳歯と永久歯の生えかわりを誘導します。一番よい時期に永久歯に生えかわることで、きれいな歯並びとかみ合わせを実現できます。 |
乳歯矯正・小児矯正の料金表
| 施術 | 料金(税抜) |
|---|---|
| 相談料 | 5,000円 |
| 乳歯矯正 (上下のあごの骨の誘導と永久歯の誘導、鼻呼吸や嚥下訓練、 指しゃぶりの改善などの矯正治療) | 200,000円 調整料 2万円 |
| 小児矯正(上下のあごの骨の誘導、乳歯、永久歯のかみ合わせ誘導 鼻呼吸、嚥下訓練、永久歯の土台作り) | 630,000円 調整料 3万円 |
小児矯正は歯の移動中に、歯の神経が過敏になり冷たいものや熱いものがしみたりする可能性があります。



















