目立たない矯正
白い装置とワイヤーで
目立たない矯正
歯の色と同じ白い矯正装置や白いワイヤーを組み合わせることで目立たない矯正が可能です。
歯の裏側に装置を付ける方法(見えない矯正)よりは割安に治療ができ、口の中の違和感も少なく、治療期間も短くなります。
目立たない矯正治療は矯正装置の種類とワイヤーを選ぶことができます。
・金属の矯正装置に金属のワイヤー
(もっともスタンダードな矯正治療)
・金属の矯正装置に白いワイヤー
(装置は金属、ワイヤーが白い目立たせない矯正治療)
・白い矯正装置に金属のワイヤー
(装置は白く、ワイヤーが金属の目立ちにくい矯正治療)
・白い矯正装置に白いワイヤー
(装置が白くワイヤーが白い最も目立たない矯正治療)
このほかにゴムをカラフルにした、目立たせて楽しむ矯正治療も展開中!!
矯正装置例
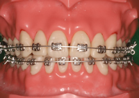
| 装置:金属 ワイヤー:金属 |
装置:金属 ワイヤー:白 |
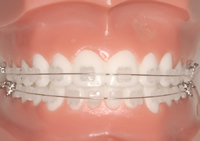
装置:白 ワイヤー:金属 |
|---|---|---|
![]() |
![]() |
![]() |
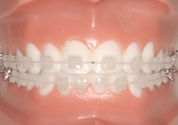
| 装置:白 ワイヤー:白 |
装置:カラー ワイヤー:金属 |
|---|---|
![]() |
![]() |
ホワイトブラケット・
エステティックワイヤー
歯と調和した装置で目立たない矯正

歯の表面に装着する装置に白いものを使用します。現在ワイヤー矯正の主流になっています。
メリット
あらゆる症例の対応が可能
装置が目立ちにくい。
金属アレルギーの方でも対応可能














