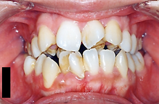
ハリウッドスマイル
セラミック矯正
||| ページ内目次
わずか3回の通院で治療が終了する
驚きの矯正治療法
カンファークリニックが
長年の経験と技術力で
審美歯科、
矯正歯科治療をけん引してきた
当院独自の治療方法です。
わずか3回の通院回数で治療が終了する驚きの治療方法は、芸能界の多くの女優、俳優に支持されている治療方法です。
ハリウッドスマイルセラミック矯正治療はカンファークリニックだけが提供している治療方法です。
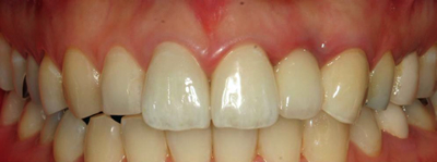
ハリウッドスマイルセラミック矯正歯科治療が目指す歯列矯正治療とは、1本1本の歯の形、色、艶、透明感から、流れるような曲線美の歯並び、上下のかみ合わせを整えて健康とフェイスラインなどの美容を兼ね備えた治療です。
乱ぐい歯、八重歯、出っ歯、受け口、
交叉咬合(こうさこうごう)などの
症状を短期間に治療する方法です。
治療する本数によって1本1本の歯や歯並びのデザインを検討し、くちびるやあご先とのバランスを考えた治療プランを提供しています。
美しい歯並びに見えるために必要な本数の歯を1本1本丁寧に削りながらデザインし、セラミックの歯を作成します。
セラミックの歯の作成期間中はプロビショナル(仮の歯)を装着していますから、他人から見ても気が付かれることはありませんし、食事や会話もいつも通りの生活ができます。


⇒ 上の治療例について詳しく読む

⇒ 上の治療例について詳しく読む
カンファークリニックで提供しているハリウッドスマイルセラミック矯正歯科治療は芸能界では主流とされている高度な治療方法です。
ハリウッドスマイル
セラミック矯正の流れ
カウンセリング
カンファークリニックの審美歯科は、特別なことをするわけではありません。
一番大切なことは、患者様が何を望まれているのか、歯や口元のどの部分を気にされていて、どのような治療をご希望なのか。くわしくヒアリングとカウンセリングを行うことが大切であると私たちは考えています。審美歯科治療に関する希望、費用、治療方法、治療期間などをお伝え頂き、ヒアリングし、「自分の家族であるなら、この方法をすすめる」という方法を提案しています。
検査から診断へ
検査では、虫歯、歯周病の有無をレントゲンの検査、上下の歯型模型による検査、口の中・口元の特殊写真撮影を行い、写真上での検査を行います。審美歯科治療では特に顔の骨格の中で、歯がどこに位置しているかを計測し、かみ合わせの状態・歯の位置・バランスを調べています。フェイスボートランスファーの技術を駆使して、歯型を咬合器という特殊な治療診断機械に装着します。
検査結果をもとに、患者様に必要な治療を診断し提案しています
治療計画の提案と説明
検査結果から、患者様に適した治療方法の提案を行ないます。歯の模型を実際にお見せし、治療前、治療後の口もとの変化を具体的に分かりやすく説明をしています。
そして実際にかかる治療費用、治療期間や回数、治療途中の見た目など患者様のライフスタイルに合わせた治療計画をいくつかご提案します。その中から最良の方法を選んでいただいた後に、治療に移ります。
治療に用いられる素材
1. オールセラミッククラウン
「オールセラミッククラウン」は、透明感にあふれたセラミッククラウンです。出っ歯、乱杭歯、すきっ歯など不揃いの歯列を短期間で治療することができます。
歯の向き・形・大きさ、歯の色を希望通りに治すことができます。
金属を全く使用しないので、歯肉の変色もなく、歯科金属アレルギーの方でも安心して治療が受けられます。治療は数回の通院で終了します。人工歯は光の透過性に優れた素材ですから、自然な色に仕上がります。
2. ジルコニア
「ジルコニア」は非常に硬い素材で、耐久性に優れています。スペースシャトルの断熱保護材やポルシェのブレーキディスクなどに用いられており、過酷な状況下でも強度、耐久性、耐腐食性に優れている事が実証されています。
ジルコニア独自の性質により、細かいヒビから発生する割れも防止します。また、医療分野においては、整形外科領域での人工股関節などにも使用され、安全性も証明されています。すでに欧米ではジルコニアによるオールセラミックが主流の治療となっています
今まで金属で補強していた部分も、ジルコニアならメタルフリー(金属なし)で作れます。歯科金属アレルギーの方でも安心して受けられます。
3. ラミネートベニア
ラミネートベニアとは、歯の表面をごく薄く削り、歯の色をした薄いセラミックのプレートを貼り付ける方法です。
当院では、歯のすき間だけならセラミックラミネートベニア(スカルプ)で治療を行っています。
治療は2回の通院で約2週間で終わります。
カンファークリニックが考える、
ラミネートべニア脱離の原因
ラミネートべニア脱離の原因は、形成の問題、セメントの問題、噛み合わせの問題の3点に分けられます。
① 形成の問題
脱離の原因の多くは、使用してはいけない患者様に、ラミネートべニア治療をお勧めしている場合が多くあります。
ラミネートベニヤ接着の大前提は、エナメル質に接着させるということです。エナメル質の下の層は象牙質であり、この象牙質に至らない範囲で歯を削って、型取りをすることが重要です。
つまり、削りすぎは致命傷です。エナメル接着と象牙質接着では、接着する強さが大きく変わります。象牙質はエナメル質に比べ、水分を多く含んでいる組織です。セラミック素材のラミネートべニアと象牙質は基本的には接着しません。
当院にご来院される患者様で、他院のラミネートベニヤが脱離してくる患者様は、象牙質にまで及んで削られていることがほとんどです。前歯の突出や捻転など、歯並びや形態を改善するために、ラミネートベニヤを選択した場合、飛び出した部分や、捻転部分の切削量が多くなります。その削除のため、一部象牙質が出てしまい、接着が弱くなり脱離の原因になります。
当院では、歯を削る前に象牙質の厚さを測定し、さらに状態によっては、事前に歯科技工士へ診断用ワックスアップ依頼して、最終形成量を決定しているので、削りすぎる心配がありません。
また、形成中に特殊な薬剤を何回も使用し、エナメル質の厚みをチェックしながら、歯を削っています。まれに、エナメル質が非常に薄い場合があり、象牙質の露出が避けれれない場合は患者様にご説明して、治療方法の変更をおこなっています。
② セメント、プライマーの問題
近年使用されているレジンセメントが、プライマー含有型のものが多くなってきています。接着操作が簡便になる利点はありますが、プライマー含有型セメントは接着力が低い欠点があります。
当院では、このようなプライマー含有型セメントはラミネートベニヤ接着には不適応と考えています。
当院ではプライマー非含有型セメントを使用し、セメント接着力は問題ないと考えています。
しかも、前処理剤としてのプライマーを、ガラス浸潤型セラミック用に変更して対応しています。
もし、ラミネートべニアが脱離した場合に、当院ではセメントが、ラミネートべニア内面に残っているのか、歯側に残っているか確認をしております。脱離したラミネートべニアを持参して頂くことで、どちらに接着不良があったか、診断しております。
③ 噛み合わせの問題
患者様自身の個人差による噛み合わせ状態や、片側だけで噛む癖や習慣、偏りの強い患者様では、接着力が重要である、
ラミネートベニヤ治療は脱離のリスクが高くなります。
日本人のエナメル質の量や咬合状態を考えた際、ラミネートベニアは非常に難しいケースと考えています。
歯並びが極端に悪い場合はハリウッドスマイル治療や部分矯正治療をお勧めしております。
4. カーボンファイバーコア
ファイバーコアとは
ハリウッドスマイル法で大切な治療の1つにファイバーコアがあります。歯の生え方や、角度、噛み合わせや位置によって、歯に十分な量の歯質が残っていない場合には、人工の土台(コア)で歯を補強しています。
歯質があまり残っていない歯にセラミッククラウンで治療を行っても、すぐに取れたり、残っている歯が割れたり、虫歯や歯槽膿漏になります。
歯の土台(コア)には、材質によって金属、プラスチック、ファイバーがあります。
プラスチックコアと金属コアに
被せ物をした際の見え方の違い
写真で見る様に金属製の物はグレーに透ける事がありますが、ファイバー製の物を入れる事で天然歯と同様のセラミックを入れる事ができます。

歯の土台(コア)はセラミックをかぶせてしまえば見えませんし、目立たない部分ですが、とても重要な治療であると考えています。どのような素材の土台(コア)を使うかによって、その歯に将来起きるかもしれないトラブルの発生率や歯の寿命が変わります。カンファークリニックのハリウッドスマイル法は基本的な治療としてファイバーコアを採用しています。
歯の土台(コア)は、家に例えるならば基礎工事や柱に当たる部分です。基礎や柱がしっかりしていなければどんなに見栄えのよい家でも長持ちしません。家やビルを建てるときに今までは基礎や柱を硬く丈夫にすることで耐震性を高めてきました。しかし、最近では地震の際などにはあえて力を吸収分散する免震構造により地震から守るという新しい方法が取り入れられています。
このような考え方が歯の治療の主流になりつつあります。被せ物(セラミック)がきれいで長持ちするものでも、その下の土台(コア)や歯の根に問題が起きれば、歯を抜いたり、歯が欠けたり、歯がぐらぐらします。
歯には、食事、会話、運動、仕事の時、毎日いろいろな方向から強い力がかかっています。一般的に使用されている金属の土台(メタルコア)は丈夫ですが硬すぎるため、強い力がかかった時に歯が割れてしまうことがあります。このような状態を歯根破折といいます。歯根破折は縦方向に割れてしまうことが多く、歯の治療が著しく難しくなり、治療というよりは抜歯になる可能性が高くなります。
プラスチックを使用した、レジンコアは手軽で安価ですが、プラスチック特有の可塑性により、ポキッと土台の部分が折れてしまうことがあります。また、長い時間を使うと劣化してしまい、歯がとれたり、外れたりする原因になります。形は作りやすく、操作性は良いのですが、セラミックをかぶせるためにはそこそこの長さと大きさが必要なために、金属ポストの補強が必要な場合が多くなります。経年的な劣化と金属ポストの併用が必要なため、長期間を美しく使用して頂くハリウッドスマイル法には最適な方法とは言えません。
このような状態にならないようにカンファークリニックのハリウッドスマイル治療ではファイバーコアを採用し、さらに使用するファイバーポストを1本だけでなく、2本、3本と使用したトライアングル療法を行っています。
さらに、使用するファイバーはポストだけでなく、繊維を豊富に含んでいるファイバーコアビルトアップ療法を採用しています。
歯にやさしい、硬さや、しなりが歯と似ているファイバーコアを使用することで、歯が受け止める力を分散して破折などのリスクを減らすことができます。
カンファークリニックのハリウッドスマイル法では歯の長持ちを考えて
ファイバーコア療法
ファイバーポストトライアングル療法
ファイバーコアビルトアップ療法
を採用し、安心して治療を受けて頂ける治療方法を提供しています。
ファイバーコアのメリット
- 硬さやしなりが歯とほぼ同じため、歯根破折のリスクが低い
- 強度と耐久性のバランスが良い
- 自然な歯のツヤや色を作ることが出来ます。金属による暗い影がないため、ハリウッドスマイル法に最適です。
- 金属の溶け出し、イオンの放出、劣化による歯や歯ぐきの変色、黒ずみ、金属アレルギーなどの心配がありません。
- 歯を削る量が少なくなります。
ファイバーコア作成の流れ
ファイバーコアを作る前

ファイバーポストデュアル(2本)

ファイバーコアビルトアップ療法

ファイバーコアビルトアップ療法

ファイバーコア完成

治療期間
治療期間 通院は3回。期間は1ヶ月くらい。
治療費
ハリウッドスマイル セラミック矯正
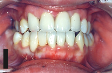
歯の色、艶、透明感を改善した上で、歯並びも美しくできる治療法です。
| セラミックの種類 | 料金(税抜) | |
|---|---|---|
![]() |
ハイブリッドセラミック | 80,000円/本 |
特徴・利点
ハイブリッドセラミッククラウンは、レジン(歯科用プラスチック)にセラミックを混ぜた素材です。レジンは変色しやすいという欠点があり、セラミックには破損しやすいという欠点があります。
その両者の欠点をうまくカバーし、セラミックの変色しない特性とレジンの粘り強さを混ぜ合わせた素材がハイブリッドセラミックです。
•色が天然歯に近い
•硬すぎず、粘り強さを併せ持ち、適度にすり減るので周囲の歯を傷めにくい
•金属を使用していないので、金属アレルギーが起こらない
欠点
•純粋なセラミックよりも強度が劣る
•セラミックより汚れが付着しやすい。
•3年から5年で変色しやすい。
| セラミックの種類 | 料金(税抜) | |
|---|---|---|
![]() |
ハイクオリティセラミック | 120,000円/本 |
特徴・利点
強度があり、しっかりとしたかみ合わせができます。色の安定感もあり、最初に入れた色で10年以上経過しても変わる事はありません。白い部分は陶器、内面はジルコニア、アルミナなどの特殊素材を使用し、体の中でアレルギーを起こす心配もありません。1本1本手作りです。見た目では天然歯とわからないくらいきれいです。ただ、内冠のジルコニア、アルミナと外冠の陶器を焼き付けして作成するので、ジルコニアセラミックと比べると、陶器の部分の剥離が発生することがあります。見た目の問題になることはありません。
ジルコニアセラミックと比べても見た目ではほとんど区別つがつかないくらいです。
欠点
陶器の部分はかける可能性があります。内冠と外冠の剥離が発生することがあります。
| セラミックの種類 | 料金(税抜) | |
|---|---|---|
![]() |
プレミアジルコニアセラミック | 150,000円 /本 |
特徴・利点
強度があるのでしっかりとしたかみ合わせができます。また、色は最初に入れた色で10年以上変色する事がありません。白い部分は陶器で出来ており1本1本手作りです。見た目では天然歯と変わりません。内面から表面にかけてジルコニアと呼ばれる特殊な白い材質を多層使用しています。土台の色が透ける事はありません。
欠点
部分的に陶材で造られています。陶材の部分だけ、かみ合わせによっては剥離する可能性があります。
ファイバーコアポスト
| 内容 | 料金(税抜) |
|---|---|
| ファイバーコアポスト 1本 | 18,000円 |
| ファイバーコアポスト 2本 | 22,000円 |
| ファイバーコアポスト 3本 | 25,000円 |
アフターケア
術後のケアが重要になります。定期的な検査を受けていただきます。状況によって、PMTCによるケアを行います。
注意点
クリニックによっては土台に安価な素材を使用し、さらに別料金を請求するクリニックもございます。当クリニックでは別途で料金がかかることはありません。
表示金額以外は頂きませんのでご安心下さい。
処置方法
矯正器具による歯列矯正は数年かかりますが、当クリニックでの歯列矯正は約2~3回で終了します。
最初のステップとして、歯並びが気になる歯を削って仮歯にします。
このときただ削って仮歯をはめるのではなく、患者様のお顔や、笑った時・話した時の口唇にあわせて歯の形をデザインします。
この段階で歯並びはキレイに整います。仮歯も芸能人が使っている材質デザインを使用しております。
仮歯の素材
![]() |
カンファークリニックは治療期間中の仮歯の素材や作り方にこだわっています。治療期間中も快適に過ごせて、食事や会話の妨げにならないように工夫しています。もちろん見た目も仮歯と分からないようにきれいに仕上げています。 |
仮歯のこだわり
![]() |
カンファークリニックでは治療期間中の美しさの再現のために、プロビショナルレストレーションをおこなっています。仮歯の素材や作り方に徹底的にこだわった、ハリウッドスマイル治療なら、短期治療だけでなく、治療したその日から美しい歯並びになります。 |
カンファークリニックでは仮歯の段階で、患者様のご希望をうかがいながら、歯の形や傾きなど、最終的にかぶせる歯のデザインを行います。
だから、1回目の治療時にそろった歯並びになります。
1回目
歯を削り、土台をつくり、仮歯を入れ、治療後の歯がどのような感じになるかを確認します。ファイバーポストが出来上がるまで1週間(上下でも1週間)程お待ちいただくことになります。
2回目
土台となる歯をデザインをして、歯型を取ります。
3回目
出来上がった人工歯を被せて終了です。
注意点
さし歯とは材質や作り方の点で、まったく異なる治療方法です。
具体的な治療方法
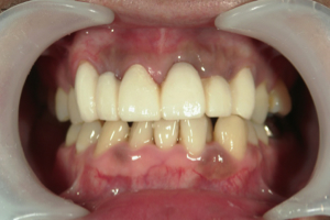
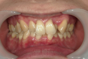
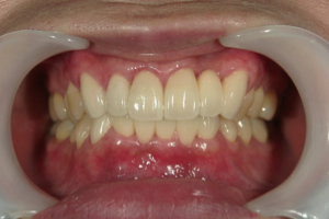
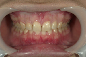
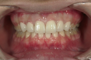
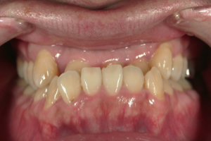
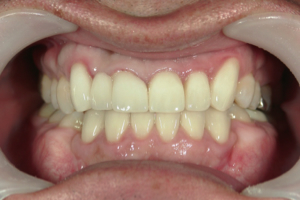
上顎前突(出っ歯)の治療方法
治療前
|
治療後
|
カウンセリングからセラミックスクラウンの製作、装着までの流れをある患者様のケースで説明しております。 |
|
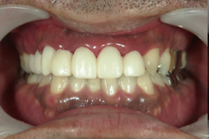
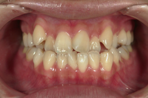
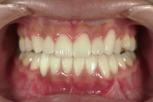
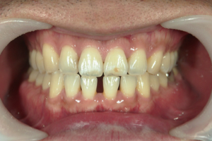
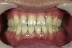
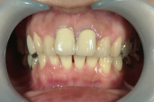
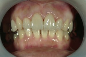
乱ぐい歯、八重歯の治療方法
治療前
|
治療後
|
カウンセリングからセラミックスクラウンの製作、装着までの流れをある患者様のケースで説明しております。 |
|
美しい歯が完成するまで

当クリニックでは患者様の歯の状態に合わせた完全オーダーメイド法を実施しております。これは、治療を行わない歯の状態に極力近づけ、違和感のない自然な仕上がりにするためです。
当クリニックではステイニング(着色)やキャラクタライズ、スキャニング、ダブルスキャニングと呼ばれる技術を駆使して、患者様に最高の仕上がりを提供できるよう努めております。
スキャニング

コンピューターを使って歯の形をとりこみます。歯の形に合ったデザインをします。
ステイニング

仕上がった歯が白すぎるとやや違和感があるので、被せ歯は個々の歯に合わせた着色を行います
キャラクタライジング

年齢とともに歯の表面に出てくるヒビなどをわざと入れる技法です。
あくまでフェイクなので耐久性には全く影響しません。
顕微鏡による精密な作業で、個々の患者様にあった被せ歯をつくり上げます。
一般の歯科で入れた1本だけ色の白い歯。見た目も美しいとは言えません当クリニックのステイニング(着色)とキャラクタライズ技術なら1本だけでもまわりの歯と同じように違和感なく自然に仕上げます。
パターンオーダーが可能です
![]() |
![]() |
![]() |
| スクウェア 四角い・男性的 |
テーパリング 先太り・男性的 |
オボイド 卵型・女性に合う |
注意点
矯正器具による歯列矯正は数年かかるため、基本料金や検査料以外に、矯正が完了するまでの調整料などがかかります。この調整料は治療期間が延びれば延びるほどかかりますのでご注意下さい。(なかには固定額の場合もあります)
木下医師の精密審美歯科治療技術はハリウッドスマイルセラミック矯正歯科治療の精密審美歯科治療として大変重要です。木下医師が目指すこだわり治療をご紹介します。
木下医師による、
ハリウッドスマイルセラミック
矯正歯科治療に
応用されている
精密審美歯科治療のこだわり
1. 無痛治療
あごや小顔に憧れるけど、手術が怖い。
きれいになりたいけれど、歯の治療は怖くてイヤという方には当院独自の無痛麻酔法をお勧めしています。
この方法なら、まったく痛みを感じないで局部麻酔が可能です。歯科治療恐怖症の患者様も快適にご来院頂き、治療を受けて頂いている方法です。
カンファークリニック独自の
完全無痛麻酔です。
これは、Pre Emptive Analgesiaと呼ばれる概念を応用したもので、痛みを感じることが無い間に麻酔が効くシステムです。
カンファークリニックではトリプル処方により、無痛麻酔を行なっています。
ステップ1
方法としては麻酔の針が触れた時の痛みをなくすために、ジェル状の高濃度の表面麻酔薬を歯ぐきに塗ります。【およそ1分】
塗り薬です。
ステップ2
塗り薬がじんわりと効いた頃に高濃度のシールタイプの麻酔薬を貼り付けます。【およそ3分】
この時点で歯ぐきの感覚はありません。
ステップ3
最後に完全自動麻酔器を用いてゆっくりと麻酔薬を注入します。【およそ2分】
麻酔薬は1cc1分の速度で注入することができれば、痛みが無いといわれています。このようにして痛みのない局所麻酔が可能となりました。針自体も今話題の極細注射針を使います。
そして、麻酔がじっくりと浸透するまで、5分ほど待ってから治療を始めます。
こうすることでまったく痛みを感じることなく、完全無痛治療が可能となります。
どうぞご安心ください。
しかし、意識はあるので恐怖感などは消すことができません。
このような場合は、静脈内鎮静法もしくは全身麻酔にも対応しています。
顎顔面輪郭形成手術で行われる全身麻酔は全く意識のない状態で手術が可能です。
特に呼吸や循環に細心の注意を払い、痛みに対しても全くの無痛麻酔が可能な全身麻酔ですので、手術後に麻酔から覚めた後の痛みも感じない方法です。 
安全な無痛麻酔により安心な無痛治療が受けられるシステムです。
2. 短期治療
わずか 1 回~ 3 回で治療が終わる
短期治療にこだわっています。
カンファークリニックでは何度もクリニックに通うことは患者様にとって負担となると考えています。
「なるべく早く治療が終わり、早くキレイになっていただきたい」 そのような思いから短期治療を行っています。
〜 短期治療が可能な理由 〜
短期の治療が可能な理由は、綿密に決められた治療計画と高度の技術を的確に処置するからです。
私たちカンファークリニックは検査、診断から、治療計画の立案まで独自の視点から、的確な処置を積極的に取り入れた治療方法を確立しています。
処置を早く確実に行うための医療体制を確立し、安心安全な診療を提供しています。
また、処置時間の短縮にも積極的に取り組み、処置後の腫れや痛みにも効果を発揮しています。
短期治療は患者様に様々なメリットを提供できます。
このため、受け口や出っ歯、突き出た口元は輪郭手術として骨の手術と、矯正歯科治療としての歯の治療を組み合わせて行うことでより自然に、より体への負担がない短期的な治療プランが可能です。
3. 精密治療
ハリウッドスマイルセラミック矯正歯科治療で大切なことは精密な操作です。
歯やあごには無数の神経や血管が張り巡らされています。
このような血管や神経を傷つけることなく的確な処置を行うことが大切です。
この的確な処置を支えるのは、木下医師の技術と当院の設備です。
歯と歯並び、あごとりんかくのバランスを考え、体にとって最も負担の少ない方法を徹底的に追及しているために、特に精密な治療を心がけています。
ハリウッドスマイルセラミック矯正歯科治療の強みは歯の健康を意識した矯正歯科治療を行っているということです。
つまり、「しっかりと咬めて美しい」ことです。
顔全体の美しさは、口元です。特に美しい歯と歯並び、かみ合わせ、骨とりんかくのバランスがあってこそのものであると私たちは考えています。カンファークリニックのハリウッドスマイルセラミック矯正歯科治療はあごと歯の健康を考えた矯正歯科治療を徹底しています。
カンファークリニックでは、いかに再治療の必要がなく、美しく健康な状態を長期間長持ちさせられるかを意識した「精密治療」を徹底しており、その一環として「マイクロスコープ治療」を導入しています。
カンファークリニックではマイクロスコープを使用して、歯を拡大して診療を行う方法を積極的に取り入れています。
マイクロスコープを用いることで歯の細かい凹凸や、かぶせものと歯が綺麗にフィットしているかなど、肉眼では決して見ることのできないものが見えるようになるため、より精密な歯科治療を行うことが出来ます。
美容矯正歯科としての役割
一般的な歯並び治療、矯正歯科治療で歯並びを整えるだけでは美しい顔貌は得られません。
なぜなら、歯並び、かみ合わせ、フェイスラインを同時に治療する目的で矯正歯科治療を行わなければ、口もととフェイスラインのバランスを取ることができないからです。また、
一般的な美容外科治療、美容皮膚科治療で見た目を整えても、本当の美しい顔貌は得られません。
なぜなら、歯並びやかみ合わせ、顎の位置が顔の中の適正な位置になければ、唇の形やあごの形、えらからフェイスラインまでのバランスを整えることができないからです。
ここでカンファークリニックは 、
噛むという機能だけではない。
見た目という美容だけでもない。
よくばりだから、どちらも大切。
と考えているのです。
”しっかり噛めて美しい”
という言葉は、このバランスを考えて一人一人の患者様が持っている美しさを最大限引き出すために挑戦している思いが込められている証なのです。
治療例
<< 下記以外にもブログで多数の
症例を公開しております >>
治療例 ①
| 治療前 | 治療後 |
|---|---|
![]() |
![]() |
患者さまの声
こんなガチャガチャな歯並びがキレイになるのかと少し不安でした。
最初の仮歯でキレイな歯が入ったので、安心して仕上がりを待つことができました。
治療例 ②
| 治療前 | 治療後 |
|---|---|
![]() |
![]() |
患者さまの声
極度な怖がりで不安いっぱいでしたが、先生もやさしく痛くなく治療してくれたので大丈夫でした。
笑い方も自然に良くなり、今度奥の歯のインプラントをしてもらう予定です。
治療例 ③
| 治療前 | 治療後 |
|---|---|
![]() |
![]() |
患者さまの声
家が遠かったので、無理を言って時間を確保していただきありがとうございました。
食べ物がおいしくなり何でも食べられるので、今後は太らないように気をつけなければ・・・。
年に1回は顔出しますので、忘れないで下さい(笑)。
治療例 ④
| 治療前 | 治療後 |
|---|---|
![]() |
![]() |
治療例 ⑤
| 治療前 | 治療後 |
|---|---|
![]() |
![]() |
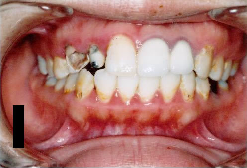
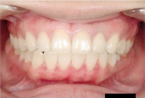
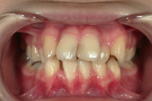
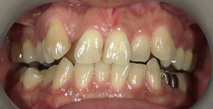
出っ歯、歯並び
| 治療前 | 治療後 |
|---|---|
![]() |
![]() |
ガタガタな歯並びと出っ歯の治療です。出来るだけ抜歯をしたくないと患者様のご希望があり、上下の歯をカンファークリニックのオリジナルデザインのハリウッドスマイル法で歯の形や方向を整えて、治療をおこないました。歯並びも、歯の色も自然に再現しています。
前歯
| 治療前 | 治療後 |
|---|---|
![]() |
![]() |
カンファークリニックでは、ねじれて曲がってしまっている歯や、かみ合わせに、ニューヨークスタイルマウスピース美容矯正、ハリウッドスマイル治療をおこなっています。上の前歯4本のハリウッドスマイル治療により、歯の形、角度、色、バランスを自然な感じに仕上げました。
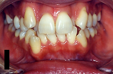
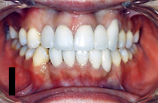
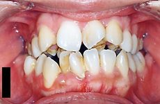
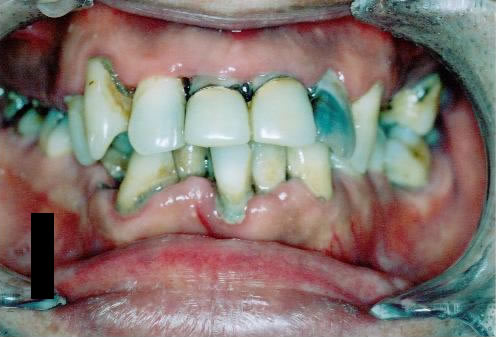
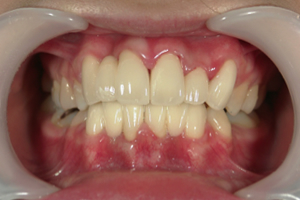
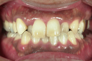
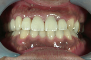
ガタガタ歯並び、乱ぐい歯
| 治療前 | 治療後 |
|---|---|
![]() |
![]() |
ガタガタの歯並びの治療です。お顔のバランスやかみ合わせを考慮したカンファークリニックのオリジナルデザインでハリウッドスマイル治療をおこないました。治療の1回目に左上内側に入りこんでいる歯を抜き、バランスよく歯並びと噛み合わせを整えました。
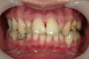
八重歯
| 治療前 | 治療後 |
|---|---|
![]() |
![]() |
ガタガタな歯並びと八重歯をハリウッドスマイル法で2回の通院で治しました。歯の長さと歯ぐきの長さ、あごの長さを適切に整えて、咬み合せも完璧に治療が出来ました。
すきっ歯
| 治療前 | 治療後 |
|---|---|
![]() |
![]() |
すきっ歯の改善をニューヨークスタイル治療法とハリウッドスマイル治療の併用により、咬みあわせと歯のバランス、歯の色、歯の艶の改善を同時に行いました。
すきっ歯
| 治療前 | 治療後 |
|---|---|
![]() |
![]() |
下の前歯のすきっ歯の治療です。ニューヨークスタイルマウスピース美容矯正とハリウッドスマイル治療法の併用で咬み合わせと歯のバランスを整えました。歯の長さや、角度、歯ぐきの位置と、あごの位置を計測し、適切な位置へ矯正しました。
歯の色、歯の艶、歯並びの改善
| 治療前 | 治療後 |
|---|---|
![]() |
![]() |
前歯の歯の色の改善は、カンファークリニックのオリジナルデザインのハリウッドスマイル法なら歯の艶や色、歯並びを自然に整えることが出来ます。治療回数は2回で終了です。
受け口
| 治療前 | 治療後 |
|---|---|
![]() |
![]() |
極端な受け口はニューヨークスタイルマウスピース美容矯正とハリウッドスマイル法で咬み合わせも歯並びも自然に整えることが出来ます。歯の長さや歯ぐきの長さ、あごの長さを検査して治療方針を決めています。通院回数はたった3回です。
あごの整え方
| 治療前 | 治療後 |
|---|---|
![]() |
![]() |
横顔の顎のバランスは、ニューヨークスタイルマウスピース美容矯正の検査分析と、ハリウッドスマイル治療で美しいプロポーションに整えることが出来ます。治療時間は1時間です。手術後は顎先と下唇のバランスが整い、美しいシルエットになりました。
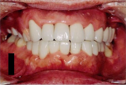
ハリウッドスマイル
| 治療前 | 治療後 |
|---|---|
![]() |
![]() |
前歯2本の歯の色の不自然さとバランスを整えた患者さんです。前歯4本のハリウッドスマイル治療で自然なバランスに整えました。歯の艶や透明感も美しく治療しています。治療回数は2回でした。
ガタガタ歯並び、乱ぐい歯
| 治療前 | 治療後 |
|---|---|
![]() |
![]() |
ハリウッドスマイル治療とニューヨークスタイル治療のコンビネーション治療はカンファークリニックならではの最新の治療方法です。抜歯をしないで、治療をすることが可能なうえに、歯の色や形、艶、透明感を改善しています。
すきっ歯
| 治療前 | 治療後 |
|---|---|
![]() |
![]() |
極端なすきっぱの治療は、カンファークリニックなら、ニューヨークスタイルマウスピース美容矯正とハリウッドスマイル法のメリットを生かした治療をおこなう事が出来ます。通院回数は2回で終わることが出来た患者さんです。すき間が無くなり、色や形が整って、噛みあわせも完璧です。
その他の症例
皆様がよく耳にされる
審美という言葉。
成書には自然や美術などのもつ本当の美しさを的確に見極めること。また、美の本質・現象を研究すること、とあります。このように、審美歯科とは美しさに焦点を当てた総合的な歯科医療分野であり、形態美・色彩美・機能美の調和を図り、人々の幸福に貢献すること、と言われています。
「美は見る者の目の中にある」
歯科医学において美学が必要とされるのは、人間の美的感覚と直接関係しています。すべての人が持っている美の感覚・表現・解釈そして経験がそれを独創的なものにします。また、それは自分の人生観や世界観によっても左右されます。
美容上歯科的処置を行ったとはっきりと認められるのは、西暦紀元前1000年以上までさかのぼります。ピラミッド群の近くにある墓地には、金冠を装着した2本の奥歯が発見されています。エトルリア人は無くなった歯の部分に人間の歯や動物の歯を彫刻して利用する技術がありました。マヤ文明の絶頂期では、歯を複雑な形に削ることや、ひすいの詰め物をいれて装飾する美容法が発展していました。日本では約400年前、装飾的に歯を染める「おはぐろ」は皆様もご存じだと思います。これらは美容的に身体を飾ろうとすることにほかなりません。
そして現代、1960年代に、ある有名な流行雑誌の中で「歯はセクシーである」と大々的な広告がされました。この頃からハリウッドスター達によって、好きな俳優や女優のようになりたい、より魅力的になりたいという社会的な動きがでてきました。「微笑みは人間の外見のうちで人間の外見のうちで最高の魅力になる」という言葉もあります。
しかし、現在の歯科美学は歯の健康の向上の上に成り立っています。ただ装飾的なだけでは成り立ちません。昔は審美と機能は2つの異なった、あるいはまったく別の分野と考えられていました。いかなる審美的処置においても、そこには処置後の結果の自然らしさを備えた容貌と機能が必要となってきます。そして満足度。これが伴わなければ行った治療が、技術的にも機能的にも成功したとしても、失敗となります。一人一人の美的感覚、人間性を理解し、何を求めているかをしっかり共有することが必要となります。
審美は調和により大きく左右されます。正しい調和がとれているなら美しいと思われるし、均整がとれていないと美しいとは思われません。 調和の概念は自然界にも多くみられ、木の葉や花びら、松かさにいたるまで、均整のとれたバランスがあります。このバランスを示す比率は、約1.618:1となり、「ゴールデンプロポーション」といわれています。 歯科においては天然歯を正面から見た際に前歯と犬歯の幅にも当てはまるといわれています。
次に歯の角度と歯茎との位置です。 歯の正中に対する前歯の角度をみたとき、やや内側に傾いています。そしてそれは前歯から犬歯にむかうにつれ、大きくなっていきます。理想的には反対側の歯と左右対称に、ミラーイメージのようになることが望ましいと言われています。 そして歯の位置と歯茎のライン。理想的な天然歯では、中切歯と犬歯を結んだ線より1mm内側に側切歯がくるのが良いとされています。 このように審美には基準とルールがあります。あくまでも基準ではありますが、この健康的で美しいとされるバランスを考慮したうえで、診査・診断の後、一人一人にあった最適な治療と施術を行い、最大限の美しさを引き出さなければなりません。
それではどのような材料が特に審美歯科では必要となるのでしょうか。 代表的な審美歯科修復材料にセラミックス材料があります。 セラミックスは修復材料として1世紀も前から用いられてきました。 金属を使用しないことで、優れた光透過性が実現され、審美性に優れますが、常に強度に問題を抱えていました。そのため、補強効果を得るために内面に硬いコーピング材料を使用し、その上に陶材を盛る必要がありました。
この内面のコーピング材料でセラミッククラウンは分類されます。
代表的なものに金属を使用し、その上に陶材を盛るメタルセラミックスクラウン、そして金属を使用せずコーピング材料までセラミックスを使用したオールセラミックスクラウンがあります。それぞれに特徴があり、診査と診断の後最良の材料が選択されます。適応される部位(前歯か奥歯か)、単独の歯か連結されるブリッジか、どれだけの審美性を求めるのか、土台となっている歯の色の問題、これらの鑑別診断を誤るといくら優れた材料を使用したとしても、失敗におわります。

メタルセラミックスクラウンはその製作方法と合金の違いにより主に3つに分類されます。また、現在まで非常に多くのオールセラミックスシステムが開発されてきましたが、市場に受けいれられ、現在も存在しているものはさほど多くはありません。その中でCAD/CAM技術の進歩により、高い強度のコーピングの製作を可能にしたのがアルミナ製のものでした。さらに現在では、さらに高い強度を誇るジルコニアの登場により強度不足は完全に解決されたといえます。かつては適合性に問題のあったCAD/CAM製品ですが、技術の進歩により25μm前後まで向上し、臨床的にも十分に許容できるようになっています。
オールセラミックスはシリカの含有量によって「シリカベースセラミックス」と「ノンシリカベースセラミックス」に分類されます。前者はガラスセラミックスとも呼ばれ、光透過性に優れ主に前歯の修復に使用されていました。後者は前者に比べ強度に優れており、高強度型セラミックスとも呼ばれます。
メタルセラミックス

メタルボンドクラウン
金属を裏打ち(裏側)として、その上にセラミックス(陶材)を焼き付けたものです。セラミックスクラウンとしての歴史は古く、1960年代から修復治療の主流でした。今現在でもその高い強度と、適合性、長期にわたる臨床的なノウハウと、それに基づく信頼性からから、適応症例によっては積極的に利用されています。
金属を一度溶かして型に流し込み、裏打ちとなるコーピングを作り、その表面に酸化膜を形成させ、セラミックスを焼き付けます。
ただし、内面に金属を利用しているため、光透過性の関係から透明性や色調はオールセラミッククラウンに比べ劣ります。
| メリット |
|
|---|---|
| デメリット |
|
サンライズセラミックスクラウン
一般名ではなく商品名として広く名前が知られています。土台となるコーピングを鋳造せず、何回もローラーにかけ、分子間の密度を高めた強い金属を1.5トンのプレスで加工して作られます。セラミックスの厚みをメタルボンドより大きくとることができ、また明るい純金に近い特殊合金材質のため、当たった光は拡散反射するため、セラミックス部に明るさと立体感をもたらせて自然の歯の輝きを作り出します
| メリット |
|
|---|---|
| デメリット |
|
電鋳メタルボンドクラウン
コーピングをメッキの施術を応用して、電気によって純金を析出させます。その上からセラミックを焼きつけています。純金のため、適合性に優れ、歯茎との境目に気になる黒ずみが出にくく、明るく仕上がります。
| メリット |
|
|---|---|
| デメリット |
|
オールセラミックスクラウン

シリカベースセラミックス
シリカをベースにしたガラスマトリックスの中に結晶粒子を分散させることで強度を増しています。結晶粒子の種類の違いによりさらに細かく分類されます。
光透過性に優れ、天然歯に近い摩耗性を持っているため、天然歯に優しい素材となっています。
近年では90年代に2ケイ酸リチウム製のものが開発され、2005年以降はさらに材料開発が進み、高温加圧成型することで強度を増したものが広く使用されています。その製作方法は、従来の鋳造法における製作過程によく似ています。鋳型を作製し、約800℃でセラミックを溶かして圧力をかけて流しこみます。金属のクラウンを製作するさいの手作業と違って、機械が全自動で行うため、テクニカルエラーが起きにくく、安定した適合の良い製品ができます
ノンシリカベースセラミックス
アルミナ
一般的に酸化アルミニウムをアルミナと呼びます。このアルミナは、陶材や耐火材、研磨剤、触媒、ガラスなどの原料となり、身の回りにも多く存在します。高純度のアルミナはスペースシャトルを被うファインセラミック(耐火材)として有名ですが、化学的に安定しており、融点が高く、とても硬い材料のため、歯科材料として研究開発が進められました。
高密度で焼き固めた緻密な焼結体であり、この焼結体のブロックをCAD/CAMを利用して削り出します。
ジルコニアが認可される以前は、オールセラミックスクラウンの主流として、広く使われていましたが、耐久性がジルコニアに比べて低いため、加工システムこそなくなってはいませんが、現在はジルコニアにシフトされています。
ジルコニア
ジルコニアは歯科だけにある材料ではありません。材料学的に非常に安定しており、高い耐熱性や生体親和性などを持っています。身近なところではCMなどでよく見かける白いセラミック製の包丁などがあります。今日では工業用に広く使用されている一方、バイオマテリアルとしての研究開発は1960年代後半から始まりました。その後医学分野への応用に際しては、イットリウムの添加が注目され、部分安定型ジルコニアとして高い生体適合性と強度をもつ材料として広く使用されるようになりました。最も広く普及しているのが、人工股関節に使用されるボールヘッドです。歯科領域では、補綴修復処置におけるコーピングや矯正治療における装置、近年ではインプラントにも応用されており、2005年に国内での認可がおりました。
補綴修復においてジルコニアは、最終的に高密度焼結体の状態でクラウンのコーピングとして使用されます。製作の過程の中で、低密度の状態でCAD/CAMを用いて切削して高密度に焼結するのか、高密度焼結体の状態で切削するのかのどちらかです。いずれにしろCAD/CAMを用いてブロックを削り出し、製作していきます。
| メリット |
|
|---|---|
| デメリット |
|
近年における新しいジルコニア
ナノジルコニア・ナノライザー
近年研究・開発と実用化が進んでいる新しいジルコニアです。
前述の部分安定型ジルコニアとは組成が違い、Ce-TZPと酸化アルミナのナノ複合体です。高い強度と靱性をもち現在実用化されているセラミックス材料の中で最も高い強度を誇ります。
高透光性ジルコニア
補綴修復におけるこれまでのジルコニアは、強度が高く、研磨により滑沢な面が出せてはいましたが、光の透過性が低く、コーピングとしてのみ使用されていました。そのため、コーピングは割れなくとも、コーピングの上に築盛したセラミックスが割れてしまうという問題が常にありました。ジルコニアの使用頻度が高くなるにつれ、コーピングだけでなく冠全体をジルコニアで作ろうというアイディアが生まれてきました。その時求められるのが光の透過性です。2011年から2013年にかけて多くの会社が光の透過性の非常に高い高透光性ジルコニアを発表していきました。従来のものに比べ格段に光の透過性は向上し、ジルコニア単独でも十分に審美的に満足されるものが提供できるようになりました。
審美歯科修復治療に使用される材料は、セラミックスとレジンと呼ばれるプラスティック材料の2つです。
セラミックス修復は細菌の付着する可能性が少なく、保険修復材料にて使用されるレジンに比べ、生物学的反応における優位性に関しては疑いありません。レジンには変色しやすく破損しやすいという欠点がありますが、近年セラミックスの粉末を混ぜることで、その強度を上げ、両者の欠点をうまくカバーした、セラミックの強度と有機材料の粘り強さを併せ持ち素材が開発されました。それがハイブリッドセラミックスです。
ハイブリッドセラミックス
ハイブリッドレジンとも呼ばれ、レジンにセラミックスの粉末を混ぜた素材です。レジンには変色しやすく破損しやすいという欠点があり、セラミックスには硬すぎて接触する他の歯を傷めてしまうという欠点があります。その両者の欠点をうまくカバーした、セラミックの強度と有機材料の粘り強さを併せ持ち素材がハイブリッドセラミックです。
| メリット |
|
|---|---|
| デメリット |
|
このように、歯科材料はセラミックスだけでも、さまざまな種類が開発されてきました。しかし、古いものが悪く、新しいものが良いということはありません。今後も多くの材料が研究開発されていくことと思われます。
最も重要であり、そして医療として変わらないことは、それぞれの特徴を理解し、状況に応じて適切な診断を行い、最良なものを選択していくことです。ジルコニアしかない、メタルボンドしかない、といった材料の善し悪しで決まるものではありません。あくまでその患者様に最もふさわしい治療方法は何か、というスタンスで治療と材料選択を考える必要があります。
3回で終わる歯並び改善の
症例紹介ブログ一覧
ハリウッドスマイル
セラミック矯正への
よくある質問
Q1. 歯型の模型で出っ歯の程度をどのように判断しているのですか?歯型の模型からわかることを教えてください。
Q2. レントゲンや模型、診察を受けて2本で治療ができる場合と4本で治療する場合、又は6本治療しなければならない場合は何が違うのですか?
Q5. ガタガタの歯並びがどうしてハリウッドスマイル法ではまっすぐになるのですか?
Q6. ハリウッドスマイル法では、出ている歯を削ってかぶせると、どうして引っこんで治るのですか?
Q7. 歯を削ると歯ぐきを削ってしまったり、隣の歯を削ってしまったりしないのですか?
Q8. 歯型を取る材料にはシリコン製の材料と寒天の材料があると聞きました。どのように使い分けるのですか?
Q9. シリコンの印象材は口の中を良く乾燥してからとらないと綺麗に歯型が取れないと聞きました。それはなぜですか?また、口の中を乾燥するなんてできないと思うのですが、どのように工夫してくれるのですか?
Q10. シリコンの印象材にも固いものや柔らかいものがあり、それらを組み合わせて歯型を取るそうですが、それはなぜですか?
Q11. 仮の歯は材料が歯ぐきに良くないと聞きましたが、治療して大丈夫でしょうか?カンファークリニックではどのような予防や対処をしてくれますか?
Q12. 削った歯に仮の歯を合わせるときの注意点はどのようなことですか?仮の歯の歯並びと最終的なかぶせものの歯並びは一緒になりますか?
Q13. 仮の歯の歯並びと最終的な歯並びが一緒になるように歯を作る技工所にどのような指示や打ち合わせをしていますか?
Q14. 歯医者さんで治療をする時にたくさんの写真を撮るときがあります。鏡を使って撮る時もありますが、何に使うのですか?どのように撮れているのですか?みてみたいです。
Q15. 仮の歯の歯型を取るときはありますか?何に使うのですか?
Q16. 最終的なかぶせものを作る時に、一度キャップの試適をさせてくださいと言われました。何の作業をするためですか?必ずしなければいけないのですか?忙しくていけないのですが。
Q17. 技工所の良し悪しですべてが決まると聞いたことがあります。技工所の良し悪しはどのような点で判断できますか?カンファークリニックではどのような技工所を選んでいますか?
Q18. ハリウッドスマイル法で使用するセラミッククラウンを最終チェックするときに、何を点検していますか?
Q19. ハリウッドスマイル法のクラウンセットに際しての基本処置を教えてください。
Q20. かぶせものをくっつけるセメントには色々な種類があると聞きましたが、どのように使い分けているのですか?
Q21. 歯の色はいつ決めるのですか?
審美歯科治療は、破折、色調の再現に限界があります。



















































