インプラント
カンファークリニックの
インプラント治療
![]() |
![]() |
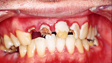
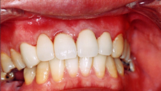
この患者さんは、前歯の虫歯が酷く審美的な改善を希望して来院されました。
奥歯も含め全体的に治療が必要ですが、まずは上の前歯の治療を優先しました。インプラントを2本埋入して、他をセラミック治療しました。前歯のインプラントは、骨の厚みや歯のデザインが難しいですが、約2か月(5回の通院)でキレイになりました。この後、奥歯の治療も順次すすめていきました。
手術時間は1本10分です

インプラント治療は歯を失った場合でも快適なかみ合わせを回復できる高度な先進医療技術です。インプラント治療といってもその方法は様々です。私たちは少しでも早い時期の受診をお勧めしています。
各種検査から始まり、患者様の症状や予算に合ったインプラント材料の選択、サイナスリフト、歯槽骨延長、べニアグラフトなどの高度先端医療技術で安心して頂けるインプラント治療を提供します。
特にカンファークリニックは噛むという機能面の治療は完ぺきにしたうえで、最も得意とする美容的な改善が同時に行えます。 皮膚や粘膜のたるみ、こじわと、かみ合わせ、骨の状態を総合的に診察できます。
担当医はいずれも経験豊富な木下院長のほか、専門ドクターが機能面、美容面を重視して治療にあたります。
私たちはインプラント治療がベストな治療方法とは考えておりません。
患者様の健康を第一に考え、入れ歯や、ブリッジなどの他の治療方法のメリット、デメリットをご説明しています。
すべての治療に長所と短所があります。
患者様の状態に合った治療方法をご提案するように心がけています。
また、「ペリオインプラントセンター」と名付けているのは、インプラント治療には、歯周組織、歯周病の専門知識と技術が重要だからです。
当院では、インプラント治療の際は必ず歯周組織検査や歯周病治療を行っています。
安心してご来院下さい。
治療期間
下顎の場合は、約1か月後
上顎の場合は、約2ヶ月後
治療費
アフターケア
術後のケアが重要になります。定期的な検査を受けていただきます。状況によって、PMTCによるケアを行います。
歯がない状態がもたらす悪影響

1. 抜けた部分とかみ合っていた歯が伸びる。(対合歯の挺出)
2. 両隣の歯が傾いてくる。(隣接歯の傾斜)
3. かみ合わせが狂う。(咬合の不調和)
4. 見た目が悪い(審美的障害)
5. 歯ぐきが下がる(歯肉の退縮)
6. 顔のりんかくがずれる。(顔貌の悪化)
7. 胃腸の負担(内科疾患の助長)
8. 発音障害
9. 脳への刺激の低迷(認知症の誘発)
カンファークリニックの
インプラント治療 - 他院との違い

1. 的確な手術により1本10分の手術時間だから腫れません。
2. ペリオ(歯周病治療)とインプラントの複合型治療です。
3. 明確な料金システムと、インプラントセンターならではの低料金
4. 安心の医療ローンの完備
5. 材質にあった補償制度
6. 院内感染の徹底防止により術後の腫れ痛みがない
7. 美容的な改善の併用
8. 無痛麻酔、無痛治療の実践
インプラント治療の流れ
写真でみるインプラント
![]() |
丁寧なカウンセリング、レントゲン等の検査により、インプラントが可能か、何本どのように入れるかなどを相談する。この患者様は向かって左側の奥歯が2本まったくないため、インプラントを2本埋め込む手術を行ます。 |
![]() |
インプラントを2本埋め込んだ状態。局所麻酔にて手術時間は2本20分位で終了。これからインプラントと骨の自然結合のため傷口を縫合し、平均6週間~12週間ほど治癒期間を経てしっかりした結合を待ちます。 |
![]() |
インプラントと顎の骨との結合を確認して、新しい歯の装着を行った状態です。インプラントにネジ状のインプラント支台を差しこみ、新しい歯を装着します。手術時間は2本30分位。 |
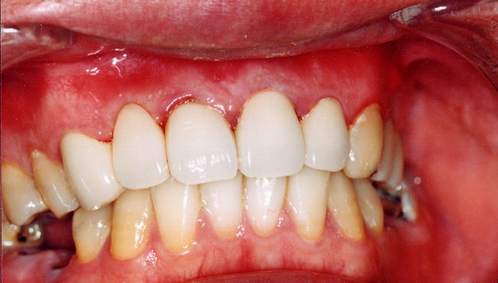
![]() |
天然歯と区別のつけにくいキレイで丈夫なインプラントが完成しました。上の歯との噛み合わせ、周りの歯との色の調和など、確実なカウンセリング・治療計画・最新の技術により完成されます。 |
診断と治療計画

CT検査が特に必要な場合は、「歯がほとんど無い方」「骨の吸収が著しい方」「解剖学的に難しい方」などです。
最近はCTを撮影するのが一般的になってきてますが、歯の欠損が少ないケースでは特に必要でない場合が多々あります。
患者さまの時間や費用負担の無駄を極力減らす為に、当院では特に必要な場合以外は、CT撮影は行っておりません。
被ばく線量を考えると当然のことです。たとえば肺の検診で呼吸器内科がやみくもにCT撮影をしないのはそのためです。
現在の医療は、何でも最新の機器などを使えば安全・安心と言う風潮になっていますが、必ずそうとは限りません。
執刀するDRの解剖学的な知識と、安全に行う技術が一番大切であると、カンファークリニックでは考えています。
そして、検査資料を元に骨の状態などインプラントに適しているか検討いたします。
補助的な手術など必要ないかどうかも審査いたします。
総合的に判断をしてあなただけの最適なプランを計画いたします。
特に「骨の吸収が著しい方」は、自家骨移植や骨補填材料での骨移植を併用しての治療も行っております。
極力回数や期間が少なく終われるような治療計画を立てます。
プランとお見積りをご提示して、再カウンセリングを行います。治療の有無は、この後ゆっくりとご検討下さい。
痛みのない麻酔について
無痛麻酔下で行いますので痛みの心配はございません。
不安が強い方やご希望の方は、笑気麻酔や静脈内鎮静麻酔もございます。
この方法は点滴から麻酔薬を入れて少し眠るような感じになる麻酔です。
不安が強い方などに最適です。
手術後について
麻酔後は数時間お休みいただいて、問題がなければ帰宅となります。
また、手術当日に仮歯を入れる事も可能です。当日からお食事も可能です。
1週間後に消毒と経過観察でご来院いただきます。
下顎の場合は、早くて1か月後から最終的な歯を作る治療にはいります。
上顎の場合は、早くて2ヶ月後から最終的な歯を作る治療にはいります。
最終的な歯は、2~3回の通院で完成いたします。
完成した歯をセットしたら治療終了です。
治療後は3~6か月に一度、定期検診でご状態をチェックいたします。
インプラントの料金表
失った歯を機能的、審美的に改善します。
手術費用
| インプラント 植立する手術 |
![]() |
⇒ | ![]() |
100,000円 |
|---|
| インプラント 植立後、 歯ぐきの手術 |
![]() |
⇒ | ![]() |
70,000円 |
|---|
| 植立するインプラントの種類 | ![]() |
30.000円 |
|---|---|---|
![]() |
70,000円 |
| インプラント 被せもの種類 (アバットメント) |
![]() |
70.000円 |
|---|---|---|
![]() |
100,000円 |
インプラント周囲炎の可能性があるためメンテナンスが必要です。
骨が少ないと言われた方へ
ペリオインプラントセンター
としての機能
歯周病などが原因で骨が吸収し、少なくなってしまった方も安心してご相談下さい。
カンファークリニックは、歯周病の治療・長期安定を視野に入れたインプラント治療を行っております。
骨が少ないと言われた方へ























