虫歯治療
虫歯とは - 病態
| 治療前 | 治療後 |
|---|---|
![]() |
![]() |
お口の中にはたくさんの細菌が住んでおり、その中のひとつストレプトコッカスミュータンスレンサ球菌がおもな虫歯の原因菌です。
ミュータンス菌は、歯の表面のペリクルという保護膜に付着します。お口の中の虫歯菌であるミュータンス菌が、食べ物の中の砂糖を栄養に、歯の表面にグリコカリックスという、ネバネバした物質をつくります。そのネバネバした物質の中に虫歯菌や他の細菌が住みつき、どんどん増殖していきます。これがプラークといわれるバイオフィルムです。
プラークの中の虫歯菌は食べ物の中の「糖質」を餌にし、酸を排泄します。この酸によってしだいにエナメル質を溶かしはじめます。これが虫歯です。
「糖質」は砂糖だけでなく、米やパンにもたくさん含まれており、普通の食事をしていればまちがいなく含まれています。
酸によってバイオフィルムや唾液の中に溶け出したエナメル質の状態が脱灰です。歯のカルシウムやリンが溶けてバイオフィルム中のミネラルが飽和されると、溶け出したカルシウムやリンは再び歯に戻ろうとします。この現象を再石灰化といいます。
脱灰と再石灰化は毎日繰り返されています。フッ素やキシリトールはこの脱灰や再石灰化をサポートします。これが、虫歯の予防や、初期の虫歯にはフッ素や、キシリトールが良いといわれる所以です。
治療方法
初期のムシ歯になった部分を取り除きます。歯を削ると痛みを感じるのは刺激が象牙質の細い管を通って神経に伝わるからです。
虫歯が浅いうちに治療をするとあまり痛まないですみます。1~2回の治療で終わります。
中期の虫歯ムシ歯が深い場合は、ふくとう処置をします。ムシ歯の深い所は神経に近いため、神経を保護する薬剤をつめます。
神経まで達する虫歯の場合は、神経を取る処置が必要となります。
神経処置は初期治療が大切ですので、治療時間と回数はかかりますが、根気よく頑張って治療を受けましょう。3~5回の治療で終わります。
虫歯の治療は保険診療が可能です。
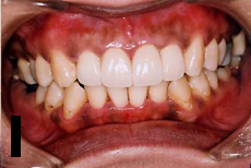
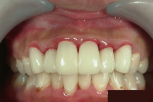
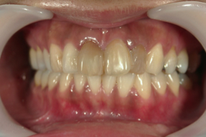
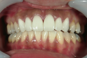
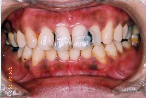
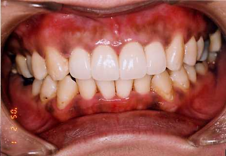
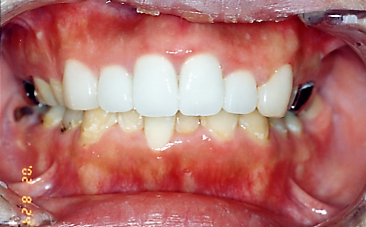
治療例
| 治療前 | 治療後 |
|---|---|
![]() |
![]() |
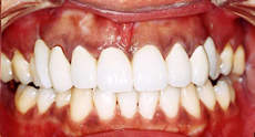
虫歯の治療です。虫歯の治療もハリウッドスマイル法なら痛くなく、短期間で治すことが出来ます。たくさんの虫歯も出来るだけ通院回数を少なくするような治療をおこなっています。大きな虫歯もしっかりと治し、歯が弱くなった部分は歯の補強材をカーボンファイバーで作成しています。治療後は歯ぐきの黒ずみや炎症もなく、きれいな歯並びと噛み合わせ、健康的な歯に治療しました。通院回数は2回です。左下の虫歯も治す予定です。
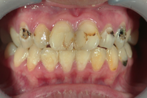
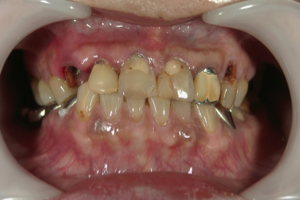
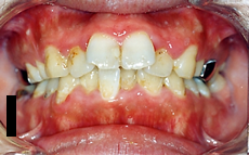
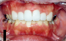
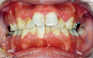
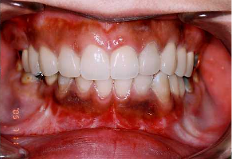
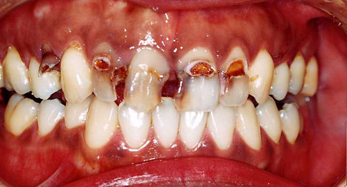
| 治療前 | 治療後 |
|---|---|
![]() |
![]() |
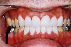
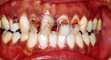
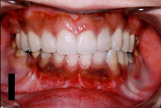
重度の歯周病と虫歯が混在した様態です。歯周病治療は歯石の除去と歯と歯ぐきのトリートメントをおこない、歯ぐきの再生を促す細胞活性化成長因子薬を塗って、歯ぐきの治りを早めました。歯と歯ぐきの境目の赤い炎症は残っていますが、患者様の希望によりセラミックの歯を被せた後に歯ぐきの赤みの残っている部分のみを治療しました。通院回数は3回です。
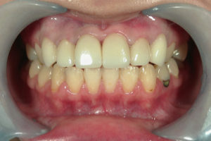
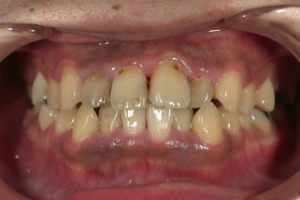
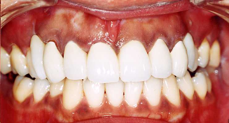
| 治療前 | 治療後 |
|---|---|
![]() |
![]() |
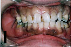
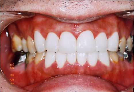
虫歯治療は長くかかってしまう事もありますが、カンファークリニックでは出来るだけ回数や期間が短くなるような方法をおこなっています。この患者様の場合は短期虫歯治療にハリウッドスマイル治療を併用しました。前歯は抜歯をしなければならないほど虫歯が進んでいましたが、抜歯をしたくないという患者さんの希望がありました。そこで、ドクターが最善を尽くし、抜歯をしないで、治療を終了しました。通院回数は4回でした。
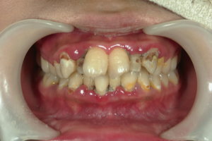
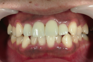
| 治療前 | 治療後 |
|---|---|
![]() |
![]() |
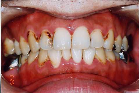
虫歯の治療と歯並びの治療を同時におこなった患者さんです。治療後は虫歯もなく自然な歯並びに治しました。カンファークリニックでは、短期虫歯治療とハリウッドスマイル歯並び治療を併用する治療が最も多い治療です。健康的な歯の色と歯並びは、虫歯や歯周病をしっかりと治してからおこなっていますので、安心してご来院してください。
| 治療前 | 治療後 |
|---|---|
![]() |
![]() |
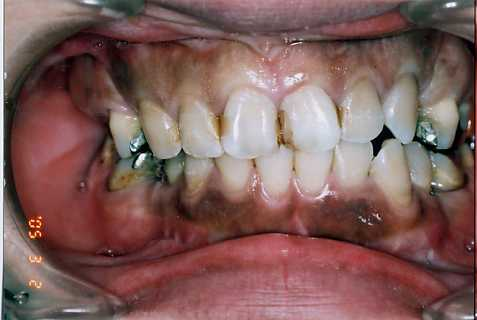
前歯の変色は他人から見てもとても気になります。ただの変色であれば、歯のホワイトリングでも美しく再生することが出来ますが、虫歯が絡んでしまうと、複雑な治療になります。カンファークリニックではハリウッドスマイル法により、虫歯の治療を短期間におこない、変色してしまった部分の歯の治療を同時におこなうことで、治療期間と通院回数を徹底的に減らしています。この患者さんも通院は3回で終了しました。美しい歯並びと形に治りました。
| 治療前 | 治療後 |
|---|---|
![]() |
![]() |
| 治療前 | 治療後 |
|---|---|
![]() |
![]() |
| 治療前 | 治療後 |
|---|---|
![]() |
![]() |
患者さまの声
虫歯の治療と歯並びの治療が同時にできるクリニック選びが苦労しました。家は遠かったですが、しっかりときちんと治療を受けたかったので頑張って通いました。イメージ通りの歯が入り大満足です。検診に通いますので、これからもよろしくお願いします。
| 治療前 | 治療後 |
|---|---|
![]() |
![]() |
| 治療前 | 治療後 |
|---|---|
![]() |
![]() |
虫歯治療の料金表
| 施術 | 料金(税抜) |
|---|---|
| 虫歯1本につき | 15,000円 |
虫歯治療後は神経が過敏になり痛みや知覚過敏などの症状が出る可能性があります。審美歯科治療は、破折、色調の再現に限界があります。































