マウスピース矯正
目立たない、取り外し可能な
マウスピース矯正
マウスピース矯正とは、透明なマウスピースを口の中に装着して歯並びを治療する方法です。
2カ月に一回、新しいマウスピースに交換しながら正しい位置に誘導し、歯を移動させるまったく新しい矯正治療方法です。
治療するマウスピースにはいくつかのシステムが存在します。カンファークリニックでは「インビザライン」「アソアライナー」カンファークリニック独自の「ニューヨークスタイル」というシステムを導入しています。
表側矯正や裏側(舌側)矯正と異なり、装置自体を口の中に装着しないで取り外し式のマウスピースを使用するので、目立ちにくいのが特徴的です。マウスピースのシステムによっては一定期間、表側・裏側矯正を併用することもあります。
取り外し可能ですので、第一に衛生的です。矯正期間中でも食べたい物がなんでも食べられ、装置と歯の間に食べた物が挟まってしまうことはなく、食後の歯磨きやマウスピースの洗浄も簡単に行うことができます。マウスピースを装着する時間が短くなると、治療期間が長くなってしまいます。
たくさんのメリットをご紹介します。
透明だから目立たない
マウスピースはつけていても、他人はわかりません。
いつでも装着いつでもはずせる。
食事の時、人に合う時、デートの時、いつでも好きな時にはずして、いつからでも治療が開始できます。
いつも新しいマウスピースだから衛生的
受診して頂き、経過観察をするたびに新しいマウスピースをお渡しします。いつもきれいなマウスピースでこっそりきれいになります。
痛くない、食べ物がつまらない、金属アレルギーの心配がない、付けていても話しやすいから接客業でも安心。
マウスピース矯正治療一覧
カンファークリニックのマウスピース矯正は、患者様のご要望に合わせた治療提案をさせていただきます。
① ニューヨークスタイル
マウスピース美容矯正
カンファークリニック独自のニューヨークスタイルマウスピース美容矯正におけるマウスピース治療は、インビザラインシステムやアソアライナーシステムのメリットを寄せ集めた当院独自の治療方法です。顎の形や歯の角度、歯の大きさ顔との調和を考えた、一人一人にぴったりのマウスピースを作成します。
⇒ ニューヨークスタイルマウスピース
美容矯正について詳しく読む
② アソアライナーシステム
マウスピース矯正
一般的にマウスピース矯正の場合は、1つのマウスピースで移動できる歯の移動量が限られています(最大で約1mm)。そのために、適切な位置へ歯を移動させるために新しいマウスピースに付け替えながら治療をおこないます。
アソアライナーは、毎月調整に来て頂くときその都度、歯並びの状態を型取りします。毎回の歯型をとる作業が負担に感じる患者様もいらっしゃいます。しかし、毎回歯型を取るため、その時点で最適な歯型を採ることができ、それに合わせたマウスピースを作成できるため、精度の高い矯正治療が可能です。
⇒ アソアライナーシステム
マウスピース矯正について詳しく読む
③ インビザラインシステム
マウスピース矯正
見えない、負担の少ない最先端の矯正
インビザラインシステムには、他のマウスピース矯正にはない大きなメリットがあります。
それは、型取りが治療開始時の1回だけですみ、それ以降はコンピューターのシミュレーションに基づいてマウスピースが製作されるということです。
⇒ インビザラインシステム
マウスピース矯正について詳しく読む
マウスピース矯正は簡単?
このようにご紹介したマウスピース矯正ですが、「マウスピース矯正は特に知識・技術などいらない治療だな」と思われたのではないでしょうか?
まさしく、ほとんどの工程はコンピューターで厳密に処理され、人間の手は加わりません。 しかし、人間の技術が必要な場面がいくつかの工程にあります。
まず第一に、理想の位置をシミュレートする際のセンスです。
理想の位置をコンピューター任せにしていては、一人一人に合った治療は出来ません。コンピューターのシミュレーションは患者様がその場にいなくてもできる治療です。担当医が何度も何度もコンピューター上で理想の位置を設計し、シミュレートします。
第二に、出来上がったマウスピースが歯並びや顎の位置を誘導するために必要な形に仕上がっているのかの判断です。
マウスピース自体に問題があると判断した場合は、再度設計し直し、問題がなくなるまで何度も再作成を繰り返しています。この診査を誤ってしまうと、歯が動かないばかりか、余計に歯並びが悪化してしまう事もあります。
第三に、治療中の動きとシミュレーションとのギャップを埋めるための微調整です。この微調整はまさしく「神(紙)業」です。紙一枚分程度の隙間や誤差を調整していく微調整により理想的なかみ合わせや歯並び、フェイスラインを整えています。
マウスピース矯正治療の流れ
カウンセリング
初回は患者様のお話を伺いながら、治療についてご説明します。どのようなシステムがよいのか、費用の負担、体への負担が最も少ない方法を考え、安心して治療を受けていただけるように分かりやすい説明を心がけています。
精密検査
歯型による咬合模型検査・口腔内写真検査・顔貌写真による顔と顎、歯並びのバランス検査・レントゲン写真によるりんかくとかみ合わせ、顎関節の検査など、治療に必要な検査を行います。
治療計画立案(シミュレーション)
検査結果を元に、治療開始から完了までの歯の動きをシミュレーションします。

治療開始
治療計画をご説明し、ご承認いただけましたら治療開始です。
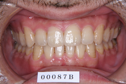
マウスピース矯正の治療例
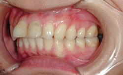
上顎前突(出っ歯)
| 治療前 | 治療後 |
|---|---|
![]() |
![]() |
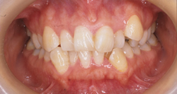
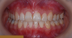
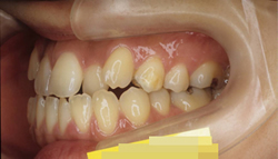
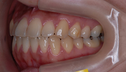
叢生(乱ぐい歯、八重歯)
| 治療前 | 治療後 |
|---|---|
![]() |
![]() |
| 治療前 | 治療後 |
|---|---|
![]() |
![]() |
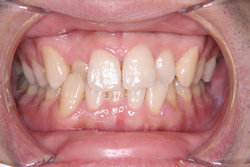
下顎前突(受け口)
| 治療前 | 治療後 |
|---|---|
![]() |
![]() |

















