歯ぐき形成
(ルースキューティクル
ケア)
歯のホワイトニングと
歯ぐきの関係

歯ぐきは健康であれば、キレイな桃色、ピンク色です。 この歯ぐきの色が、実は歯の白さのコントラストに欠かせない要素の1つです。 歯のホワイトニングでは、歯の白さに目が向きがちですが、歯ぐきの色が歯の白さにはとても重要な要素であることは、一般的にはあまり知られていません。
カンファークリニックの歯のホワイトニングは、歯ぐきの色も大切にしています。
そして、歯の白さを際立たせるために必要な要素は、歯ぐきの色だけではありません。 歯ぐきの形もとても重要です。 モデルや芸能人、ハリウッドセレブの「口もと」が美しいのは、歯が白いだけでなく歯ぐきの「色」や「形」にも気を配っているからです。
歯の白さに大切な要素は、歯ぐきの「色」と「形」です。
歯ぐきというと、歯周病や虫歯の予防的なイメージが強いのですが、歯のホワイトニングでも、歯ぐきをきれいな色と形にすることが大切です。
口腔ケアとしてのお口のメインテナンスは、下記の2つに分けられます。
- 虫歯や歯周病・全身の病気の予防のためのメインテナンス
- 見た目・美容・審美としてのお口もとのメインテナンス
例えば、皮膚科の先生がニキビを治すための治療と美肌のための治療を分けていることと同じです。 歯周病のメインテナンスは治療としての位置づけ。歯ぐきのメインテナンスは見た目、美容、審美としての位置づけです。
歯ぐきの構造について
ここで、歯ぐきの構造についてご説明します。
歯ぐきは歯の生え際にある、1cm程度の組織です。 歯ぐきという単語は一般的な名称ですごく広い意味でつかわれています。学術的な用語では、歯肉です。Gingival(ジンジバル)と呼ばれます。歯ぐきと粘膜は同じように見えますが、すごく違いがあります。歯ぐきは歯の周囲をぐるりと取り囲み、歯と密着して細菌の侵入を防ぎ、虫歯や歯周病を予防し、歯の揺れ、赤み、腫れを防ぐ役割を担っています。粘膜とは全く異なる一部が角質化した組織です。
健康のためにはとても大切な歯ぐきですが、そのためだけではなく、美容、見た目のためにもとても重要な役割を果たしています。口もとの美しさの影の立役者、歯と口もとの引き立て役と言えます。
美容という観点で見ると、歯と歯ぐきの関係は、お爪と甘皮の関係にとても良く似ています。ネイルサロンで使う材料が歯の治療に使う製剤と似ていることを思い出してみてください。仮歯やネイルの作り方などすごくよく似ていますよね。そう言われると、なるほど!と納得する点も多いと思います。
歯の周りを囲む、1mm程度の歯ぐきのリングは、お爪の甘皮に例えられ、甘皮がお爪の額縁(がくぶち)であれば、歯ぐきが歯の額縁(がくぶち)と云われる所以(ゆえん)です。歯周ポケットの一部はルースキューティクルといえます。 ネイルと共通している部分の多い、歯と口もとの美しさに欠かすことが出来ない、歯と歯ぐきのお手入れについて説明します。
歯のホワイトニングや歯ぐきケアをすると、歯磨きがしやすくなり、お口もとが綺麗になることでモチベーションが上がり、綺麗なお口もとを維持したくなるため、虫歯や歯周病予防にも一役買うことになります。いわゆる相乗効果です。
ルースキューティクルケア
について

歯のホワイトングに大切な歯のルースキューティクルケアについて説明します。 まずは、それぞれの治療方法と処置の位置づけについて整理してみます。
- 歯ぐきケア = 日常のお手入れ
- 歯ぐき形成 = 歯ぐきのお手入れ、ルースキューティクルケア
- 歯冠長延長術 = ガミースマイル形成
以上3つがあります。
この記事では、②の歯ぐき形成について説明をします。
ホワイトニングに大切な歯ぐき形成を行うポイントです。 歯ぐき形成をおこなうときは、クリニック選びがとてが大切です。 そして、歯ぐき形成のやりすぎ、とりすぎ、こすりすぎに注意することが大切です。
一般の歯科医院の中には歯ぐき形成を歯周病治療としての「歯肉切除」と混同しているクリニックがあります。これは、歯周病を治すという治療と、美容的、見た目としての治療を混同してしまい、美的治療として、除去する歯ぐきと、健康的要素として残すべき歯ぐきの見分けがあいまいな点から起こる誤解です。 カンファークリニックでは、経験豊富な歯科衛生士が患者様のご希望を完璧にサポートし、治療をおこないます。
また、歯ぐき形成を1000症例以上経験した院長が担当しますから、安全に確実にきれいに仕上げています。 ポイント 歯周病治療としての歯肉切除と、歯と歯ぐきを美しく見せるための歯ぐき形成は、全く異なる治療法です。
もう一度言います。 歯周病治療としての歯肉切除と、歯と歯ぐきを美しく見せるための歯ぐき形成は、全く異なります。これは、皮膚科の先生が、お顔のニキビを治すための治療(病気の治療)と肌を白くしたり、シミをとったりする(美肌治療)治療を区別していることと同じです。
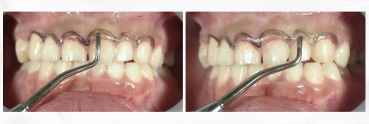
歯ぐき形成で形成する歯ぐきは歯周ポケットの一部のルースキューティクルのみです。歯周ポケットの一部であるルースキューティクルとは、歯の表面に貼りついている薄皮の歯ぐき部分のみを指します。ネイルケアのキューティクルケアと同じです。
歯ぐきを形成するメリット
歯ぐきを形成する理由は、主に以下の5つです。
1. 歯の形を美しく見せる
2. 歯の面積を大きく見せる
3. 歯の色を際立たせる
4. 歯のホワイトニングを長持ちさせる
5. 歯の健康を保つ
カンファークリニックでは、美しいお口もとを維持するために、歯のホワイトニングと同時に歯ぐき形成ををおこなっています。 歯のホワイトニングでは、歯の形と歯ぐきの形を整えることが大切です。
歯ぐきの形を適切に整えることで、歯の形をきれいに見せることができます。形が綺麗になるとで笑った時の歯ぐきが上品になります。そして歯磨きがしやすくなり、歯の白さを保つことができます。さらに歯の白さを保つことで、歯ぐきの色を桃色、ピンク色に保つことが出来ます。
美しい口元のポイント
美しい口もとは歯ぐきの形が整っていて、色はピンク色、歯は真っ白。 唇は朱色、赤色です。 このコントラストバランスがギューッと詰まった口もとを指します。
歯のホワイトニングをすると歯が白くなりますが、同時に整った歯ぐきの形も大切です。しかも歯ぐきの色が桃色であれば、歯の白色は相乗効果でさらに白く見えます。ネイルの甘皮処理と同じように、歯ぐきの色が歯の白さを際だたせることが出来ます。
歯のホワイトニングは歯ぐきのピンク色によって格段にきれいに仕上がります。
歯ぐき形成は歯のホワイトニングを長持ちさせて、歯の形を美しく見せて、歯ぐきの適切な新陳代謝を高めて、キレイなピンク色の歯ぐきの成長を促す効果があります。
キレイなピンク色の歯ぐきだからこそ、白い歯とのコントラストが出来て、美しく見えます。
歯ぐき形成にはデメリットがありません。 歯ぐきの形を整えることは、デメリットがない点も大きな利点と言えます。
もう一度お伝えします。 美しい口元の配色は、「歯ぐきはピンク、くちびるは赤、歯は真っ白」
歯のホワイトニングにおいて歯ぐき形成は大事なポイントです。 歯ぐきをケアしない状態では、歯の表面にわずかな歯ぐきが存在します。爪でいう甘皮(ルースキューティクル)の部分です。
この歯の表面にある歯ぐきを気にしないで歯のホワイトニング剤を乗せると、歯に薬が密着せず浮いてしまい、一時的ですが、歯ぐきが白くなってしまったり、歯ぐきの唾液成分がホワイトニング剤と反応してしまい、ホワイトニング剤の効果が全くなくなります。
(ホワイトニング薬剤は安全のため、ただの「水」になってしまう化学反応を起こします。)また、歯ぐきがぷかぷかと浮いた状態は「リフト」と呼ばれます。(歯周病では病的ポケットと呼びます)
歯ぐきのリフト部分から細菌や汚れが入ることで、せっかく歯のホワイトニングを行なったのに、すぐに黄色い歯に戻ってしまい、長持ちしません。歯ぐきの輪郭は歯の額縁です。
歯の形をきれいに見せて、歯の大きさを整えるためには、歯と密接する歯ぐきの「輪郭」が大切です。きれいな絵がきれいな額縁によってさらに美しくなるように、歯ぐきも額縁と言えます。
歯ぐき形成の流れ

ではここからは歯ぐき形成の流れをご紹介します。
1. お口の消毒をします
歯ぐき形成の下準備として、お口の中の消毒を行い、清潔な環境で処置が行えるようにします。 カンファークリニックでは、イソジンやアズレン、ネオステリングリーン、医療用リステリンなど消毒効果の高いうがい薬を使います。
2. 表面麻酔をおこないます
歯ぐき形成は麻酔をしないと痛みを伴います。この点はネイルの甘皮処理と少し異なる点です。 表面麻酔は、お口の中にクリーム麻酔を塗った後に、シール麻酔を貼り、完璧な表面麻酔をおこないます。
3. 浸潤麻酔をおこないます
表面麻酔が効いてから、浸潤麻酔をおこないますから、まったく痛くありません。歯の治療と同じようなお口の中の麻酔ですが、歯を削ったり、歯を抜くわけではないので、歯ぐき形成専用の体に優しい麻酔薬を使います。
4. 歯ぐき形成では、形成する歯ぐきのデザインをおこないます
歯ぐきの取りすぎ、切りすぎを絶対にしないように、形成部分をマーキングし、形成する前に実際に患者様に見て確認をして頂きます。
マーキングをすることで切りすぎ、取り過ぎないから安心して処置を受けて頂けますし、痛みもありません。
5. 歯ぐき形成をはじめます
電気メスや歯ぐき形成専用のメスを使用して切除します。
まずは1本処置をしたら、鏡で患者様に診て頂きます。 血も出ませんし、腫れもないので、直接見ても精神的なショックは受けません。ネイルケアの甘皮処置を受けている場面を思い起こしてみてください。
6. 歯周靭帯、歯周ポケット、
遊離歯肉、付着歯肉のバランス

解剖構造を熟知したドクターが歯と歯ぐきのバランスを見ながら、歯ぐき形成をおこないます。 不要な歯ぐき部分だけを電気メスで切り取って除去します。 状態によっては歯ぐき形成専用のメスを使うこともあります。
歯ぐき形成専用のメスは文字通り形成専用のメスですので、歯ぐきをシュッとなぞるだけで余分な歯ぐきを切除することができるアイテムです。
便利な一方切れ味が良いので、必要に応じて使用し、切除部分は注意しなければなりません。
7. 歯ぐき形成の終了
1本1本、丁寧に歯ぐきの形を整えます。10分ほどですべての処置が終了します。 歯ぐきの形、色、隣接する歯と歯の間や歯と歯ぐきの状態や位置関係を確認すれば完了です。 終わったら、消毒剤入りのうがい薬でお口を良くゆすいで頂き、消毒します。
8. 鏡で確認して頂いて終了
ご希望部位の歯ぐき形成が終わったら、鏡で確認をして頂き、終了です。 この時点で、ほぼすべての患者様は歯ぐきの形が整って、歯の形がきれいに改善しています。
9. 歯ぐき形成の後の歯ぐきケア
手術後の歯ぐきはとっても敏感です。専用の歯ブラシを使ったケアの方法をプロの歯科衛生士さんから伝授してもらいましょう。
歯ぐき形成の術後ケア

歯ぐき形成の後はおうちでのメンテナンスが大事です。歯ぐき形成はプロの歯科衛生士、歯科医師が術後ケア専用のプローブや探針、プッシャーなど専用の道具を使い、ケアの方法をお伝えしています。
治療後のメンテナンスは毎日、使っている歯ブラシで代用ができる場合もありますが、おうちメンテナンスには、専用の歯ブラシが便利です。 まず形成した歯ぐきを押し上げるプッシャーとして綿棒を使用します。 もし持っているなら、ワンタフトブラシ®で軽く整えるケアがGoodです。 歯と歯ぐきとの境目をくるくるとマッサージするだけでOKです。 歯ぐき形成を行う頻度は、歯のメンテナンスや歯のホワイトングのときに行えばいいので、3か月に1回程度が妥当です。
ただ、3か月に1回は絶対に歯ぐき形成をするべきというわけではありません。
歯ぐき形成を行う頻度やタイミング
歯ぐきの形が不正になったタイミングで処理をするのがベスト 前述の通り歯ぐき形成のおおよその頻度は3か月に1回ですが、歯ぐきの形が整っているならば、日々のお手入れがうまくいっている証拠ですから、処理する必要はありません。 ベストなタイミングは「歯ぐきの形が変わってきたな」「歯の形がきれいに見えないな」と感じた時です。
つまり歯のメンテナンスの時に歯科衛生士さんと相談し、歯ぐきの形がキレイであれば、歯ぐき形成の工程は飛ばして、歯のメンテナンスや歯のホワイトニングをして頂いても構いません。
歯ぐき形成は頻繁に行う必要はありません。
歯ぐきの形が変化するのは個人差が大きく、歯ぐきの状態をしっかりチェックすることがポイントです。
普段から歯のホワイトニングや歯のメンテナンスを行っていて、歯科衛生士、歯科医師のチェックを頻繁に行っている場合あまり歯ぐきの形が大きく変化することはありません。
一度歯ぐき形成をすると頻繁にやりたくなるものですが、歯ぐきの状態をよく見て、むやみに歯ぐき形成をしないよう気を付けてください。歯ぐき形成で気を付けたいことは、以下の2つです。
- 歯のサイドの歯ぐきを忘れないでケアすること
- 歯ぐき形成後のや術後ケアのやりすぎ
それぞれについて、1つずつ解説します。
歯ぐきは歯の表だけでなく、
歯と歯の間、サイドにもある
歯ぐきは歯の表だけでなく、歯と歯の間、サイドにもある 歯ぐきといえば歯の表面部分だけと思いがちですが、実は歯のサイド面である、歯と歯のすき間にも歯ぐきはあります。
歯と歯のすき間の歯ぐきは、良い歯並びの重要な要素ですので、サイドもしっかりチェックしましょう。
歯ぐきのケア方法
歯ぐき形成後の失敗はおうちケアの「やりすぎ」が多い 歯ぐき形成後の失敗といえば、歯ぐきの磨き過ぎ、こすりすぎが多いです。 歯ぐき形成後におうちケアをやりすぎてしまったときの対処について解説します。
歯ぐき形成後におうちケアを
やりすぎてしまったときの対処
歯ぐきをこすりすぎたり、歯を磨き過ぎたりといった失敗は多くの方がやりがちです。
やりすぎたら傷になるので、歯ぐきの部分に強い痛みを感じます。 歯磨きをやりすぎてしまったときの対処は、残念ながら歯ぐきが治るまで待つしかありません。 痛いとは思いますが、磨き過ぎてしまった部分はしっかり消毒して、治るのを待ちましょう。 やりすぎてしまっても、キレイに治ります。 歯ぐき形成をおこなった後は歯ぐきや歯が乾燥しやすくなるので、定期的に歯ぐき専用のペーストを使用して保湿してあげることも大事です。
歯ぐき形成では、余分な歯ぐきを切らないように十分気を付けることが重要です。 歯ぐき形成をした後は、ブラッシングを行っても大丈夫です。 歯ぐき形成をおこなった部分の傷があまりに痛かったり腫れたりして気になる場合は、一度受診しておくと安心です。
人によっては歯ぐき形成処理が怖い、気持ち悪いと苦手意識を持っている方もいらっしゃるようです。
歯ぐきをあまり触りたくない場合は、歯科衛生士による歯と歯ぐきのメンテナンスだけでも問題ありません。 ただ、歯ぐき形成に苦手意識を持っている方の多くは、どのような処置をするのか曖昧な状態で、歯ぐき形成のメリットを理解していない場合が多いようです。 歯ぐき形成処理=歯ぐきをすべて切り取る、引きちぎるというイメージを持っている方も多いようです。
歯ぐき形成は歯ぐきをやみくもに切るのではなく、あくまでも余分な歯ぐき部分のみを除去します。ネイルの甘皮処理と同じです。
歯ぐき形成のまとめ

歯ぐき形成について、聞いたことがあるけど、処置を受けたことがない方のためにわかりやすく解説をおこないました。 また、処置を受けた後の失敗や処理の手順、おうちでおこなうアフターケアアイテムについてご紹介しました。
歯ぐき形成のポイント
1. 歯ぐき形成とは、歯の生え際にある余分な歯ぐき(ルースキューティクル)を除去すること
2. 見た目・美容・審美としてのお口もとのメインテナンス
3. 歯ぐき形成の初心者はアフターケアをやりすぎて失敗することが多いので、歯ブラシを当てすぎない、こすりすぎないようにすることが大事
4. 歯のホワイトニングをきれいに仕上げたり長持ちさせたり、口もとを美しく演出するためには、歯ぐき形成は大事な下準備の1つです
美容的な処置に興味がない場合や、一般的には歯周病や虫歯の治療以外には、歯ぐきを気にしない、歯ぐきケアをしない人が多いと言えます。 素敵な笑顔のためには正しい方法、歯ぐきケアを理解して、お口もとのメンテナンスやケアに役立ててください。
今回ご紹介したように、歯ぐき形成は素敵な笑顔に不可欠です。 この記事を参考に、適切な歯ぐきケアを行ってくださいね。
歯ぐき形成の料金
| 施術 | 料金(税込) |
|---|---|
| 歯ぐき形成(歯冠長延長術) | 110,000円 |









