指しゃぶりと歯並びの関係
||| ページ内目次
子どもの発達と指しゃぶり
指しゃぶりに対する専門領域の意見が異なるため、指しゃぶりを気にしている保護者に不必要な不安を与え、乳幼児健診や育児相談の場において混乱が生じているのが現状です。
そこで専門家の考え方や文献的考察を基にして、小児の指しゃぶりは何歳頃まで見守ってよいのか、何歳頃にどのような状態であったら、どのような積極的支援を行ったらよいのかなどの現時点における統一的見解をまとめました。
胎児期(胎児のころ)
胎生14週頃より口に手を持っていき、24週頃には指を吸う動きが出てくる。そして32週頃より指を吸いながら羊水を飲み込む動きも出てくる。胎生期の指しゃぶりは生まれて直ぐに母乳を飲むための練習として重要な役割を果たしていると考えられている。
乳児期(0歳のころ)
生後2~4か月では口のそばにきた指や物を捉えて無意識に吸う。5か月頃になると、なんでも口に持っていってしゃぶる。これらは目と手の協調運動の学習とともに、いろいろの物をしゃぶって形や味、性状を学習するためと考えられている。つかまり立ち、伝い歩き、ひとり立ちや歩き始める頃は指しゃぶりをしているとこれらの動作が出来ないので減少する傾向にある。
幼児期前半(1~2歳)
積み木を積んだり、おもちゃの自動車を押したり、お人形を抱っこしたりする遊びがみられるようになると、昼間の指しゃぶりは減少し、退屈なときや、眠いときにのみ見られるようになる。
幼児期後半(3歳~就学前まで)
母子分離ができ、子どもが家庭から外へ出て、友達と遊ぶようになると指しゃぶりは自然と減少する。5歳を過ぎると指しゃぶりは殆どしなくなる。
学童期
6歳になってもまれに昼夜、頻繁に指しゃぶりをしている子が存在する。特別な対応をしない限り消失することは少ない。
指しゃぶりの頻度
平成14年の東京都K区での井上らの調査によると、1歳2か月児(393名)、1歳6か月児(557名)、2歳0か月児(472名)、3歳0か月児(695名)における指しゃぶりの頻度は、28.5%、28.9%、21.6%、20.9%と2歳以降やや減少するものの20%台であった。また浅見らによると、平成8年に山形県T市周辺で3歳児健診を受けに来た7,900名についての調査では、指しゃぶりの頻度は居住地により差はあるものの12.9~19.4%であった。米津らによると指しゃぶりの頻度は4歳以降になると減少していた。
指しゃぶりの弊害―噛み合わせ(咬合)や構音に及ぼす影響
しゃぶる指の種類やしゃぶり方にもよるが、指しゃぶりを続けるほど歯並びや噛み合わせに影響が出てくる。指しゃぶりによる咬合の異常として次のものが挙げられる。
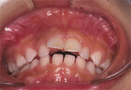
(1)上顎前突:上の前歯が前方に出っ張る。
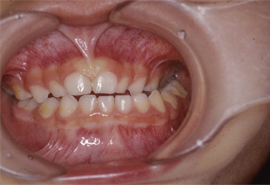
(2)開咬:上下の前歯の間に隙間があく。
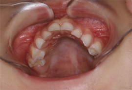
(3)片側性交叉咬合:上下の奥歯が横にずれて中心があわない。
![]() |
【写真1】 5歳児の親指しゃぶりによる上顎前突(前歯2本)の突出がみられる。 |
![]() |
【写真2】 6歳児の親指しゃぶりによる開口。上下の前歯が咬み合っていない。 |
![]() |
【写真3】 昼間も継続する指しゃぶりにより交叉咬合を生じた3歳児。 |
※日本小児歯科学会HPより転載 |
【写真4】 写真3と同一児で、上顎歯列は前突,頬窄してV字形を呈している。 |
このような咬合の異常により舌癖、口呼吸、構音障害が起りやすい。指しゃぶりにより上下の歯の間に隙間があいてくると、その隙間に舌を押し込んだり、飲み込むときに舌で歯を強く押し出すような癖が出やすくなります。
このような癖を「舌癖」といいます。舌癖のある児は話をするときに前歯の隙間に舌が入るため、サ行、タ行、ナ行、ラ行などが舌足らずな発音となることがあります。
前歯が突出してくると、口唇を閉じ難くなり、いつも口を開けている癖がつき、鼻や咽の病気がないのに口呼吸しやすくなります。
指しゃぶりに対する様々な考え方
小児科医
指しゃぶりは生理的な人間の行為であるから、子どもの生活環境、心理的状態を重視して無理に止めさせないという意見が多い。特に幼児期の指しゃぶりについては、不安や緊張を解消する効果を重視して、歯科医ほど口や歯への影響について心配していない。
小児歯科医
指しゃぶりは歯並びや噛み合わせへの影響とともに、開咬になると発音や嚥下、口元の突出、顎発育への影響も出てくる。不正咬合の進行を防止し、口腔機能を健全に発達させる観点からも、4~5歳を過ぎた指しゃぶりは指導した方がよいという意見が多い。4歳以下でも習慣化する危険がある児に対しては指導する必要がある。
臨床心理士
指しゃぶりは生理的なものとしながらも、4~5歳になっても持続する場合は、背景に親子関係の問題や、遊ぶ時間が少ない、あるいは退屈するなどの生活環境が影響しているので、子どもの心理面から問題行動の一つとして対応する。
指しゃぶりへの対応
(1)乳児期:生後12か月頃までの指しゃぶりは乳児の発達過程における生理的な行為なので、そのまま経過をみてよい。
(2)幼児期前半(1~2歳まで):この時期は遊びが広がるので、昼間の指しゃぶりは減 少する。退屈なときや眠いときに見られるに過ぎない。したがって、この時期はあまり神経質にならずに子どもの生活全体を温かく見守る。ただし、親が指しゃぶりを非常に気にしている、一日中頻繁にしている、吸い方が強いために指ダコができている場合は4~5歳になって、習慣化しないために親子に対して小児科医や小児歯科医、臨床心理士などによる対応が必要である。
(3)幼児期後半(3歳~就学前まで):この時期になるとすでに習慣化した指しゃぶりでも、保育園、幼稚園で子ども同志の遊びなど社会性が発達するにつれて自然に減少することが多い。しかし、なお頻繁な指しゃぶりが続く場合は小児科医、小児歯科医、および臨床心理士による積極的な対応が必要である。
(4)小学校入学後:この時期になると指しゃぶりは殆ど消失する。この時期になっても固執している子、あるいは止めたくても止められない子の場合は、小児科医、小児歯科医および臨床心理士の連携による積極的対応を行う。
全体として指しゃぶりについては3歳頃までは、特に禁止する必要がないものです。それと同時に保護者は子どもの生活のリズムを整え、外遊びや運動をさせてエネルギーを十分に発散させたり、手や口を使う機会を増やすようにしましょう。
スキンシップを図るために、例えば寝つくまでの間、子どもの手を握ったり、絵本を読んであげたりして、子どもを安心させるようにするなどが好ましいでしょう。
文献
1)井上美津子:子どもの口に関わる各種の習癖について.チャイルドヘルス,7(6):416-419,2004.
2)米津卓郎、黒須美沙、門屋真理、牛田永子、薬師寺仁:非栄養学的吸啜行動が小児の咬合状態に及ぼす影響に関する累年的研究. 歯科臨床研究 2(2) : 50-57, 2005












