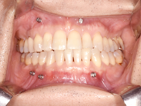
歯の真ん中が上の歯に比べて下の歯は、向かって右にずれています。お口の中の金属は固定用のスクリューです。
下顎枝垂直骨切り術
(IVRO)
【受け口セットバック手術】
下顎枝垂直骨切り術(IVRO)とは

下顎枝垂直骨切り分割法は、下顎の形態を改善させ、咬合機能の維持、向上を同時に図るための下顎骨体の手術である。
手術上の利点は骨片間の固定をおこなわないため、顎関節症患者にも適応でき、顎関節症の治療としても有用である。その治癒形態は下顎頭位置が周囲組織の緊張によって自然に決定され、顎関節運動は生理的な条件下のもとに再構成される。さらに歯の形態、歯列、咬合関係と顎関節運動の不調和による顎機能改善が可能である。その他、手術時間が短く、エラ張りの改善が可能であるため、小顔効果があるとされている。
欠点としては、手術による咬合の変化は手術後の歯列矯正、顎間ゴム牽引が必要であり、日常生活の不自由な点である。
下顎枝垂直骨切り手術は字の通り、側貌から見て下顎枝を垂直に縦に分割させ下顎全体を移動させる手術方法である。下顎全体が後ろに下がる手術だが、エラの改善や小顔効果に有効といえる。
手術について
手術操作は簡便といえるが、下顎枝後縁から下顎孔の距離を確認しておくことが重要である。下顎孔よりも前方で骨切りをおこなわないように気を付けなければならない。手術は視野の確保がおこない易い側からおこなう。
後方移動量が10mm以上の場合には筋突起が関節頭と干渉する場合があり、その場合には筋突起切除を併用する。筋突起の切離は垂直分割の前におこなわなければ、骨片が移動して骨切離、骨切除に難渋する。その意味でも術前の手術計画が重要である。
下顎枝垂直骨切り術のポイント |
|---|
骨格性下顎前突症状に対しておこなう下顎枝垂直分割手術は受け口、しゃくれ、反対咬合を整えて美しいお口もとを目指すことができます。 |
下顎枝垂直骨切り術(IVRO)が
おすすめの方
- 骨格性下顎前突(反対咬合、しゃくれ顔、受け口)
- 下眼瞼の伸展(あっかんベーのような目元)
- 歯列矯正をしたくない
- 中顔面の陥凹
- E-Lineを整えたい
- エラ改善
- 小顔
下顎枝垂直骨切り術(IVRO)の概要
| 施術 時間 |
約60分 |
|---|---|
| 治療 期間 |
日帰り |
| 麻酔 | 全身麻酔または静脈内鎮静法 |
| ダウン タイム |
大まかな腫れや内出血が引いてくるまでに、2~3週間程度です。 組織が完全に落ち着くまでは3ヶ月~6ヶ月程度です。 ※いずれも個人差があります。 |
| 費用 | 1,800,000円(税抜) |
下顎枝垂直骨切り術で期待できる効果
- 顔の幅が小さくなり、かわいらしい顎になる
- 顎先がお顔の中心になる
- 額、お鼻、唇、顎のバランスが整い、柔らかい女性的な印象になる
- 反対咬合、受け口、しゃくれ顔が治りスッキリした印象を目指せる
下顎枝垂直骨切り術(IVRO)の流れ

1. デザイン
CBCTやパノラマレントゲンをもとに、移動する下顎の予定位置や骨切りラインの神経、血管の走行に留意してデザインをおこなう。
2. 麻酔、抜歯
全身麻酔または静脈内鎮静法にて無意識の状態で歯科用2%キシロカインカートリッジ1,8mlを適宜アンプルを使用し、局所麻酔を併用する。
3. 切開、剥離
外斜線上第一大臼歯遠心から第二大臼歯遠心まで、15番メスまたはellman社製電気メスを用いて粘膜切開をおこなう。
歯肉から2mmほど外側に設定し、縫合時の縫い代を確保する。粘膜切開のみにとどめ、骨膜切開とは分けておこなう。切開範囲は小さくても後に自然に広がってしまうので、切開の時点で広げすぎないことがポイントである。
粘膜切開をおこなうと神経繊維や動静脈が粘膜下に透けて見える。フリルを使用し後の手術操作で損傷がないよう剥離、伸展をおこなったのち、改めて15番メスを用いて粘膜切開下の下顎枝前縁に沿って骨膜切開をおこなう。切開部より骨膜剥離子を挿入し、剥離、伸展をおこなう。骨膜下剥離は高位への剥離は慎重におこない、バッカルファットの露出がないように努める。
下顎枝前縁から骨膜剥離子を下顎切痕方向に挿入し、咬筋下に進めたならば、そのまま下方へ滑らせ、下方の前角切痕、下顎角に向けて広げていく。下顎枝後縁は内側に回り込むように剥離をおこなうが、茎突下顎靭帯を剥離しない程度にすすめ、下顎骨下縁は内側翼突筋と咬筋のスリングを剥離し、下顎枝後縁、下部にスプーン鈎がスムースに入る程度まで進展しておくと、垂直骨切り後に骨片の分離が容易となる。
下顎枝外側にBauer鈎を使用することもできるが、術者はカスタムメイドのスプーン鈎を使用している。術野の確保が確実になり、手術操作が簡便になる。下顎枝前縁の付着が強い場合は、筋突起用V字型剥離子(つばめ鈎)を使用して、筋突起に付着する側頭筋を上方へ展開する。
4. 骨切り、骨切離
下顎枝内側の下顎孔の位置は事前に確認しておく。オシレーティングソウを下顎孔相当部分の高さで、下顎枝後縁から6mmほどの部位から始めるが、刃先がぶれることを防ぐため、ラウンドバー、骨バーで骨切り予定位置に、骨髄からの出血を認めるすれすれの位置までガイドグルーブを形成しておくと、スムースなブレード操作が可能である。
下顎枝後縁が内側に湾曲している症例が多いので、後縁の確認はスプーン鈎を後縁にかけて位置確認をおこなう。介助者に逆そりの金鈎で支持してもらうことも有益である。下顎孔相当部の下顎枝外面の小突起(antilingular prominence)を目安にすることもできるが、有用であるとは言えない。やはり、しっかりと目視確認をすべきである。ボーンブレードが一定の深度に達する前に、後縁からの距離や位置を再度確認する。
下歯槽神経血管束は下顎孔に入る手前では骨面から離れている。下顎孔から2mm程度であれば、刃先が骨面を貫通し、内側に突出しても下歯槽神経血管束の損傷は起こらないが、下顎枝矢状分割術と同様に内側にFreer剥離子を挿入し、内側の軟部組織を軽く剥離しておくことも有益である。
骨切りを開始し、ブレードの方向を確認しながら、中断することなく下方へすすめる。途中で中断して確認するため刃先を骨面から抜いてしまうと、再度挿入することが難しい。下縁まで到達させる場合に、術前の予定位置としての後方移動量に応じて骨切り線を前方に緩い湾曲を与える場合もある。後方移動量に応じて徐々に角度をつけるが、刃先が折れてしまったり、不適当な角度の形成により、骨片の移動の妨げになる場合もある。
無理をしないでブレードを交換し、角度を変えて骨切りをおこなうか、下縁まで到達させたのち、移動状態に応じたトリミングで対応することも可能である。下縁までの骨切りが終了したならば、上方へ移動させ下顎切痕に向けて骨切りをおこなう。咬筋神経、咬筋動脈は鈎によって保護しておく。
5. 骨片の分離
骨切りが完了したら、後方骨片にスリングストリッパーなどを使用し、外側に牽引する。骨片が分離しない場合は、下顎切痕部分または、下顎骨下縁の骨切りが不十分な場合が多い。再度点検し不十分な箇所があれば、骨切りをおこなう。それでも分離しない場合には、前方骨片と後方骨片の圧力も考えられる。
骨膜剥離子を分離した骨片間に挿入し、前方骨片を前方に押し出し、後方骨片は外側にはねるようにねじると、後方骨片の下方部分が露出する。セパレーターを使用することも有益である。内側翼突筋の付着がある場合には、外側への移動の干渉になっているので、内側翼突筋を可及的に剥離する。内側翼突筋の剥離範囲を最小限にとどめることで、内側翼突筋が後方骨片の前方骨片への付着の補助の役割を果たし、後方骨片の回転移動の予防、関節頭の下垂の防止につながる。
後方骨片の移動により、前方骨片の可動が確認できたならば、咬合状態、経皮的な顔面形態を観察する。
6. 顎間固定
前方骨片、後方骨片の位置状態、顎関節の位置状態、咬合接触関係、顔面形態を観察し、良好な位置付けがなされたならば、一時的なゴム牽引をおこなう。
骨片同士の干渉は前方骨片の後上方面の下顎切痕部分の干渉である。この部分が干渉の原因である場合が多く、トリミングをおこなえば、後方骨片の跳ね上がりは改善する。骨バーや超音波切削機械で前方骨片の骨切り外側面、後方骨片の内側面の干渉部分を削合する。内側の軟部組織は自在鈎などで保護する。
7. 縫合
生理食塩水を用いて、術野を十分に洗浄し、術野を確認する。止血には点滴用抗凝固剤含有の圧迫ガーゼを使用している。左右下顎枝外側に持続陰圧吸引ドレーンまたは、ペンローズドレーンを留置する。
Air tightな縫合をおこなう必要がある。止血確認後、骨膜縫合と筋層縫合は吸収糸を使用する。吸収糸の使用により抜糸は不要となる。吸収糸はおよそ1か月で吸収し、生体内に分解される。骨膜は非常に薄く、骨に栄養を与える役割があるため、骨膜縫合は手術後の骨の治癒には非常に重要となる。
とくに下顎枝垂直分割手術では、骨片間の固定をおこなわないために大切となる。骨膜の縫合に使用する糸は、骨の治癒期間に相当する吸収まで120日程度の比較的長期残存型の糸を使用する。つまり骨面の治癒、癒合まで糸が残存し骨膜を補強し、骨の治癒、癒合をサポートする。
骨膜縫合に続く筋層の縫合は手術後の表情に重要である。この部分に使用する糸は左右差が出ないような張力のある縫合糸と縫合方法を選択している。下顎枝垂直分割骨切り術IVROによる、小顔形成、エラ形成の手術後に顔の表情が不自然になったという場合は、この部位の縫合の一工夫が足りないと考えている。手術後の表情の動きと連動するような縫合糸や縫合術式を選択すべきである。とくに骨に骨膜があったように、筋肉にも筋膜が存在する。この筋膜と各筋肉の線維と線維の走行を確認しながら縫合することによって、手術後の表情、仕上がりが格段に変化する。
そして最後は粘膜の縫合である。口腔内はドレープやテーピングによる、圧迫や固定ができない。このような観点から粘膜縫合は手術直後から食事をするために可動性の確保が必須となる。粘膜縫合は粘膜の可動性を確保した状態で、粘膜と粘膜が接している状態(軽く接する程度)を維持できる程度の縫合糸の張力、弾性力の縫合糸を選択している。粘膜は治りが早い組織であるため、縫合糸が溶けるまで期間は15日から30日程度の縫合糸を使用している。縫合糸が口の中の動きを妨げないよう、比較的短い、やわらかい、違和感の少ない縫合糸を選択する。
すべての縫合が終了したら、止血を再度確認し手術を終了する。
8. 術後
ご休憩いただき、問題がなければご帰宅いただきます。
手術後について
| 創部の圧迫 | 手術日の翌日までテーピング圧迫をおこないます。手術日の翌日にご自身で除去して頂きます。 |
|---|---|
| 術後の通院 | 定期的な通院は不要です。患者様のご希望により、診察をしております。 |
| 抜糸 | 溶ける糸を使用します。手術後1か月ほどで自然になくなりますので、ご来院は不要です。 |
| 洗顔 | 圧迫用テーピング部位以外は当日より可能です。 |
| 入浴 | 軽めの入浴は当日から可能です。シャワーも当日から可能です。 |
| メイク | テーピング除去後、手術の翌日から可能です。 |
| その他 | 手術後7日間は、喫煙をお控えください。 |
下顎枝垂直骨切り術(IVRO)の
骨切りデザイン
① IVROの
骨切りデザイン
② IVROの
骨切り
③ IVROの骨切り結果と
干渉部分のチェック
④ IVROの骨切り結果と
可動時の干渉部分のチェック
実際の下顎枝垂直骨切り術(IVRO)の様子
IVROの手術のはじまり

右側のかみ合わせを確認しています。

お口の中の状態を確認します。
頬っぺた側、舌側の粘膜を伸展させます。

使用するのこぎりです。
テープの位置は神経にぶつからないようにするためのガイドラインです。

IVROの手術
切開して、骨を露出します。

舌側の神経に気を付けながら、骨を切り始めます。

骨が切れて、分離しました。

干渉部分を鏡で確認して切除します。

ぶつかっていた骨を取り除きます。

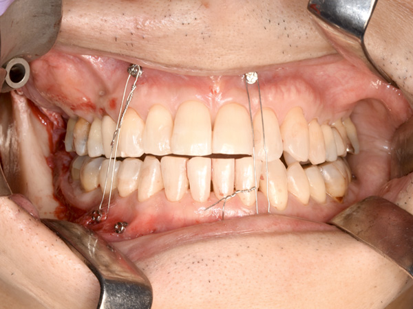
ワイヤーで上下を縛り、嚙み合わせを確認します。
確認したら、ワイヤーはその場で外します。










