笑った時に歯ぐきが丸見えの状態!
せっかくの笑顔なのに、少し悲しい気持ち。
ちょっと恥ずかしい気持ちになります。
治したいと思っている患者様は皆様、同じ気持ちです。
笑った時に歯ぐきが丸見えの状態をガミースマイルと言います。
学術的には笑った時に唇がめくり上がり、歯ぐきが4mm以上見えるとガミースマイルと診断していますが、私が長年、ガミースマイルの患者様を治療させて頂き、感じていることは、この4mmなんてあまり関係がないということです。
患者様ご本人が気になり出したら、1mmだって見えているとイヤ!と感じてしまうのです。
これは、笑い方や表情、お顔立ちに影響しているようで、学術的な基準はあまり参考にならないと思います。
ですので、自分の笑った時の笑顔と歯ぐきの関係がしっくりしないな〜と感じるなら、ぜひカウンセリングにご来院を頂きたいと思います。
診察をしないとわからないことはいっぱいあるのです。治療を無理に勧めることはありませんし、症状や状態、ご希望をお聞きします。普通の病気の時に、いつから痛むのですか?どのような腫れ方をしていましたか?何か食べましたか?のように問診をすることと同じように診察や問診をしています。
ガミースマイルを治す方法にはいろいろな方法があります。
歯を大きく見せる方法。
唇を持ち上げる筋肉を縮める方法。
歯ぐきの面積を減らす方法。患者様の症状や状態、ご希望にピッタリの治療方法を選ぶこと大切です。
ところで今回の患者様は歯ぐきの治療をした患者様です。
術式は歯冠長延長術です。
歯冠長延長術は、お爪の甘皮処理と同じ方法です。
歯のホワイトニングの前にもとても大切な前処理です。
「歯ぐきは歯の額縁」です。
絵が立派なら、額縁も立派にすると相乗効果で美しい絵を飾ることができます。
歯も、歯が白いだけではなくて、歯ぐきの形が綺麗だと、とても美しく見えます。
歯冠長延長術はガミースマイルの原因が歯ぐきの長さ、大きさ、歯の大きさが原因の場合には、笑った時の歯ぐきや口もとを綺麗に、美しく改善できます。
歯冠長延長術には歯槽骨整形も含まれています。歯冠長延長術で歯の形、歯ぐきの形を整えるときに歯槽骨が邪魔をしている場合には綺麗に整えています。
今回の患者様の治療前の状態です。
歯ぐきの長さに比較して、歯が少し小さいですね。歯ぐき自体は健康で綺麗なピンク色をしています。
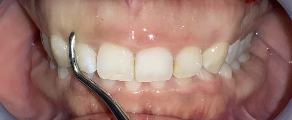
一番気になる、前歯の歯と歯ぐきの位置状態の検査します。
こんなに歯ぐきがかぶさっています。
反対側の歯も調べてみます。前歯の形はとても大切ですから、慎重に検査を進めます。
この歯も同じように、たくさんの歯ぐきが、かぶさっています。
隣の歯も同じように検査します。
隣の歯は前歯ほどではないですが、しっかりと歯ぐきが、かぶっています。
この歯は犬歯です。犬歯もたくさんの歯ぐきに覆われているようですが、治療をする場合には注意が必要です。
犬歯はあまり大きくすると、八重歯のように見えてしまい、せっかくの治療が台無しになる場合があります。また、被っている歯ぐきがたくさんあっても、歯ぐきが薄い場合があり、このような歯ぐきの場合は、治療後に歯ぐきが退縮してしまい、歯槽膿漏の歯ぐきのように見えてしまう場合があります。
難関の犬歯を超えたところで、第一小臼歯の4番面の歯を検査します。
奥歯なのに、歯ぐきがたくさん被っているようです。3番目の犬歯と違い、奥歯の形になってきている4番目の歯は、犬歯とは違う注意が必要です。
この歯は奥歯の形なので、歯ぐきを取りすぎると、知覚過敏になる場合があります。また、前歯と奥歯の間の歯ですから、前歯に比べて治りが遅い傾向にあります。歯ぐきの切除も慎重に行わなければなりません。
同じように治療をするすべての歯の検査を行い、1本1本の歯の形や特徴、歯ぐきの形や状態を調べます。
犬歯です。
歯ぐきの部分が大きいですね。しかも歯ぐきが薄いので、検査器具が歯ぐきの下から透けています。
最後に4番目の歯です。
1本1本、歯ぐきの被り方や厚みは違いますから、その点を見極める診察が大切です。
ところでこの検査は、全く痛くありません。ご安心ください。
まずは1本だけ治療をして、切除範囲や大きさ、見え方、厚さなど気になる部分を患者様に確認をして頂きます。
患者様のご希望により、大きめの切除と歯槽骨の整形を行なっています。歯も、歯ぐきも歯槽骨もとてもキレイです。
患者様のOKが出たので、すべての歯の治療を行いました。
歯ぐきの面積が少なくなって、笑った時の歯ぐきが見えなくなり、歯の形も、歯ぐきの形も綺麗に改善しました。
歯ぐきが一部黒ずんでいる部分は、数日で改善するのでご安心ください。
ところで手術をするときは、局部の麻酔をします。
この麻酔も全く痛くありません。歯冠長延長術専用の表面麻酔を併用していて、局部の麻酔をするときも痛くありません。
もちろん、治療中も、治療後も全く痛くありません。痛み止めを服用される患者様はほとんどいませんが、もしものために痛み止めもお渡ししています。
手術後もいつも通り生活ができます。
ただし、治療後の歯ぐきが焦げたような黒い部分だけが数日残ります。
治療時間は10分程度です。
費用は見える部分の左右合わせて、6本から10本くらいの範囲を患者様と相談しながら決めています。
手術費用は麻酔の費用、レントゲンの検査の費用、手術後のお薬の費用、手術後のお家ケアに必要な専用の歯ブラシの費用、診察の費用すべて込み込み11万円(税込)です。
最初の赤みのある歯ぐきは2日〜3日で落ち着きます。
手術後の痛みはありませんが、当日はお醤油とか唐辛子(あえて、食べなくても良いかも?)は沁みると思います。
手術後は専用歯ブラシで1週間ほどケアをして頂いています。ベテラン歯科衛生士が、歯ぐきのケアの方法を伝授します。このお家ケアが綺麗な歯ぐきを維持する再発しないポイントです。
歯ブラシも、歯科衛生士からのおうちケアの方法伝授も無料です。
11万円には手術治療費用、レントゲン検査費用、診察、歯ぐき検査費用、局部麻酔、表面麻酔、お薬、歯ブラシ、全て込み込みの費用です。
このように丁寧な診療を行なっている、カンファークリニックの方法なら、綺麗に治って後戻りはしません。
日付: 2025年12月2日 Dr.Kinoshita Blog, Dr.木下の治療例, ガミースマイル, カンファークリニックの治療例 and tagged ガミースマイル、インビザライン、歯ぐき見える、美容整形、粘膜切除、口唇形成、リップリフト、顎のゆがみ、福岡はかた、歯並びなおす、歯科矯正、福岡天神, ガミースマイル、歯肉整形、歯ぐき切除、笑ってはぐき見えるいや、美容整形、歯科、審美歯科、美容歯科、福岡天神、








































































































































































